相关产品推荐更多 >
万千商家帮你免费找货
0 人在求购买到急需产品
- 详细信息
- 文献和实验
- 技术资料
- 免疫原:
Carrier-protein conjugated synthetic peptide encompassing a sequence within the N-terminus region of human Progesterone Receptor. The exact sequence is proprietary.
- 亚型:
IgG
- 形态:
Liquid
- 保存条件:
Store as concentrated solution. Centrifuge briefly prior to opening vial. For short-term storage (1-2 weeks), store at 4ºC. For long-term storage, aliquot and store at -20ºC or below. Avoid multiple freeze-thaw cycles.
- 克隆性:
Polyclonal
- 标记物:
Unconjugated
- 适应物种:
Human
- 保质期:
12 months from the shipping date of the product.
- 抗原来源:
Human
- 目录编号:
GTX116051
- 级别:
Primary Antibodies
- 库存:
Available
- 供应商:
GeneTex
- 宿主:
Rabbit
- 应用范围:
ICC/IF, IHC-P
- 浓度:
0.33 mg/ml (Please refer to the vial label for the specific concentration.)
- 靶点:
Progesterone Receptor
- 抗体英文名:
Progesterone Receptor antibody [N1], N-term
- 抗体名:
Progesterone Receptor 抗体 [N1], N-term
- 规格:
100 μl/25 μl
| 规格: | 100 μl | 产品价格: | ¥4000.0 |
|---|---|---|---|
| 规格: | 25 μl | 产品价格: | ¥1700.0 |
Immunofluorescence analysis of PFA-fixed A549, using Progesterone receptor(GTX116051) antibody at 1:200 dilution.
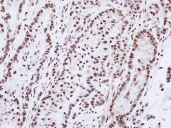
Immunohistochemical analysis of paraffin-embedded A549 xenograft, using Progesterone receptor(GTX116051) antibody at 1:100 dilution.
Antigen Retrieval: Trilogy™ (EDTA based, pH 8.0) buffer, 15min
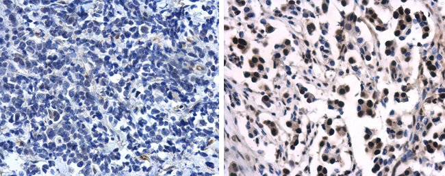
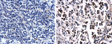
Immunohistochemical analysis of paraffin-embedded human breast cancer using Progesterone Receptor antibody (GTX116051) diluted at 1:500.
Representative data showing negative staining in PR-negative breast cancer (left) and nuclear staining in PR-positive breast cancer (right).
Antigen Retrieval: Citrate buffer, pH 6.0, 15 min
风险提示:丁香通仅作为第三方平台,为商家信息发布提供平台空间。用户咨询产品时请注意保护个人信息及财产安全,合理判断,谨慎选购商品,商家和用户对交易行为负责。对于医疗器械类产品,请先查证核实企业经营资质和医疗器械产品注册证情况。
文献和实验Yin et al., Biomedical Research 2017 (Epub)
Human progesterone receptor (PR) is a member of the nuclear hormone receptor superfamily of transcriptional activators, which share a common modular structure consisting of a C-terminal ligand-binding domain (LBD), a highly conserved
Aspects of CNS Lupus: Mouse Models of Anti-NMDA Receptor Antibody Mediated Reactivity
of interest binds the N -methyl-d -aspartate receptor (NMDAR), a receptor for glutamate that is a major excitatory neurotransmitter in the brain involved in synaptic plasticity, in memory and learning, and in emotional responses. We introduce basic
Cotransfection Assays and Steroid Receptor Biology
The glucocorticoid, mineralocorticoid, progesterone, androgen, estrogen α and estrogen β receptors (GR, MR, PR, AR, ERα, and ERβ, respectively) form the steroid receptor family, part of the nuclear receptor superfamily
技术资料暂无技术资料 索取技术资料








![Ubiquitin B antibody [3C12]](https://img1.dxycdn.com/2022/0328/161/5984460721123500453-14.jpg!wh200)


