相关产品推荐更多 >
万千商家帮你免费找货
0 人在求购买到急需产品
- 详细信息
- 技术资料
- 免疫原:
Recombinant protein encompassing a sequence within the C-terminus region of human IKK epsilon. The exact sequence is proprietary.
- 亚型:
IgG
- 形态:
Liquid
- 保存条件:
Store as concentrated solution. Centrifuge briefly prior to opening vial. For short-term storage (1-2 weeks), store at 4ºC. For long-term storage, aliquot and store at -20ºC or below. Avoid multiple freeze-thaw cycles.
- 克隆性:
Polyclonal
- 标记物:
Unconjugated
- 适应物种:
Human
- 保质期:
12 months from the shipping date of the product.
- 抗原来源:
Human
- 目录编号:
GTX111350
- 级别:
Primary Antibodies
- 库存:
Available
- 供应商:
GeneTex
- 宿主:
Rabbit
- 应用范围:
WB, ICC/IF, IHC-P
- 浓度:
1 mg/ml (Please refer to the vial label for the specific concentration.)
- 靶点:
IKK epsilon
- 抗体英文名:
IKK epsilon antibody [C2C3], C-term
- 抗体名:
IKK epsilon 抗体 [C2C3], C-term
- 规格:
100 μl/25 μl
| 规格: | 100 μl | 产品价格: | ¥4000.0 |
|---|---|---|---|
| 规格: | 25 μl | 产品价格: | ¥1700.0 |
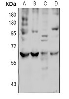
Sample (30 ug of whole cell lysate)
A: 293T
7.5% SDS PAGE
GTX111350 diluted at 1:1000
IKBKE antibody [C2C3], C-term detects IKBKE protein at cytoplasm in human endometrium by immunohistochemical analysis.
Sample: Paraffin-embedded human endometrium.
IKBKE antibody [C2C3], C-term (GTX111350) diluted at 1:500.
Antigen Retrieval: Citrate buffer, pH 6.0, 15 min
Immunofluorescence analysis of methanol-fixed HeLa, using IKBKE(GTX111350) antibody at 1:200 dilution.
IKBKE antibody [C2C3], C-term detects IKBKE protein at cytoplasm and nucleus by immunofluorescent analysis.
Sample: HeLa cells were fixed in 4% PFA for 10 min.
Green: IKBKE protein stained by IKBKE antibody [C2C3], C-term (GTX111350) diluted at 1:100.
Blue: Hoechst 33342 staining.
Scale bar = 10 μm.
风险提示:丁香通仅作为第三方平台,为商家信息发布提供平台空间。用户咨询产品时请注意保护个人信息及财产安全,合理判断,谨慎选购商品,商家和用户对交易行为负责。对于医疗器械类产品,请先查证核实企业经营资质和医疗器械产品注册证情况。
技术资料暂无技术资料 索取技术资料


![IKK epsilon antibody [C2C3], C-term](https://img1.dxycdn.com/2022/0328/124/8299543276888200453-14.jpg)


![EPO antibody [HL1793]](https://img1.dxycdn.com/2023/0605/025/0656266093551755661-14.jpg!wh200)




