相关产品推荐更多 >
万千商家帮你免费找货
0 人在求购买到急需产品
- 详细信息
- 文献和实验
- 技术资料
- 免疫原:
Recombinant protein encompassing a sequence within the center region of human MX1. The exact sequence is proprietary.
- 亚型:
IgG
- 形态:
Liquid
- 保存条件:
Store as concentrated solution. Centrifuge briefly prior to opening vial. For short-term storage (1-2 weeks), store at 4ºC. For long-term storage, aliquot and store at -20ºC or below. Avoid multiple freeze-thaw cycles.
- 克隆性:
Polyclonal
- 标记物:
Unconjugated
- 适应物种:
Human
- 保质期:
12 months from the shipping date of the product.
- 抗原来源:
Human
- 目录编号:
GTX111153
- 级别:
Primary Antibodies
- 库存:
Available
- 供应商:
GeneTex
- 宿主:
Rabbit
- 应用范围:
WB, IHC-P
- 浓度:
0.06 mg/ml (Please refer to the vial label for the specific concentration.)
- 靶点:
MX1
- 抗体英文名:
MX1 antibody
- 抗体名:
MX1 抗体
- 规格:
100 μl/25 μl
| 规格: | 100 μl | 产品价格: | ¥4000.0 |
|---|---|---|---|
| 规格: | 25 μl | 产品价格: | ¥1700.0 |
Whole cell extract (30 μg) was separated by 7.5% SDS-PAGE, and the membrane was blotted with MX1 antibody (GTX111153) diluted at 1:1000. The HRP-conjugated anti-rabbit IgG antibody (GTX213110-01) was used to detect the primary antibody.
MX1 antibody detects MX1 protein by western blot analysis.
A. 30 μg 293T whole cell lysate/extract
B. 30 μg whole cell lysate/extract of human MX1-transfected 293T cells
7.5% SDS-PAGE
MX1 antibody (GTX111153) dilution: 1:5000
The HRP-conjugated anti-rabbit IgG antibody (GTX213110-01) was used to detect the primary antibody.
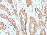
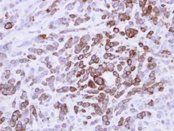
MX1 Antobody detects MX1 protein at cytosol on MDA-MB-468 xenograft by immunohistochemical analysis.
Sample: Paraffin-embedded MDA-MB-468 xenograft.
MX1 Antobody (GTX111153) dilution: 1:500.
Antigen Retrieval: Trilogy™ (EDTA based, pH 8.0) buffer, 15min
风险提示:丁香通仅作为第三方平台,为商家信息发布提供平台空间。用户咨询产品时请注意保护个人信息及财产安全,合理判断,谨慎选购商品,商家和用户对交易行为负责。对于医疗器械类产品,请先查证核实企业经营资质和医疗器械产品注册证情况。
文献和实验Pryke KM et al., MBio 2017 (PMID:28465426)
Botto S et al., mBio 2019 (PMID:30755509)
技术资料暂无技术资料 索取技术资料





![Fas Ligand antibody [10F2] (Low endotoxin, azide free)](https://img1.dxycdn.com/2022/0328/608/6092476438224400453-14.jpg!wh200)
![CDK5 antibody [2H6]](https://img1.dxycdn.com/2022/0328/133/4761631683278500453-14.jpg!wh200)
![Villin antibody [VIL1/2310R]](https://img1.dxycdn.com/2022/0328/811/8288572310789700453-14.jpg!wh200)
![L-FABP antibody [MSVA-501M] HistoMAX](https://custom.dxycdn.com/trademd/upload/pic/2013/11/12/A1383891150.jpg!small.t.1)
![Lamin A + C antibody [GT9712]](https://img1.dxycdn.com/2022/0329/124/3570269911965020453-14.jpg!wh200)
