相关产品推荐更多 >
万千商家帮你免费找货
0 人在求购买到急需产品
- 详细信息
- 文献和实验
- 技术资料
- 免疫原:
GFR alpha 1 antibody was raised against a 14 amino acid peptide near the center of human GFR alpha 1.The immunogen is located within amino acids 360 - 410 of GFR alpha 1.
- 亚型:
IgG
- 形态:
Liquid
- 保存条件:
Store as concentrated solution. Centrifuge briefly prior to opening vial. For short-term storage (1-2 weeks), store at 4ºC. For long-term storage, aliquot and store at -20ºC or below. Avoid multiple freeze-thaw cycles.
- 克隆性:
Polyclonal
- 标记物:
Unconjugated
- 适应物种:
Human, Mouse, Rat
- 保质期:
12 months from the shipping date of the product.
- 抗原来源:
Human
- 目录编号:
GTX11115
- 级别:
Primary Antibodies
- 库存:
Available
- 供应商:
GeneTex
- 宿主:
Rabbit
- 应用范围:
WB, IHC-P, ELISA
- 浓度:
1 mg/ml (Please refer to the vial label for the specific concentration.)
- 靶点:
GFR alpha 1 antibody is predicted to not cross-react with other members of the GFR alpha family of proteins.
- 抗体英文名:
GDNF Receptor alpha 1 antibody
- 抗体名:
GDNF Receptor alpha 1 抗体
- 规格:
50 μg
WB analysis of crude membrane fractions of human brain (B), liver (L), kidney (K), and spleen (S) using GTX11115 GDNF Receptor alpha 1 antibody.
Working concentration : 1 μg/ml
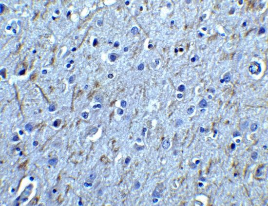
IHC-P analysis of human brain tissue using GTX11115 GDNF Receptor alpha 1 antibody.
Working concentration : 2.5 μg/ml
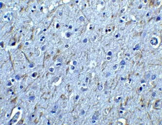
IHC-P analysis of human brain tissue using GTX11115 GDNF Receptor alpha 1 antibody.
Working concentration : 1 μg/ml
IHC-P analysis of human brain tissue using GTX11115 GDNF Receptor alpha 1 antibody.
Red : Primary antibody
Blue : DAPI
Dilution : 20 μg/ml
风险提示:丁香通仅作为第三方平台,为商家信息发布提供平台空间。用户咨询产品时请注意保护个人信息及财产安全,合理判断,谨慎选购商品,商家和用户对交易行为负责。对于医疗器械类产品,请先查证核实企业经营资质和医疗器械产品注册证情况。
文献和实验stem cells (SSCs) in rodents, little is known about human SSCs. We have recently isolated human G protein-coupled receptor 125 (GPR125)-positive spermatogonia and GDNF family receptor alpha 1 (GFRA1)-positive spermatogonia using a 2-step enzymatic
PriCells: Introduction of Isolation and Culture of Human Alveolar Epithelial Cells
markers, specific for type I cells, have been described in the recent past. The first one was T1α, a 36-kDa glycoprotein found in rodent lungs. Antibodies have been developed against lung proteins that specifically label type I cells in human lung
of adhesion receptor, platelet glycoprotein Ib alpha14-3-3 brain protein homologs in plantsThe 14-3-3 proteins, BMH1 and BMH2, are essential in Saccharomyces cerevisiaeA single Arabidopsis protein has characteristics of diverse 14-3-3 homologues Expression
技术资料暂无技术资料 索取技术资料








![pan Cytokeratin antibody [AE1/AE3]](https://img1.dxycdn.com/2022/0328/403/1248576973834500453-14.jpg!wh200)


