相关产品推荐更多 >
万千商家帮你免费找货
0 人在求购买到急需产品
- 详细信息
- 文献和实验
- 技术资料
- 免疫原:
Full length human FIS1 Recombinant protein.
- 亚型:
IgG
- 形态:
Liquid
- 保存条件:
Store as concentrated solution. Centrifuge briefly prior to opening vial. For short-term storage (1-2 weeks), store at 4ºC. For long-term storage, aliquot and store at -20ºC or below. Avoid multiple freeze-thaw cycles.
- 克隆性:
Polyclonal
- 标记物:
Unconjugated
- 适应物种:
Human, Mouse, Rat
- 保质期:
12 months from the shipping date of the product.
- 抗原来源:
Human
- 目录编号:
GTX111010
- 级别:
Primary Antibodies
- 库存:
Available
- 供应商:
GeneTex
- 宿主:
Rabbit
- 应用范围:
WB, ICC/IF, IHC-P
- 浓度:
1.4 mg/ml (Please refer to the vial label for the specific concentration.)
- 靶点:
FIS1
- 抗体英文名:
FIS1 antibody
- 抗体名:
FIS1 抗体
- 规格:
100 μl/25 μl
| 规格: | 100 μl | 产品价格: | ¥4000.0 |
|---|---|---|---|
| 规格: | 25 μl | 产品价格: | ¥1700.0 |
Non-transfected (–) and transfected (+) HeLa whole cell extracts (30 μg) were separated by 15% SDS-PAGE, and the membrane was blotted with FIS1 antibody (GTX111010) diluted at 1:5000. The HRP-conjugated anti-rabbit IgG antibody (GTX213110-01) was used to detect the primary antibody.
Sample (50 μg of whole cell lysate)
A: mouse brain
15% SDS PAGE
GTX111010 diluted at 1:5000
The HRP-conjugated anti-rabbit IgG antibody (GTX213110-01) was used to detect the primary antibody.
FIS1 antibody detects FIS1 protein at mitochondria by immunofluorescent analysis.
Sample: HeLa cells were fixed in 2% PFA/culture medium at 37oC for 30 min.
Green: FIS1 protein stained by FIS1 antibody (GTX111010) diluted at 1:2000.
Red: MitoTrackerR Red CMXRos, a mitochondria tracker.
Blue: Hoechst 33342 staining.
Scale bar = 10 μm.
Various whole cell extracts (30 μg) were separated by 15% SDS-PAGE, and the membrane was blotted with FIS1 antibody (GTX111010) diluted at 1:10000. The HRP-conjugated anti-rabbit IgG antibody (GTX213110-01) was used to detect the primary antibody.
Sample (30 μg of whole cell lysate)
A: Raji
15% SDS PAGE
GTX111010 diluted at 1:10000
The HRP-conjugated anti-rabbit IgG antibody (GTX213110-01) was used to detect the primary antibody.
Various whole cell extracts (30 μg) were separated by 15% SDS-PAGE, and the membrane was blotted with FIS1 antibody (GTX111010) diluted at 1:10000.
FIS1 antibody detects FIS1 protein at cytoplasm by immunohistochemical analysis.
Sample: Paraffin-embedded mouse heart.
FIS1 stained by FIS1 antibody (GTX111010) diluted at 1:500.
Antigen Retrieval: Citrate buffer, pH 6.0, 15 min
TTC11 antibody detects TTC11 protein at mitochondria on mouse prostate by immunohistochemical analysis.
Sample: Paraffin-embedded mouse prostate.
TTC11 antibody (GTX111010) dilution: 1:500.
Antigen Retrieval: Trilogy™ (EDTA based, pH 8.0) buffer, 15min
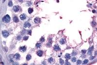
Immunohistochemical analysis of paraffin-embedded NCIN87 xenograft, using FIS1(GTX111010) antibody at 1:100 dilution.
Antigen Retrieval: Trilogy™ (EDTA based, pH 8.0) buffer, 15min
FIS1 antibody detects FIS1 protein by western blot analysis. Mouse tissue extracts (50 μg) was separated by 15% SDS-PAGE, and the membrane was blotted with FIS1 antibody (GTX111010) diluted by 1:5000. The HRP-conjugated anti-rabbit IgG antibody (GTX213110-01) was used to detect the primary antibody.
Various whole cell extracts (30 μg) were separated by 15% SDS-PAGE, and the membrane was blotted with FIS1 antibody (GTX111010) diluted at 1:500. The HRP-conjugated anti-rabbit IgG antibody (GTX213110-01) was used to detect the primary antibody.
风险提示:丁香通仅作为第三方平台,为商家信息发布提供平台空间。用户咨询产品时请注意保护个人信息及财产安全,合理判断,谨慎选购商品,商家和用户对交易行为负责。对于医疗器械类产品,请先查证核实企业经营资质和医疗器械产品注册证情况。
文献和实验Moore TM et al., Mol Metab 2018 (PMID:30591411)
Bi J et al., Redox Biol 2019 (PMID:30388684)
Ding M et al., J Pineal Res 2018 (PMID:29575122)
Zhang D et al., Med Sci Monit 2018 (PMID:30240386)
Kemter E et al., Sci Rep 2017 (PMID:28220896)
Mizuno M et al., Physiol Rep 2018 (PMID:29932506)
Guo Y et al., Cardiovasc Res 2018 (PMID:29490017)
Zhou Z et al., J Biol Chem 2018 (PMID:29378845)
Wu LH et al., J Cell Physiol 2017 (PMID:29219180)
Ding M et al., J Pineal Res 2017 (PMID:29024001)
Zhang Z et al., FASEB J 2016 (PMID:26432782)
Cheng CT et al., Cancer Res 2016 (PMID:27364555)
Yu CY et al., PLoS Pathog 2015 (PMID:26717518)
Chao LC et al., J Lipid Res 2012 (PMID:23028113)
Wan-Ping Su et al., Biomed Pharmacother 2023 (PMID:37196543)
Arjona SP et al., CNS Neurosci Ther 2023 (PMID:36419337)
Chen Z et al., Cell Prolif 2022 (PMID:35842903)
Tsu-Kung Lin et al., Front Mol Neurosci 2021 (PMID:34305527)
Zijing Zhu et al., Oxid Med Cell Longev 2021 (PMID:34426758)
Chia-Jung Li et al., Aging Cell 2022 (PMID:34995407)
Ma W et al., Int J Nanomedicine 2020 (PMID:33149575)
Liu W et al., J Cell Mol Med 2021 (PMID:34786826)
Busceti CL et al., Int J Mol Sci 2020 (PMID:32560241)
Lam HYP et al., Parasitol Int 2021 (PMID:33147498)
Bassoy EY et al., EMBO J 2017 (PMID:28283580)
Nakazawa H et al., FEBS Open Bio 2019 (PMID:30761259)
Ma W et al., Int J Nanomedicine 2020 (PMID:32099356)
Ding M et al., Acta Physiol (Oxf) 2019 (PMID:31840416)
Bo T et al., Biochem Biophys Res Commun 2020 (PMID:31757415)
Xian H et al., Nat Commun 2019 (PMID:31053718)
Wang HH et al., Angiogenesis 2019 (PMID:31482366)
Lee WC et al., Cells 2019 (PMID:31540085)
Hu L et al., Theranostics 2019 (PMID:31281507)
技术资料暂无技术资料 索取技术资料







![RPE65 antibody [HL1519]](https://img1.dxycdn.com/2022/0815/640/8248879153110295653-14.jpg!wh200)

![Maltose binding protein antibody [3G1A3]](https://img1.dxycdn.com/2022/0328/218/0469131069047500453-14.jpg!wh200)
