相关产品推荐更多 >
万千商家帮你免费找货
0 人在求购买到急需产品
- 详细信息
- 文献和实验
- 技术资料
- 免疫原:
Purified recombinant fragment of human KDM3A expressed in E. Coli.
- 亚型:
IgG1
- 形态:
Liquid
- 保存条件:
Store as concentrated solution. Centrifuge briefly prior to opening vial. For short-term storage (1-2 weeks), store at 4ºC. For long-term storage, aliquot and store at -20ºC or below. Avoid multiple freeze-thaw cycles.
- 克隆性:
Monoclonal
- 标记物:
Unconjugated
- 适应物种:
Human
- 保质期:
12 months from the shipping date of the product.
- 抗原来源:
Human
- 目录编号:
GTX80407
- 级别:
Primary Antibodies
- 库存:
Available
- 供应商:
GeneTex
- 宿主:
Mouse
- 应用范围:
WB, IHC-P, ELISA
- 靶点:
KDM3A
- 抗体英文名:
KDM3A antibody [1E12]
- 抗体名:
KDM3A 抗体 [1E12]
- 规格:
100 μl
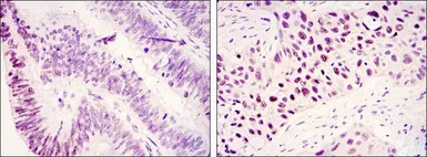
IHC-P analysis of colonic cancer tissue (left) and lung cancer tissue (right) using GTX80407 KDM3A antibody [1E12].
WB analysis of HeLa (1) and HepG2 (2) cell lysate using GTX80407 KDM3A antibody [1E12].
风险提示:丁香通仅作为第三方平台,为商家信息发布提供平台空间。用户咨询产品时请注意保护个人信息及财产安全,合理判断,谨慎选购商品,商家和用户对交易行为负责。对于医疗器械类产品,请先查证核实企业经营资质和医疗器械产品注册证情况。
文献和实验b-Gal Staining of Murine Embryos
to make 0.2% Glutaraldehyde fixative, eg: add 0.2ml 25% Glutaraldehyde (EM grade) into 24.8ml fixing buffer. (fresh make every time) For E10 - E12 embryo - fix the embryo on ice for 10 minutes (with at least 20ml fixative); - rinse with PBS
, with or without accentuation beneath the cell membrane or in paranuclear region.- This antibody stains stratified squamous epithelium and squamous cell carcinomas particularly well.- Major applications:a) 34 E12 stains the basal cells of the prostate, i.e. normal/reactive
In Situ Hybridization Protocols
. Column is now ready for use. D: Pre-absorbing Anti-Digoxygenin Antibody Fix a series of rat/chick E12.5 - E13.5 embryos in 4% paraformaldehyde for 2 hours at room temperature. Use about 8 rat embryos for every ml of 1:200 antibody. Wash
技术资料暂无技术资料 索取技术资料








![Cytokeratin 14 antibody [KRT14/532]](https://img1.dxycdn.com/2022/0328/452/6012848344620700453-14.jpg!wh200)


