相关产品推荐更多 >
万千商家帮你免费找货
0 人在求购买到急需产品
- 详细信息
- 文献和实验
- 技术资料
- 免疫原:
Recombinant protein encompassing a sequence within the center region of human Fumarate hydratase. The exact sequence is proprietary.
- 亚型:
IgG
- 形态:
Liquid
- 保存条件:
Store as concentrated solution. Centrifuge briefly prior to opening vial. For short-term storage (1-2 weeks), store at 4ºC. For long-term storage, aliquot and store at -20ºC or below. Avoid multiple freeze-thaw cycles.
- 克隆性:
Polyclonal
- 标记物:
Unconjugated
- 适应物种:
Human, Mouse, Rat
- 保质期:
12 months from the shipping date of the product.
- 抗原来源:
Human
- 目录编号:
GTX110128
- 级别:
Primary Antibodies
- 库存:
Available
- 供应商:
GeneTex
- 宿主:
Rabbit
- 应用范围:
WB, ICC/IF, IHC-P
- 浓度:
1 mg/ml (Please refer to the vial label for the specific concentration.)
- 靶点:
Fumarate hydratase
- 抗体英文名:
Fumarate hydratase antibody [N2C2], Internal
- 抗体名:
Fumarate hydratase 抗体 [N2C2], Internal
- 规格:
100 μl/25 μl
| 规格: | 100 μl | 产品价格: | ¥4000.0 |
|---|---|---|---|
| 规格: | 25 μl | 产品价格: | ¥1700.0 |
Non-transfected (–) and transfected (+) 293T whole cell extracts (30 μg) were separated by 10% SDS-PAGE, and the membrane was blotted with Fumarate hydratase antibody [N2C2], Internal (GTX110128) diluted at 1:5000. The HRP-conjugated anti-rabbit IgG antibody (GTX213110-01) was used to detect the primary antibody.
Fumarate hydratase antibody [N2C2], Internal detects Fumarate hydratase protein by western blot analysis.
A.50 μg rat liver lysate/extract
10% SDS-PAGE
Fumarate hydratase antibody [N2C2], Internal (GTX110128) dilution: 1:5000
The HRP-conjugated anti-rabbit IgG antibody (GTX213110-01) was used to detect the primary antibody.
Sample (30 μg of whole cell lysate)
A: 293T
B: A431 (GTX27909)
10% SDS PAGE
GTX110128 diluted at 1:5000
The HRP-conjugated anti-rabbit IgG antibody (GTX213110-01) was used to detect the primary antibody.
Fumarate hydratase antibody [N2C2], Internal detects Fumarate hydratase protein at mitochondria by immunofluorescent analysis.
Sample: HeLa cells were fixed in ice-cold MeOH for 5 min.
Green: Fumarate hydratase protein stained by Fumarate hydratase antibody [N2C2], Internal (GTX110128) diluted at 1:500.
Blue: Hoechst 33342 staining.
Scale bar = 10 μm.
Fumarate hydratase antibody [N2C2], Internal detects FH protein by western blot analysis.
A. 50 μg mouse liver lysate/extract
10% SDS-PAGE
Fumarate hydratase antibody [N2C2], Internal (GTX110128) dilution: 1:1000
The HRP-conjugated anti-rabbit IgG antibody (GTX213110-01) was used to detect the primary antibody.
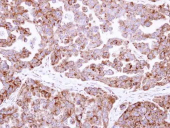
Immunohistochemical analysis of paraffin-embedded OVCAR3 xenograft, using fumarate hydratase (GTX110128) antibody at 1:500 dilution.
Antigen Retrieval: Trilogy™ (EDTA based, pH 8.0) buffer, 15min
风险提示:丁香通仅作为第三方平台,为商家信息发布提供平台空间。用户咨询产品时请注意保护个人信息及财产安全,合理判断,谨慎选购商品,商家和用户对交易行为负责。对于医疗器械类产品,请先查证核实企业经营资质和医疗器械产品注册证情况。
文献和实验Vadhan A et al., Oncol Lett 2023 (PMID:36589668)
Lee SY et al., Oncol Rep 2021 (PMID:33649794)
Tseng CW et al., Cancer Res 2018 (PMID:29599405)
Shanmugasundaram K et al., J Biol Chem 2014 (PMID:25028521)
技术资料暂无技术资料 索取技术资料





![Carboxypeptidase M antibody [N1C2]](https://img1.dxycdn.com/2022/0328/300/4713421188026200453-14.jpg!wh200)





