相关产品推荐更多 >
万千商家帮你免费找货
0 人在求购买到急需产品
- 详细信息
- 文献和实验
- 技术资料
- 免疫原:
Placental protein 14 (glycodelin A) purified from second trimester amniotic fluid
- 亚型:
IgG1
- 形态:
Liquid
- 保存条件:
Store as concentrated solution. Centrifuge briefly prior to opening vial. Store at 4ºC.
- 克隆性:
Monoclonal
- 标记物:
Unconjugated
- 适应物种:
Human
- 保质期:
12 months from the shipping date of the product.
- 抗原来源:
Human
- 目录编号:
GTX60957
- 级别:
Primary Antibodies
- 库存:
Available
- 供应商:
GeneTex
- 宿主:
Mouse
- 应用范围:
IHC-P, ELISA
- 浓度:
Batch dependent (Please refer to the vial label for the specific concentration.)
- 靶点:
This antibody is specific for human PP14
- 抗体英文名:
Glycodelin antibody [16]
- 抗体名:
Glycodelin 抗体 [16]
- 规格:
100 μl
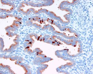
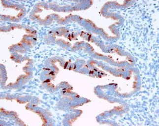
Staining is restricted to the glandular cells in formalin-fixed paraffin-embedded endometrial tissue from the late secretory phase, stained with GTX60957
风险提示:丁香通仅作为第三方平台,为商家信息发布提供平台空间。用户咨询产品时请注意保护个人信息及财产安全,合理判断,谨慎选购商品,商家和用户对交易行为负责。对于医疗器械类产品,请先查证核实企业经营资质和医疗器械产品注册证情况。
文献和实验上海西唐生物科技有限公司 021-55229872, 65333639 www.westang.com 人 ADMA16(ADMA16)ELISA 试剂盒 ( 用于血清、血浆、细胞培养上清液和尿液生物体液内 ) 原理 本实验采用双抗体夹心 ABC-ELISA 法。用抗人 ADMA16 单抗包被于酶标板上,标准品和样品中的 ADMA16 与单抗结合,加入生物素化的抗人 ADMA16 ,形成免疫复合物连接
8.0) in clean 16x125mm polypropylene test tube. If needed, adjust pH to 8.0 using 0.5M carbonate buffer. 2. Prepare fresh, 1mg/mL of either NHS-FITC in DMSO or 1mg/mL NHS-LC-Biotin in DH2O. If FITC coupling, add 75uL of FITC/DMSO solution to Antibody
the antibody, load the affigel concentrate onto the column and hold at room temperature for 10 minutes.(15) Wash with 50 ml 10 mM Tris 7.5 and then wash with 50 ml 10 mM Tris 7.5/500 mM NaCl. Elute with 5 ml 100 mM Glycine pH 2.5 into 1 ml 1M Tris 8.0.(16
技术资料暂无技术资料 索取技术资料







![IFITM1 antibody [021]](https://img1.dxycdn.com/2022/0328/107/5659312230038700453-14.png!wh200)
![Clathrin Heavy chain antibody [BF-06]](https://img1.dxycdn.com/2022/0328/404/7244778847906500453-14.jpg!wh200)
![Integrin alpha 4 antibody [TA-2]](https://img1.dxycdn.com/2022/0328/479/7182016400607300453-14.jpg!wh200)

