相关产品推荐更多 >
万千商家帮你免费找货
0 人在求购买到急需产品
- 详细信息
- 技术资料
- 免疫原:
Full length human recombinant protein of human IVD (NP_002612) produced in HEK293T cell.
- 亚型:
IgG2b
- 形态:
Liquid
- 保存条件:
Store as concentrated solution. Centrifuge briefly prior to opening vial. For short-term storage (1-2 weeks), store at 4ºC. For long-term storage, aliquot and store at -20ºC or below. Avoid multiple freeze-thaw cycles.
- 克隆性:
Monoclonal
- 标记物:
Unconjugated
- 适应物种:
Human, Rat, Dog, Monkey
- 保质期:
12 months from the shipping date of the product.
- 抗原来源:
Human
- 目录编号:
GTX84285
- 级别:
Primary Antibodies
- 库存:
Available
- 供应商:
GeneTex
- 宿主:
Mouse
- 应用范围:
WB, ICC/IF, IHC-P
- 浓度:
1 mg/ml (Please refer to the vial label for the specific concentration.)
- 靶点:
IVD
- 抗体英文名:
IVD antibody [1B10]
- 抗体名:
IVD 抗体 [1B10]
- 规格:
100 μl
WB analysis of HEK293T cells transfected with IVD plasmid (Right) or empty vector (Left) for 48 hrs using GTX84285 IVD antibody [1B10].
Loading : 5 ug per lane
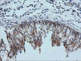
IHC-P analysis of human bladder tissue using GTX84285 IVD antibody [1B10].
Dilution : 1:150
WB analysis of various cell lines using GTX84285 IVD antibody [1B10].
Loading : 35 ug per lane
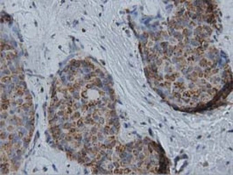
IHC-P analysis of human breast adenocarcinoma tissue using GTX84285 IVD antibody [1B10].
Dilution : 1:150
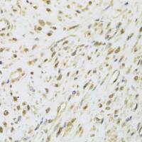
IHC-P analysis of human thyroid carcinoma tissue using GTX84285 IVD antibody [1B10].
Dilution : 1:150
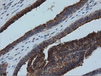
IHC-P analysis of human bladder carcinoma tissue using GTX84285 IVD antibody [1B10].
Dilution : 1:150
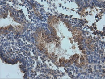
IHC-P analysis of human prostate carcinoma tissue using GTX84285 IVD antibody [1B10].
Dilution : 1:150
IHC-P analysis of human lymph node tissue using GTX84285 IVD antibody [1B10].
Antigen retrieval : Heat-induced epitope retrieval by 10mM citrate buffer, pH6.0, 100ºC for 10min.
Dilution : 1:50
IHC-P analysis of human endometrium adenocarcinoma tissue using GTX84285 IVD antibody [1B10].
Dilution : 1:150
IHC-P analysis of human kidney tissue using GTX84285 IVD antibody [1B10].
Dilution : 1:150
IHC-P analysis of human liver tissue using GTX84285 IVD antibody [1B10].
Dilution : 1:150
ICC/IF analysis of COS7 cells transiently transfected with IVD plasmid using GTX84285 IVD antibody [1B10].
风险提示:丁香通仅作为第三方平台,为商家信息发布提供平台空间。用户咨询产品时请注意保护个人信息及财产安全,合理判断,谨慎选购商品,商家和用户对交易行为负责。对于医疗器械类产品,请先查证核实企业经营资质和医疗器械产品注册证情况。
技术资料暂无技术资料 索取技术资料


![IVD antibody [1B10]](https://img1.dxycdn.com/2022/0328/943/7011003119058500453-14.jpg)



![PTP1B antibody [226]](https://img1.dxycdn.com/2022/0328/956/6412529411208700453-14.png!wh200)

![HSF1 antibody [10H8]](https://custom.dxycdn.com/trademd/upload/pic/2013/11/12/A1383891150.jpg!small.t.1)

