相关产品推荐更多 >
万千商家帮你免费找货
0 人在求购买到急需产品
- 详细信息
- 文献和实验
- 技术资料
- 免疫原:
Recombinant protein encompassing a sequence within the center region of human Fibrinogen gamma. The exact sequence is proprietary.
- 亚型:
IgG
- 形态:
Liquid
- 保存条件:
Store as concentrated solution. Centrifuge briefly prior to opening vial. For short-term storage (1-2 weeks), store at 4ºC. For long-term storage, aliquot and store at -20ºC or below. Avoid multiple freeze-thaw cycles.
- 克隆性:
Polyclonal
- 标记物:
Unconjugated
- 适应物种:
Human, Mouse, Rat, Bovine
- 保质期:
12 months from the shipping date of the product.
- 抗原来源:
Human
- 目录编号:
GTX108640
- 级别:
Primary Antibodies
- 库存:
Available
- 供应商:
GeneTex
- 宿主:
Rabbit
- 应用范围:
WB, ICC/IF, IHC-P, IP
- 浓度:
1.77 mg/ml (Please refer to the vial label for the specific concentration.)
- 靶点:
Fibrinogen gamma
- 抗体英文名:
Fibrinogen gamma antibody
- 抗体名:
Fibrinogen gamma 抗体
- 规格:
100 μl/25 μl
| 规格: | 100 μl | 产品价格: | ¥4000.0 |
|---|---|---|---|
| 规格: | 25 μl | 产品价格: | ¥1700.0 |
Immunoprecipitation of Fibrinogen gamma protein from HepG2 whole cell extracts using 5 μg of Fibrinogen gamma antibody (GTX108640).
Western blot analysis was performed using Fibrinogen gamma antibody (GTX108640).
EasyBlot anti-Rabbit IgG (GTX221666-01) was used as a secondary reagent.
Fibrinogen gamma antibody detects Fibrinogen gamma protein at cytoplasm by immunofluorescent analysis.
Sample: HeLa cells were fixed in 4% PFA at RT for 15 min.
Green: Fibrinogen gamma protein stained by Fibrinogen gamma antibody (GTX108640) diluted at 1:500.
Red: alpha Tubulin, a cytoskeleton marker, stained by alpha Tubulin antibody [B-5-1-2] (GTX11304) diluted at 1:10000.
Blue: Hoechst 33342 staining.
Rat tissue extract (50 μg) was separated by 10% SDS-PAGE, and the membrane was blotted with Fibrinogen gamma antibody (GTX108640) diluted at 1:500. The HRP-conjugated anti-rabbit IgG antibody (GTX213110-01) was used to detect the primary antibody.
Mouse plasma and rat plasma (50 μg) were separated by 10% SDS-PAGE, and the membrane was blotted with Fibrinogen gamma antibody (GTX108640) diluted at 1:20000. The HRP-conjugated anti-rabbit IgG antibody (GTX213110-01) was used to detect the primary antibody.
Human plasma and HepG2 conditioned medium (30 μg) were separated by 10% SDS-PAGE, and the membrane was blotted with Fibrinogen gamma antibody (GTX108640) diluted at 1:10000. The HRP-conjugated anti-rabbit IgG antibody (GTX213110-01) was used to detect the primary antibody.
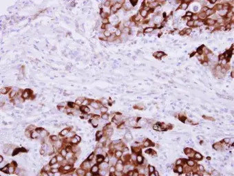
Fibrinogen gamma antibody detects FGG protein at cytosol on human breast cancer by immunohistochemical analysis.
Sample: Paraffin-embedded breast cancer.
Fibrinogen gamma antibody (GTX108640) dilution: 1:250.
Antigen Retrieval: Citrate buffer, pH 6.0, 15 min
Fibrinogen gamma antibody detects Fibrinogen gamma protein at cytoplasm by immunofluorescent analysis.
Sample: HepG2 cells were fixed in 4% PFA at RT for 15 min.
Green: Fibrinogen gamma stained by Fibrinogen gamma antibody (GTX108640) diluted at 1:500.
Blue: Fluoroshield with DAPI (GTX30920).
Scale bar= 10μm.
风险提示:丁香通仅作为第三方平台,为商家信息发布提供平台空间。用户咨询产品时请注意保护个人信息及财产安全,合理判断,谨慎选购商品,商家和用户对交易行为负责。对于医疗器械类产品,请先查证核实企业经营资质和医疗器械产品注册证情况。
文献和实验Seto S et al., Front Microbiol 2019 (PMID:32010116)
Rottmar M et al., Dent Mater 2019 (PMID:30424918)
Chuang YC et al., J Immunol 2011 (PMID:22079981)
Lai H et al., Cancers (Basel) 2022 (PMID:35954383)
Revollo L et al., Blood 2022 (PMID:34329392)
Matsuno Y et al., Biochem Biophys Res Commun 2022 (PMID:35066376)
Revollo L. et al., bioRxiv 2021 (Epub)
小鼠纤维蛋白原(Fibrinogen)ELISA试剂盒 说明书
上海西唐生物科技有限公司 021-55229872, 65333639 www.westang.com 小鼠纤维蛋白原 ( Fibrinogen )ELISA 试剂盒 ( 用于血清、血浆、细胞培养上清液和生物体液内 ) 原理 本实验采用双抗体夹心 ABC-ELISA 法。用抗小鼠 Fibrinogen 单抗包被于酶标板上,标准品和样品中的 Fibrinogen与单抗
人纤维蛋白原(Fibrinogen)ELISA试剂盒 说明书
人纤维蛋白原 ( Fibrinogen )ELISA 试剂盒 ( 用于血清、血浆、细胞培养上清液和生物体液内 ) 原理 本实验采用双抗体夹心 ABC-ELISA 法。用抗人 Fibrinogen 单抗包被于酶标板上,标准品和样品中的 Fibrinogen与单抗结合,加入生物素化的抗人 Fibrinogen ,形成免疫复合物连接在板上,辣根过氧化物酶标记的 Streptavidin 与生物素结合
secondary antibody review -- data from 99 publications
cytometry used as a control to detect cell responses targeted antigen 7 Alexa Fluor 488 7 Cy3 8 goat IgG Alexa Fluor 488 1:2000 detect antibody binding in human embryonic kidney 293T cells Invitrogen 9 donkey
技术资料暂无技术资料 索取技术资料











