相关产品推荐更多 >
万千商家帮你免费找货
0 人在求购买到急需产品
- 详细信息
- 询价记录
- 文献和实验
- 技术资料
- 免疫原:
Recombinant protein encompassing a sequence within the N-terminus region of human ZO-1. The exact sequence is proprietary.
- 亚型:
IgG
- 形态:
Liquid
- 保存条件:
Store as concentrated solution. Centrifuge briefly prior to opening vial. For short-term storage (1-2 weeks), store at 4ºC. For long-term storage, aliquot and store at -20ºC or below. Avoid multiple freeze-thaw cycles.
- 克隆性:
Polyclonal
- 标记物:
Unconjugated
- 适应物种:
Polyodon spathula, Human, Mouse
- 保质期:
12 months from the shipping date of the product.
- 抗原来源:
Human
- 目录编号:
GTX108613
- 级别:
Primary Antibodies
- 库存:
Available
- 供应商:
GeneTex
- 宿主:
Rabbit
- 应用范围:
WB, ICC/IF, IHC-Fr, IP
- 浓度:
0.22 mg/ml (Please refer to the vial label for the specific concentration.)
- 靶点:
ZO-1
- 抗体英文名:
ZO-1 antibody [N1N2], N-term
- 抗体名:
ZO-1 抗体 [N1N2], N-term
- 规格:
100 μl/25 μl
| 规格: | 100 μl | 产品价格: | ¥4000.0 |
|---|---|---|---|
| 规格: | 25 μl | 产品价格: | ¥1700.0 |
Non-transfected (–) and transfected (+) HeLa whole cell extracts (30 μg) were separated by 5% SDS-PAGE, and the membrane was blotted with ZO-1 antibody [N1N2], N-term (GTX108613) diluted at 1:1000. The HRP-conjugated anti-rabbit IgG antibody (GTX213110-01) was used to detect the primary antibody.
Whole cell extract (30 μg) was separated by 5% SDS-PAGE, and the membrane was blotted with ZO-1 antibody [N1N2], N-term (GTX108613) diluted at 1:500. The HRP-conjugated anti-rabbit IgG antibody (GTX213110-01) was used to detect the primary antibody.
Mouse tissue extract (50 μg) was separated by 5% SDS-PAGE, and the membrane was blotted with ZO-1 antibody [N1N2], N-term (GTX108613) diluted at 1:500. The HRP-conjugated anti-rabbit IgG antibody (GTX213110-01) was used to detect the primary antibody.
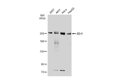
Various whole cell extracts (30 μg) were separated by 5% SDS-PAGE, and the membrane was blotted with ZO-1 antibody [N1N2], N-term (GTX108613) diluted at 1:1000. The HRP-conjugated anti-rabbit IgG antibody (GTX213110-01) was used to detect the primary antibody.
Various whole cell extracts (30 μg) were separated by 5% SDS-PAGE, and the membrane was blotted with ZO-1 antibody [N1N2], N-term (GTX108613) diluted at 1:500. The HRP-conjugated anti-rabbit IgG antibody (GTX213110-01) was used to detect the primary antibody.
ZO-1 antibody [N1N2], N-term detects ZO-1 protein at cell membrane by immunofluorescent analysis.
Sample: A431 cells were fixed in ice-cold MeOH for 5 min.
Green: ZO-1 stained by ZO-1 antibody [N1N2], N-term (GTX108613) diluted at 1:500.
ZO-1 antibody [N1N2], N-term detects ZO-1 protein at cell membrane by immunofluorescent analysis.
Sample: NT2D1 cells were fixed in ice-cold MeOH for 5 min.
Green: ZO-1 stained by ZO-1 antibody [N1N2], N-term (GTX108613) diluted at 1:200.
Blue: Hoechst 33342 staining.
风险提示:丁香通仅作为第三方平台,为商家信息发布提供平台空间。用户咨询产品时请注意保护个人信息及财产安全,合理判断,谨慎选购商品,商家和用户对交易行为负责。对于医疗器械类产品,请先查证核实企业经营资质和医疗器械产品注册证情况。
- 作者
- 内容
- 询问日期
文献和实验Meng-Hui Zhang et al., Bioengineered 2022 (PMID:35412944)
Yu-Ting Yen et al., Int J Mol Sci 2021 (PMID:35008751)
Russell DF et al., Front Neuroanat 2020 (PMID:33192338)
Yang P et al., Exp Biol Med (Maywood) 2019 (PMID:31675905)
Yang P et al., Int J Med Sci 2019 (PMID:31839751)
Boschetti E et al., Neurogastroenterol Motil 2019 (PMID:31144425)
Voirin AC et al., Sci Rep 2020 (PMID:32647186)
Qu L et al., Front Pharmacol 2020 (PMID:32625099)
Tajik N et al., Nat Commun 2020 (PMID:32332732)
Xu G et al., Front Mol Neurosci 2019 (PMID:30814927)
Horioka K et al., Dig Dis Sci 2019 (PMID:31312993)
Xiao Ke et al., Int J Clin Exp Med 2019;12(6)
Zhang N et al., Cell Biosci 2019 (PMID:31114672)
Arevalo-Romero H et al., Gastroenterol Res Pract 2016 (PMID:27525003)
Li H et al., Toxicol Appl Pharmacol 2017 (PMID:29294303)
Ding X et al., Lab Invest 2018 (PMID:29330471)
Dominguez C et al., JCI Insight 2017 (PMID:29093275)
Chou HC et al., Toxicological Sciences 2017 (Epub)
Chiu WC et al., PLoS One 2016 (PMID:27875549)
Wan-Ping Su et al., Biomed Pharmacother 2023 (PMID:37196543)
Russell DF et al., PLoS One 2022 (PMID:36395118)
M?ckel M et al., Cells 2022 (PMID:36429061)
Xun Liu et al., Cancer Sci 2022 (PMID:35271750)
In the field of therapeutic recombinant proteins, monoclonal antibodies (mAbs) have achieved a rising success with more than 30 mAbs that have reached the market in the past 20 years. From a structural standpoint, one of the most important
to protect the antibody. These should be stored in smaller aliquots (about 1 ml) and frozen for long term storage though the protected solution is also stable for months at four degrees. Ascites fluid: This is a bit more problematic as it may contain
Materials 0.1M NaHC03 pH9 DMSO NHS-Biotin (N-Hydroxysuccinimidobiotin, Sigma #H-1759) PBS Procedure Dialyze the sample against carbonate buffer. After dialysis, adjust
技术资料暂无技术资料 索取技术资料





![Cytokeratin 8 antibody [KRT8/2174R]](https://img1.dxycdn.com/2022/0328/900/3199683421939700453-14.jpg!wh200)





