相关产品推荐更多 >
万千商家帮你免费找货
0 人在求购买到急需产品
- 详细信息
- 文献和实验
- 技术资料
- 免疫原:
Carrier-protein conjugated synthetic peptide encompassing a sequence within the C-terminus region of human RANKL. The exact sequence is proprietary.
- 亚型:
IgG
- 形态:
Liquid
- 保存条件:
Store as concentrated solution. Centrifuge briefly prior to opening vial. For short-term storage (1-2 weeks), store at 4ºC. For long-term storage, aliquot and store at -20ºC or below. Avoid multiple freeze-thaw cycles.
- 克隆性:
Polyclonal
- 标记物:
Unconjugated
- 适应物种:
Human, Mouse, Rat
- 保质期:
12 months from the shipping date of the product.
- 抗原来源:
Human
- 目录编号:
GTX108515
- 级别:
Primary Antibodies
- 库存:
Available
- 供应商:
GeneTex
- 宿主:
Rabbit
- 应用范围:
WB, IHC-P
- 浓度:
1 mg/ml (Please refer to the vial label for the specific concentration.)
- 靶点:
RANKL
- 抗体英文名:
RANKL antibody [C2C3], C-term
- 抗体名:
RANKL 抗体 [C2C3], C-term
- 规格:
100 μl/25 μl
| 规格: | 100 μl | 产品价格: | ¥4000.0 |
|---|---|---|---|
| 规格: | 25 μl | 产品价格: | ¥1700.0 |
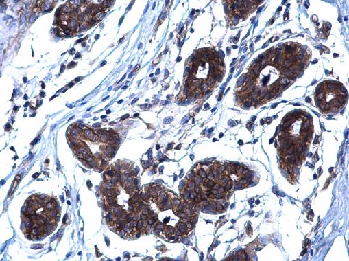
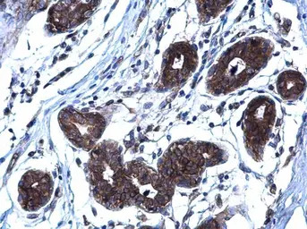
RANKL antibody [C2C3], C-term detects RANKL protein at membrane on human breast carcinoma by immunohistochemical analysis.
Sample: Paraffin-embedded human breast carcinoma.
RANKL antibody [C2C3], C-term (GTX108515) diluted at 1:500.
Antigen Retrieval: Trilogy™ (EDTA based, pH 8.0) buffer, 15min
RANKL antibody [C2C3], C-term detects RANKL protein by western blot analysis.
A. 50 μg rat lung extract
10% SDS-PAGE
RANKL antibody [C2C3], C-term (GTX108515) dilution: 1:1000
The HRP-conjugated anti-rabbit IgG antibody (GTX213110-01) was used to detect the primary antibody.
Sample (30 μg of whole cell lysate)
A: HeLa
10% SDS PAGE
RANKL (CD254) antibody
GTX108515 diluted at 1:1000
The HRP-conjugated anti-rabbit IgG antibody (GTX213110-01) was used to detect the primary antibody.
风险提示:丁香通仅作为第三方平台,为商家信息发布提供平台空间。用户咨询产品时请注意保护个人信息及财产安全,合理判断,谨慎选购商品,商家和用户对交易行为负责。对于医疗器械类产品,请先查证核实企业经营资质和医疗器械产品注册证情况。
文献和实验Tenshin H et al., Clin Transl Immunology 2022 (PMID:35079379)
Malta FS et al., PLoS One 2020 (PMID:32841254)
Zhang Y et al., Ecotoxicol Environ Saf 2019 (PMID:31404725)
Chang MC et al., Int J Mol Sci 2018 (PMID:30562925)
Jiah Yeom et al., Microorganisms 2021 (PMID:33805153)
人可溶性破骨细胞异化因子(RANKL)ELISA试剂盒 说明书
上海西唐生物科技有限公司 021-55229872, 65333639 www.westang.com 人可溶性破骨细胞异化因子 ( RANKL )ELISA 试剂盒 ( 用于血清、细胞培养上清液和生物体液内 ) 原理 本实验采用双抗体夹心 ABC-ELISA 法。用抗人 RANKL 单抗包被于酶标板上,标准品和样品中的 RANKL与单抗结合,加入生物素化的抗人
大鼠可溶性破骨细胞异化因子(RANKL)ELISA试剂盒 说明书
上海西唐生物科技有限公司 021-55229872, 65333639 www.westang.com 大鼠可溶性破骨细胞异化因子 (RANKL)ELISA 试剂盒 ( 用于血清、细胞培养上清液和生物体液内 ) 原理 本实验采用双抗体夹心 ABC-ELISA 法。用抗大鼠 RANKL 单抗包被于酶标板上,标准品和样品中的 RANKL 与单抗结合,加入生物素化的抗大鼠 RANKL ,形成免疫复合物连接
兔可溶性破骨细胞异化因子(RANKL)ELISA试剂盒 说明书
上海西唐生物科技有限公司 021-55229872, 65333639 www.westang.com 兔可溶性破骨细胞异化因子 ( RANKL )ELISA 试剂盒 ( 用于血清、细胞培养上清液和生物体液内 ) 原理 本实验采用双抗体夹心 ABC-ELISA 法。用抗兔 RANKL 单抗包被于酶标板上,标准品和样品中的 RANKL与单抗结合,加入生物素化的抗兔
技术资料暂无技术资料 索取技术资料





![C-Peptide antibody [HL1159]](https://img1.dxycdn.com/2022/0329/809/2806907716998020453-14.jpg!wh200)





