相关产品推荐更多 >
万千商家帮你免费找货
0 人在求购买到急需产品
- 详细信息
- 技术资料
- 免疫原:
Carrier-protein conjugated synthetic peptide encompassing a sequence within the N-terminus region of human eRF1. The exact sequence is proprietary.
- 亚型:
IgG
- 形态:
Liquid
- 保存条件:
Store as concentrated solution. Centrifuge briefly prior to opening vial. For short-term storage (1-2 weeks), store at 4ºC. For long-term storage, aliquot and store at -20ºC or below. Avoid multiple freeze-thaw cycles.
- 克隆性:
Polyclonal
- 标记物:
Unconjugated
- 适应物种:
Human, Mouse, Zebrafish
- 保质期:
12 months from the shipping date of the product.
- 抗原来源:
Human
- 目录编号:
GTX108296
- 级别:
Primary Antibodies
- 库存:
Available
- 供应商:
GeneTex
- 宿主:
Rabbit
- 应用范围:
WB, ICC/IF, IHC-P, IHC
- 浓度:
0.8 mg/ml (Please refer to the vial label for the specific concentration.)
- 靶点:
eRF1
- 抗体英文名:
eRF1 antibody
- 抗体名:
eRF1 抗体
- 规格:
100 μl/25 μl
| 规格: | 100 μl | 产品价格: | ¥4000.0 |
|---|---|---|---|
| 规格: | 25 μl | 产品价格: | ¥1700.0 |
eRF1 antibody detects eRF1 protein on myofiber membranes by immunohistochemical analysis Sample: Agarose-embedded zebrafish embryo eRF1 antibody (GTX108296) dilution: 1:200. Image provided with permission courtesy of Dr. T. Schilling at UC, Irvine.
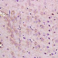
eRF1 antibody detects eRF1 protein at cytoplasm in mouse brain by immunohistochemical analysis.
Sample: Paraffin-embedded mouse brain.
eRF1 antibody (GTX108296) diluted at 1:500.
Antigen Retrieval: Citrate buffer, pH 6.0, 15 min
Immunofluorescence analysis of methanol-fixed HeLa, using eRF1(GTX108296) antibody at 1:500 dilution.
Sample (30 ug of whole cell lysate)
A: Raji
10% SDS PAGE
eRF1 antibody
GTX108296 diluted at 1:1000
风险提示:丁香通仅作为第三方平台,为商家信息发布提供平台空间。用户咨询产品时请注意保护个人信息及财产安全,合理判断,谨慎选购商品,商家和用户对交易行为负责。对于医疗器械类产品,请先查证核实企业经营资质和医疗器械产品注册证情况。
技术资料暂无技术资料 索取技术资料





![Occludin antibody [MSVA-415M] HistoMAX](https://custom.dxycdn.com/trademd/upload/pic/2013/11/12/A1383891150.jpg!small.t.1)



![Reelin antibody [G10]](https://img1.dxycdn.com/2022/0328/034/6614950646840800453-14.jpg!wh200)
