相关产品推荐更多 >
万千商家帮你免费找货
0 人在求购买到急需产品
- 详细信息
- 技术资料
- 免疫原:
Recombinant protein encompassing a sequence within the center region of human Carboxypeptidase M. The exact sequence is proprietary.
- 亚型:
IgG
- 形态:
Liquid
- 保存条件:
Store as concentrated solution. Centrifuge briefly prior to opening vial. For short-term storage (1-2 weeks), store at 4ºC. For long-term storage, aliquot and store at -20ºC or below. Avoid multiple freeze-thaw cycles.
- 克隆性:
Polyclonal
- 标记物:
Unconjugated
- 适应物种:
Human, Rat
- 保质期:
12 months from the shipping date of the product.
- 抗原来源:
Human
- 目录编号:
GTX106203
- 级别:
Primary Antibodies
- 库存:
Available
- 供应商:
GeneTex
- 宿主:
Rabbit
- 应用范围:
WB
- 浓度:
1 mg/ml (Please refer to the vial label for the specific concentration.)
- 靶点:
Carboxypeptidase M
- 抗体英文名:
Carboxypeptidase M antibody [N1C2]
- 抗体名:
Carboxypeptidase M 抗体 [N1C2]
- 规格:
100 μl/25 μl
| 规格: | 100 μl | 产品价格: | ¥4000.0 |
|---|---|---|---|
| 规格: | 25 μl | 产品价格: | ¥1700.0 |
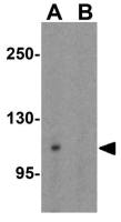
Sample(30 ug whole cell lysate)
A:Hep G2 (GTX27900)
7.5% SDS PAGE
GTX106203 diluted at 1:500
Carboxypeptidase M antibody [N1C2] detects Carboxypeptidase M protein by western blot analysis. Rat tissue extracts (50 μg) was separated by 10% SDS-PAGE, and the membrane was blotted with Carboxypeptidase M antibody [N1C2] (GTX106203) diluted at 1:500.
风险提示:丁香通仅作为第三方平台,为商家信息发布提供平台空间。用户咨询产品时请注意保护个人信息及财产安全,合理判断,谨慎选购商品,商家和用户对交易行为负责。对于医疗器械类产品,请先查证核实企业经营资质和医疗器械产品注册证情况。
技术资料暂无技术资料 索取技术资料


![Carboxypeptidase M antibody [N1C2]](https://img1.dxycdn.com/2022/0328/300/4713421188026200453-14.jpg)




![Histone H3 antibody [RM188]](https://img1.dxycdn.com/2022/0328/395/6137860455353500453-14.jpg!wh200)
![CD3 antibody [LN10]](https://img1.dxycdn.com/2022/0328/820/4048347088297700453-14.jpg!wh200)

