相关产品推荐更多 >
万千商家帮你免费找货
0 人在求购买到急需产品
- 详细信息
- 技术资料
- 免疫原:
Recombinant protein encompassing a sequence within the center region of human TNFAIP2. The exact sequence is proprietary.
- 亚型:
IgG
- 形态:
Liquid
- 保存条件:
Store as concentrated solution. Centrifuge briefly prior to opening vial. For short-term storage (1-2 weeks), store at 4ºC. For long-term storage, aliquot and store at -20ºC or below. Avoid multiple freeze-thaw cycles.
- 克隆性:
Polyclonal
- 标记物:
Unconjugated
- 适应物种:
Human, Mouse
- 保质期:
12 months from the shipping date of the product.
- 抗原来源:
Human
- 目录编号:
GTX105256
- 级别:
Primary Antibodies
- 库存:
Available
- 供应商:
GeneTex
- 宿主:
Rabbit
- 应用范围:
WB, ICC/IF, IHC-P
- 浓度:
1 mg/ml (Please refer to the vial label for the specific concentration.)
- 靶点:
TNFAIP2
- 抗体英文名:
TNFAIP2 antibody [C1C3]
- 抗体名:
TNFAIP2 抗体 [C1C3]
- 规格:
100 μl/25 μl
| 规格: | 100 μl | 产品价格: | ¥4000.0 |
|---|---|---|---|
| 规格: | 25 μl | 产品价格: | ¥1700.0 |
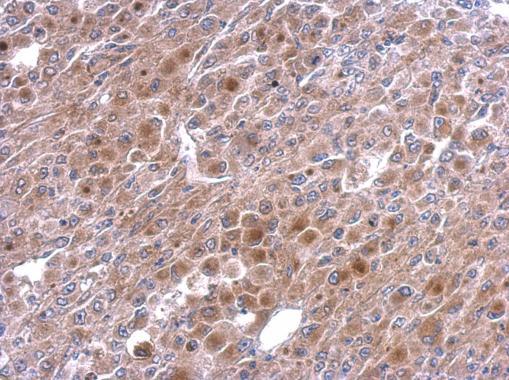
TNFalpha-IP 2 antibody [C1C3] detects TNFalpha-IP 2 protein at cytosol on HeLa xenograft by immunohistochemical analysis.
Sample: Paraffin-embedded HeLa xenograft.
TNFalpha-IP 2 antibody [C1C3] (GTX105256) dilution: 1:500.
Antigen Retrieval: Trilogy™ (EDTA based, pH 8.0) buffer, 15min
TNFalpha-IP 2 antibody [C1C3] detects TNFalpha-IP 2 protein at cytosol on HeLa xenograft by immunohistochemical analysis.
Sample: Paraffin-embedded HeLa xenograft.
TNFalpha-IP 2 antibody [C1C3] (GTX105256) dilution: 1:500.
Antigen Retrieval: Trilogy™ (EDTA based, pH 8.0) buffer, 15min
Whole cell extract (30 μg) was separated by 7.5% SDS-PAGE, and the membrane was blotted with TNFAIP2 antibody [C1C3] (GTX105256) diluted at 1:500. The HRP-conjugated anti-rabbit IgG antibody (GTX213110-01) was used to detect the primary antibody.
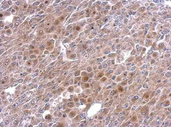
TNFalpha-IP 2 antibody [C1C3] detects TNFalpha-IP 2 protein at cytosol on mouse spleen by immunohistochemical analysis.
Sample: Paraffin-embedded mouse spleen.
TNFalpha-IP 2 antibody [C1C3] (GTX105256) dilution: 1:500.
Antigen Retrieval: Trilogy™ (EDTA based, pH 8.0) buffer, 15min
TNFAIP2 antibody [C1C3] detects TNFAIP2 protein at cytoplasm and nucleus by immunofluorescent analysis.
Sample: HeLa cells were fixed in 4% PFA at RT for 15 min.
Green: TNFAIP2 stained by TNFAIP2 antibody [C1C3] (GTX105256) diluted at 1:500.
Red: alpha Tubulin, a cytoskeleton marker, stained by alpha Tubulin antibody [GT114] (GTX628802) diluted at 1:1000.
Blue: Fluoroshield with DAPI (GTX30920).
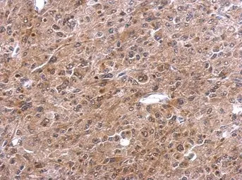
TNFalpha-IP 2 antibody [C1C3] detects TNFalpha-IP 2 protein at cytosol on mouse spleen by immunohistochemical analysis.
Sample: Paraffin-embedded mouse spleen.
TNFalpha-IP 2 antibody [C1C3] (GTX105256) dilution: 1:500.
Antigen Retrieval: Trilogy™ (EDTA based, pH 8.0) buffer, 15min
风险提示:丁香通仅作为第三方平台,为商家信息发布提供平台空间。用户咨询产品时请注意保护个人信息及财产安全,合理判断,谨慎选购商品,商家和用户对交易行为负责。对于医疗器械类产品,请先查证核实企业经营资质和医疗器械产品注册证情况。
技术资料暂无技术资料 索取技术资料





![Ubinuclein 1 antibody [UBN1-02]](https://img1.dxycdn.com/2022/0328/534/1568265762585500453-14.jpg!wh200)




