相关产品推荐更多 >
万千商家帮你免费找货
0 人在求购买到急需产品
- 详细信息
- 询价记录
- 文献和实验
- 技术资料
- 免疫原:
Human T lymphocytes
- 亚型:
IgG2a
- 形态:
Liquid
- 保存条件:
Store as concentrated solution. Centrifuge briefly prior to opening vial. For short-term storage (1-2 weeks), store at 4ºC. For long-term storage, aliquot and store at -20ºC or below. Avoid multiple freeze-thaw cycles.
- 克隆性:
Monoclonal
- 标记物:
Unconjugated
- 适应物种:
Human, Cynomolgus monkey
- 保质期:
12 months from the shipping date of the product.
- 抗原来源:
Human
- 目录编号:
GTX30725
- 级别:
Primary Antibodies
- 库存:
Available
- 供应商:
GeneTex
- 宿主:
Mouse
- 应用范围:
ICC/IF, IHC-P, IHC-Fr, FACS
- 浓度:
1 mg/ml (Please refer to the vial label for the specific concentration.)
- 靶点:
This antibody recognizes an epitope on human CD44 outside the regions coded for by the variable region exons and is thus expected to recognize all isoforms of human CD44 (Mackay et al. 1994).
- 抗体英文名:
CD44 antibody [F10-44-2]
- 抗体名:
CD44 抗体 [F10-44-2]
- 规格:
200 μg
FACS analysis of human peripheral blood lymphocytes using GTX30725 CD44 antibody [F10-44-2].
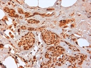
IHC-P analysis of human breast cancer biopsy tissue using GTX30725 CD44 antibody [F10-44-2].
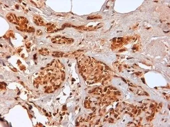
IHC-P analysis of human breast cancer biopsy tissue using GTX30725 CD44 antibody [F10-44-2].
风险提示:丁香通仅作为第三方平台,为商家信息发布提供平台空间。用户咨询产品时请注意保护个人信息及财产安全,合理判断,谨慎选购商品,商家和用户对交易行为负责。对于医疗器械类产品,请先查证核实企业经营资质和医疗器械产品注册证情况。
- 作者
- 内容
- 询问日期
文献和实验Lindqvist U et al., Acta Derm Venereol 2012 (PMID:22278305)
CD44/CD44R 分子 CD44 常用单克隆抗体或代号: GRHL1,Hermes,F10- 44- 2(Pgp- 1H- CAM,ECM- RⅢ) 主要表达细胞: Leu,上皮,Fb,RBC[AS] 分子质量(kDa)和结构: gp80- 95 功 能: 粘附ECM,T细胞活化,淋巴细胞归位受体,归位到HEV CD44R 常用单克隆抗体或代号: FM11,24
上海西唐生物科技有限公司 021-55229872, 65333639 www.westang.com 大鼠可溶性 CD44(sCD44)ELISA 试剂盒 ( 用于血清、血浆、细胞培养上清液和其它生物体液内 ) 原理 本实验采用双抗体夹心 ABC-ELISA 法。用抗大鼠 sCD44 单抗包被于酶标板上,标准品和样品中的 sCD44 与单抗结合,加入生物素化的抗大鼠 sCD44 ,形成免疫
人可溶性CD44v6(sCD44v6)ELISA试剂盒 说明书
上海西唐生物科技有限公司 021-55229872, 65333639 www.westang.com 人可溶性CD44v6 (sCD44v6)ELISA 试剂盒 ( 用于血清、血浆、细胞培养上清液和其它生物体液内 ) 原理 本实验采用双抗体夹心 ABC-ELISA 法。用抗人 sCD44v6 单抗包被于酶标板上,标准品和样品中的 sCD44v6与单抗结合,加入生物素化的抗人
技术资料暂无技术资料 索取技术资料





![CD40 antibody [5C3] (FITC)](https://img1.dxycdn.com/2022/0328/748/8817598472446700453-14.jpg!wh200)





