相关产品推荐更多 >
万千商家帮你免费找货
0 人在求购买到急需产品
- 详细信息
- 文献和实验
- 技术资料
- 免疫原:
Recombinant protein encompassing a sequence within the center region of human NOX1. The exact sequence is proprietary.
- 亚型:
IgG
- 形态:
Liquid
- 保存条件:
Store as concentrated solution. Centrifuge briefly prior to opening vial. For short-term storage (1-2 weeks), store at 4ºC. For long-term storage, aliquot and store at -20ºC or below. Avoid multiple freeze-thaw cycles.
- 克隆性:
Polyclonal
- 标记物:
Unconjugated
- 适应物种:
Human, Mouse, Rat
- 保质期:
12 months from the shipping date of the product.
- 抗原来源:
Human
- 目录编号:
GTX103888
- 级别:
Primary Antibodies
- 库存:
Available
- 供应商:
GeneTex
- 宿主:
Rabbit
- 应用范围:
WB, ICC/IF, IHC-P
- 浓度:
1.19 mg/ml (Please refer to the vial label for the specific concentration.)
- 靶点:
NOX1
- 抗体英文名:
NOX1 antibody
- 抗体名:
NOX1 抗体
- 规格:
100 μl/25 μl
| 规格: | 100 μl | 产品价格: | ¥4000.0 |
|---|---|---|---|
| 规格: | 25 μl | 产品价格: | ¥1700.0 |
Mouse tissue extract (50 μg) was separated by 7.5% SDS-PAGE, and the membrane was blotted with NOX1 antibody (GTX103888) diluted at 1:2000. The HRP-conjugated anti-rabbit IgG antibody (GTX213110-01) was used to detect the primary antibody.
Untreated (–) and treated (+) HCT116 whole cell extracts (30 μg) were separated by 7.5% SDS-PAGE, and the membrane was blotted with NOX1 antibody (GTX103888) diluted at 1:2000. The HRP-conjugated anti-rabbit IgG antibody (GTX213110-01) was used to detect the primary antibody.
Sample (30 μg of whole cell lysate)
A: JC
B: BCL-1
7.5% SDS PAGE
GTX103888 diluted at 1:5000
The HRP-conjugated anti-rabbit IgG antibody (GTX213110-01) was used to detect the primary antibody.
Sample (30 μg of whole cell lysate)
A: 293T
B: A431
C: HeLa
7.5% SDS PAGE
GTX103888 diluted at 1:2000
The HRP-conjugated anti-rabbit IgG antibody (GTX213110-01) was used to detect the primary antibody.
NOX1 antibody detects NOX1 protein at cytoplasm by immunofluorescent analysis.
Sample: HepG2 cells were fixed in 4% PFA at RT for 15 min.
Green: NOX1 protein stained by NOX1 antibody (GTX103888) diluted at 1:500.
Blue: Hoechst 33342 staining.
NOX1 antibody detects NOX1 protein at cytoplasm on human lung carcinoma by immunohistochemical analysis.
Sample: Paraffin-embedded human lung carcinoma.
NOX1 antibody (GTX103888) diluted at 1:500.
Antigen Retrieval: Trilogy™ (EDTA based, pH 8.0) buffer, 15min
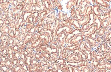
NOX1 antibody detects NOX1 protein at cell membrane and cytoplasm by immunohistochemical analysis.
Sample: Paraffin-embedded mouse kidney.
NOX1 stained by NOX1 antibody (GTX103888) diluted at 1:500.
Antigen Retrieval: Citrate buffer, pH 6.0, 15 min
风险提示:丁香通仅作为第三方平台,为商家信息发布提供平台空间。用户咨询产品时请注意保护个人信息及财产安全,合理判断,谨慎选购商品,商家和用户对交易行为负责。对于医疗器械类产品,请先查证核实企业经营资质和医疗器械产品注册证情况。
文献和实验Wu CH et al., J Biol Chem 2012 (PMID:22648416)
Mukohda M et al., Pharmacol Res 2012 (PMID:21884795)
Qipeng Wu et al., Cell Death Dis 2022 (PMID:35418176)
Yanhui Jiang et al., Front Oncol 2021 (PMID:33968728)
Saurav Bhowmick et al., eNeuro 2021 (PMID:34135004)
Hsiao-Ya Tsai et al., Front Immunol 2021 (PMID:34764958)
Liu D et al., Cell Mol Gastroenterol Hepatol 2022 (PMID:35031518)
Cheng D et al., Mol Med Rep 2020 (PMID:33000246)
Sandrini L et al., Oxid Med Cell Longev 2017 (PMID:29317986)
Liang S et al., Gastroenterology 2019 (PMID:30445007)
Finetti F et al., Cell Signal 2020 (PMID:31917192)
Wang FT et al., Oncol Rep 2019 (PMID:31364740)
Cai YY et al., J Diabetes 2019 (PMID:31020790)
Feng YY et al., J Immunol 2019 (PMID:30867238)
Sandrini L et al., Oxidative Medicine and Cellular Longevity 2017 2017()
Jin L et al., Sci Rep 2017 (PMID:29142252)
Misawa H et al., Toxicol Appl Pharmacol 2017 (PMID:28887131)
Lee M et al., Invest Ophthalmol Vis Sci 2016 (PMID:27046120)
Qiu S et al., J Am Heart Assoc 2014 (PMID:24965025)
Wu JS et al., Mol Neurobiol 2013 (PMID:24352801)
Dvoriantchikova G et al., Invest Ophthalmol Vis Sci 2012 (PMID:22467573)
Musset B et al., J Biol Chem 2012 (PMID:22291013)
Generation of Antibody Molecules Through Antibody Engineering
been overcome to a large extent using genetic-engineering techniques to produce chimeric mouse/human and completely human antibodies. Such an approach is particularly suitable because of the domain structure of the antibody molecule ( 2 ), where functional
The importance of antibody molecules was first recognized in the 1890s, when it was shown that immunity to tetanus and diphtheria was caused by antibodies against the bacterial exotoxins (1 ). Around the same time, it was shown that antisera
General comments: Antibodies, like most proteins, do not like to be freeze-thawed. Avoid repetitive freezing of your solution. The best way to store your antibody is to keep a high protein concentration (>1 mg/ml), add some protease
技术资料暂无技术资料 索取技术资料











