相关产品推荐更多 >
万千商家帮你免费找货
0 人在求购买到急需产品
- 详细信息
- 文献和实验
- 技术资料
- 免疫原:
Recombinant protein encompassing a sequence within the center region of human Calpastatin. The exact sequence is proprietary.
- 亚型:
IgG
- 形态:
Liquid
- 保存条件:
Store as concentrated solution. Centrifuge briefly prior to opening vial. For short-term storage (1-2 weeks), store at 4ºC. For long-term storage, aliquot and store at -20ºC or below. Avoid multiple freeze-thaw cycles.
- 克隆性:
Polyclonal
- 标记物:
Unconjugated
- 适应物种:
Human
- 保质期:
12 months from the shipping date of the product.
- 抗原来源:
Human
- 目录编号:
GTX103454
- 级别:
Primary Antibodies
- 库存:
Available
- 供应商:
GeneTex
- 宿主:
Rabbit
- 应用范围:
WB, IHC-P
- 浓度:
0.7 mg/ml (Please refer to the vial label for the specific concentration.)
- 靶点:
Calpastatin
- 抗体英文名:
Calpastatin antibody
- 抗体名:
Calpastatin 抗体
- 规格:
100 μl/25 μl
| 规格: | 100 μl | 产品价格: | ¥4000.0 |
|---|---|---|---|
| 规格: | 25 μl | 产品价格: | ¥1700.0 |
Sample (30 ug of whole cell lysate)
A: A549
7.5% SDS PAGE
GTX103454 diluted at 1:2000
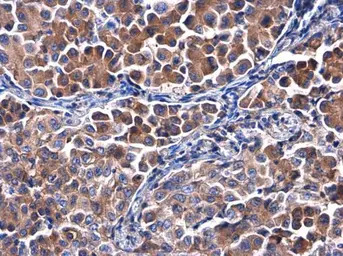
Calpastatin antibody detects Calpastatin protein at cytoplasm in human lung cancer by immunohistochemical analysis.
Sample: Paraffin-embedded human lung cancer.
Calpastatin antibody (GTX103454) diluted at 1:500.
Antigen Retrieval: Citrate buffer, pH 6.0, 15 min
风险提示:丁香通仅作为第三方平台,为商家信息发布提供平台空间。用户咨询产品时请注意保护个人信息及财产安全,合理判断,谨慎选购商品,商家和用户对交易行为负责。对于医疗器械类产品,请先查证核实企业经营资质和医疗器械产品注册证情况。
文献和实验Preparation of Calpastatin Samples for Western Blotting
Determination of calpastatin levels in cells or tissues by Western blotting using antibodies, or by assay of calpain inhibitory activities in vitro, may be required to assess the role and the level of calpastatin, with respect to the levels
Purification of Recombinant Calpastatin Expressed in Escherichia coli
Calpastatin is an endogenous inhibitor protein specific for calpain (1 ,2 ). Other calpain-inhibiting reagents such as EDTA, E-64, leupeptin, and calpain inhibitor I (N -acetyl-L-leucyl-L-leucyl-L-norleucinal), are frequently used
Purification of - and m-Calpain and Calpastatin from Animal Tissues
This chapter describes procedures for purification of μ-calpain, m-calpain, and calpastatin simultaneously from a single tissue sample. The procedures and reagents described apply equally well to purification
技术资料暂无技术资料 索取技术资料







![CD3 zeta antibody [C1C3]](https://img1.dxycdn.com/2022/0328/295/4238462862437200453-14.jpg!wh200)
![CD31 antibody [TLD-3A12] (Low endotoxin, azide free)](https://img1.dxycdn.com/2022/0328/930/0435745827604400453-14.jpg!wh200)

