相关产品推荐更多 >
万千商家帮你免费找货
0 人在求购买到急需产品
- 详细信息
- 文献和实验
- 技术资料
- 免疫原:
Recombinant protein encompassing a sequence within the center region of human Cyclin A2. The exact sequence is proprietary.
- 亚型:
IgG
- 形态:
Liquid
- 保存条件:
Store as concentrated solution. Centrifuge briefly prior to opening vial. For short-term storage (1-2 weeks), store at 4ºC. For long-term storage, aliquot and store at -20ºC or below. Avoid multiple freeze-thaw cycles.
- 克隆性:
Polyclonal
- 标记物:
Unconjugated
- 适应物种:
Human, Mouse, Rat, African green monkey
- 保质期:
12 months from the shipping date of the product.
- 抗原来源:
Human
- 目录编号:
GTX103042
- 级别:
Primary Antibodies
- 库存:
Available
- 供应商:
GeneTex
- 宿主:
Rabbit
- 应用范围:
WB, ICC/IF, IHC-P, IP
- 浓度:
0.73 mg/ml (Please refer to the vial label for the specific concentration.)
- 靶点:
IP/MS validation was supported by references (PMID:30377384)
- 抗体英文名:
Cyclin A2 antibody
- 抗体名:
Cyclin A2 抗体
- 规格:
100 μl/25 μl
| 规格: | 100 μl | 产品价格: | ¥4000.0 |
|---|---|---|---|
| 规格: | 25 μl | 产品价格: | ¥1700.0 |
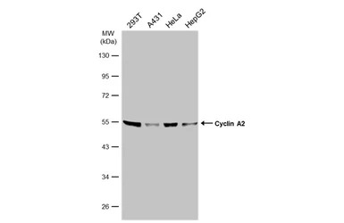
Cyclin A2 antibody detects Cyclin A2 protein by western blot analysis. Various whole cell extracts (30 μg) were separated by 10% SDS-PAGE, and the membrane was blotted with Cyclin A2 antibody (GTX103042) diluted at a dilution of 1:1000. The HRP-conjugated anti-rabbit IgG antibody (GTX213110-01) was used to detect the primary antibody.
Cyclin A2 antibody immunoprecipitates cyclin A2 protein in IP experiments. IP Sample: 1000 μg 293T whole cell lysate/extract A. 30 μg 293T whole cell lysate/extract B. Control with 2.5 μg of preimmune rabbit IgG C. Immunoprecipitation of Cyclin A2 protein by 2.5 μg of Cyclin A2 antibody (GTX103042) 10% SDS-PAGE The immunoprecipitated Cyclin A2 protein was detected by Cyclin A2 antibody (GTX103042) diluted at 1:1000. EasyBlot anti-rabbit IgG (GTX221666-01) was used as a secondary reagent.
Untreated (–) and treated (+) HeLa whole cell extracts (30 μg) were separated by 10% SDS-PAGE, and the membrane was blotted with Cyclin A2 antibody (GTX103042) diluted at 1:1000. The HRP-conjugated anti-rabbit IgG antibody (GTX213110-01) was used to detect the primary antibody.
Various whole cell extracts (30 μg) were separated by 10% SDS-PAGE, and the membrane was blotted with Cyclin A2 antibody (GTX103042) diluted at 1:1000. The HRP-conjugated anti-rabbit IgG antibody (GTX213110-01) was used to detect the primary antibody.
Cyclin A2 antibody detects Cyclin A2 protein at nucleus by immunofluorescent analysis.
Sample: HeLa cells were fixed in 4% PFA at RT for 15 min.
Green: Cyclin A2 stained by Cyclin A2 antibody (GTX103042) diluted at 1:500.
Red: phalloidin, a cytoskeleton marker, diluted at 1:100.
Scale bar= 10 μm.
Cyclin A2 antibody detects CCNA2 protein by western blot analysis.
A. 30 μg Neuro2A whole cell lysate/extract
10% SDS-PAGE
Cyclin A2 antibody (GTX103042) dilution: 1:1000
The HRP-conjugated anti-rabbit IgG antibody (GTX213110-01) was used to detect the primary antibody.
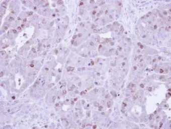
Immunohistochemical analysis of paraffin-embedded NCIN87 Xenograft, using cyclin A (GTX103042) antibody at 1:500 dilution.
Antigen Retrieval: Trilogy™ (EDTA based, pH 8.0) buffer, 15min
Cyclin A2 antibody detects CCNA2 protein by western blot analysis.
A. 30 μg PC-12 whole cell lysate/extract
10% SDS-PAGE
Cyclin A2 antibody (GTX103042) dilution: 1:1000
The HRP-conjugated anti-rabbit IgG antibody (GTX213110-01) was used to detect the primary antibody.
风险提示:丁香通仅作为第三方平台,为商家信息发布提供平台空间。用户咨询产品时请注意保护个人信息及财产安全,合理判断,谨慎选购商品,商家和用户对交易行为负责。对于医疗器械类产品,请先查证核实企业经营资质和医疗器械产品注册证情况。
文献和实验Pan J et al., Oncogene 2010 (PMID:20802531)
Gupta RK et al., EMBO J 2022 (PMID:36161661)
Cardile A et al., Int J Mol Sci 2023 (PMID:36674794)
Jennifer P Ditano et al., Cell Cycle 2021 (PMID:34156324)
San-Yuan Chen et al., Oncol Lett 2022 (PMID:35069870)
Zanr? V et al., Int J Mol Sci 2022 (PMID:35163058)
Hinds JW et al., ACS Pharmacol Transl Sci 2021 (PMID:34423276)
Pietil? EA et al., Nat Commun 2021 (PMID:34162871)
Javary J et al., Liver Int 2021 (PMID:33792165)
Fu H et al., Mol Med Rep 2021 (PMID:33200803)
Zhang G et al., Eur J Pharmacol 2020 (PMID:32950500)
Huang HY et al., J Cell Mol Med 2020 (PMID:32672400)
Ogawa M et al., Oncotarget 2019 (PMID:30719233)
Honda T et al., Sci Rep 2020 (PMID:31980707)
Yeh HT et al., Eur J Pharmacol 2019 (PMID:31518562)
Chen SY et al., Int J Mol Med 2019 (PMID:31485612)
Liu WL et al., Molecules 2019 (PMID:30824767)
Liu YH et al., Phytomedicine 2018 (PMID:30097117)
Huang CY et al., Cells 2018 (PMID:30544747)
Sikorski K et al., Nat Methods 2018 (PMID:30377371)
Li JM et al., Ther Adv Med Oncol 2018 (PMID:30159048)
Honda T et al., J Cell Physiol 2018 (PMID:30066954)
Liang HH et al., Life Sci 2018 (PMID:30056019)
Suk FM et al., Sci Rep 2018 (PMID:29426877)
Fu H et al., Mol Med Rep 2018 (PMID:29344642)
Kokabu S et al., J Biol Chem 2017 (PMID:28607151)
Liu YH et al., Sci Rep 2017 (PMID:28134285)
Lin IL et al., Cancer Cell Int 2014 (PMID:24393431)
Szu-Ting Lin et al., Cellular and Molecular Life Sciences 2015 (PMID:25596698)
Li LH et al., PLoS One 2014 (PMID:25105411)
Chen Y et al., Biochim Biophys Acta 2012 (PMID:22200450)
大鼠腺苷 A2b 受体 (A2b R)ELISA 试剂盒 ( 用于血清、血浆、细胞培养上清液和其它生物体液内 ) 原理 本实验采用双抗体夹心 ABC-ELISA 法。用抗大鼠 A2b R 单抗包被于酶标板上,标准品和样品中的 A2b R 与单抗结合,加入生物素化的抗大鼠 A2b R ,形成免疫复合物连接在板上,辣根过氧化物酶标记的 Streptavidin 与生物素结合,加入底物工作液显蓝色,最后加终止液硫酸
Immunodetection of cyclin D1 and D2/D3 using flow cytometry
that has been kept -20°C. Incubate the cells for at least two hours. Wash once with staining buffer and decant. Add the primary anti-cyclin antibody in a volume of 200 µ l. Incubate overnight at 4°C. Wash twice with cold cyclin staining buffer and add the Cy
Measurement of Changes in Cdk2 and Cyclin O-Associated Kinase Activity in Apoptosis
and members of the Bcl-2 protein family. In this chapter, we describe methods for measuring changes in Cdk2 activity during apoptosis. In addition, we also show the details of the generation of an antibody able to immunoprecipitate the cyclin O complexes
技术资料暂无技术资料 索取技术资料









![CD41 antibody [MEM-06] (FITC)](https://img1.dxycdn.com/2022/0328/372/8840379051135500453-14.bmp!wh200)
