相关产品推荐更多 >
万千商家帮你免费找货
0 人在求购买到急需产品
- 详细信息
- 文献和实验
- 技术资料
- 免疫原:
Recombinant protein encompassing a sequence within the N-terminus region of human Desmoglein 2. The exact sequence is proprietary.
- 亚型:
IgG
- 形态:
Liquid
- 保存条件:
Store as concentrated solution. Centrifuge briefly prior to opening vial. For short-term storage (1-2 weeks), store at 4ºC. For long-term storage, aliquot and store at -20ºC or below. Avoid multiple freeze-thaw cycles.
- 克隆性:
Polyclonal
- 标记物:
Unconjugated
- 适应物种:
Human, Mouse
- 保质期:
12 months from the shipping date of the product.
- 抗原来源:
Human
- 目录编号:
GTX102508
- 级别:
Primary Antibodies
- 库存:
Available
- 供应商:
GeneTex
- 宿主:
Rabbit
- 应用范围:
WB, ICC/IF, IHC-P
- 浓度:
0.36 mg/ml (Please refer to the vial label for the specific concentration.)
- 靶点:
Desmoglein 2
- 抗体英文名:
Desmoglein 2 antibody [N1N2], N-term
- 抗体名:
Desmoglein 2 抗体 [N1N2], N-term
- 规格:
100 μl/25 μl
| 规格: | 100 μl | 产品价格: | ¥4000.0 |
|---|---|---|---|
| 规格: | 25 μl | 产品价格: | ¥1700.0 |
Various whole cell extracts (30 μg) were separated by 5% SDS-PAGE, and the membrane was blotted with Desmoglein 2 antibody [N1N2], N-term (GTX102508) diluted at 1:3000. The HRP-conjugated anti-rabbit IgG antibody (GTX213110-01) was used to detect the primary antibody.
Desmoglein 2 antibody [N1N2], N-term detects Desmoglein 2 protein at cell membrane and cytoplasm in mouse skin by immunohistochemical analysis.
Sample: Paraffin-embedded mouse skin.
Desmoglein 2 antibody [N1N2], N-term (GTX102508) diluted at 1:500.
Antigen Retrieval: Trilogy™ (EDTA based, pH 8.0) buffer, 15min
Mouse tissue extract (50 μg) was separated by 5% SDS-PAGE, and the membrane was blotted with Desmoglein 2 antibody [N1N2], N-term (GTX102508) diluted at 1:500. The HRP-conjugated anti-rabbit IgG antibody (GTX213110-01) was used to detect the primary antibody.
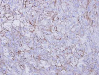
Immunohistochemical analysis of paraffin-embedded DU145 xenograft , using Desmoglein-2(GTX102508) antibody at 1:100 dilution.
Antigen Retrieval: Trilogy™ (EDTA based, pH 8.0) buffer, 15min
Desmoglein 2 antibody [N1N2], N-term detects Desmoglein 2 protein at cell membrane by immunohistochemical analysis.
Sample: Paraffin-embedded human colon cancer.
Desmoglein 2 stained by Desmoglein 2 antibody [N1N2], N-term (GTX102508) diluted at 1:500.
Antigen Retrieval: Citrate buffer, pH 6.0, 15 min
Desmoglein 2 antibody [N1N2], N-term detects Desmoglein 2 protein at cell membrane by immunofluorescent analysis.
Sample: A431 cells were fixed in 4% PFA at RT for 15 min.
Green: Desmoglein 2 stained by Desmoglein 2 antibody [N1N2], N-term (GTX102508) diluted at 1:500.
Blue: Fluoroshield with DAPI (GTX30920).
风险提示:丁香通仅作为第三方平台,为商家信息发布提供平台空间。用户咨询产品时请注意保护个人信息及财产安全,合理判断,谨慎选购商品,商家和用户对交易行为负责。对于医疗器械类产品,请先查证核实企业经营资质和医疗器械产品注册证情况。
文献和实验Liu Y et al., Am J Physiol Gastrointest Liver Physiol 2017 (PMID:28864500)
技术资料暂无技术资料 索取技术资料











