相关产品推荐更多 >
万千商家帮你免费找货
0 人在求购买到急需产品
- 详细信息
- 文献和实验
- 技术资料
- 免疫原:
Recombinant protein encompassing a sequence within the N-terminus region of human AIF. The exact sequence is proprietary.
- 亚型:
IgG
- 形态:
Liquid
- 保存条件:
Store as concentrated solution. Centrifuge briefly prior to opening vial. For short-term storage (1-2 weeks), store at 4ºC. For long-term storage, aliquot and store at -20ºC or below. Avoid multiple freeze-thaw cycles.
- 克隆性:
Polyclonal
- 标记物:
Unconjugated
- 适应物种:
Human
- 保质期:
12 months from the shipping date of the product.
- 抗原来源:
Human
- 目录编号:
GTX102399
- 级别:
Primary Antibodies
- 库存:
Available
- 供应商:
GeneTex
- 宿主:
Rabbit
- 应用范围:
WB, ICC/IF, IHC-P
- 浓度:
0.72 mg/ml (Please refer to the vial label for the specific concentration.)
- 靶点:
AIF
- 抗体英文名:
AIF antibody [N1N2], N-term
- 抗体名:
AIF 抗体 [N1N2], N-term
- 规格:
100 μl/25 μl
| 规格: | 100 μl | 产品价格: | ¥4000.0 |
|---|---|---|---|
| 规格: | 25 μl | 产品价格: | ¥1700.0 |
Non-transfected (–) and transfected (+) 293T whole cell extracts (30 μg) were separated by 7.5% SDS-PAGE, and the membrane was blotted with AIF antibody [N1N2], N-term (GTX102399) diluted at 1:4000.
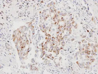
Immunohistochemical analysis of paraffin-embedded human lung cancer, using AIF(GTX102399) antibody at 1:100 dilution.
Antigen Retrieval: Trilogy™ (EDTA based, pH 8.0) buffer, 15min
AIF antibody [N1N2], N-term detects AIFM1 protein at Mitochondria by immunofluorescent analysis.
Sample: HeLa cells were fixed in 2% PFA/culture medium at 37ºC for 30 min.
Green: AIFM1 protein stained by AIF antibody [N1N2], N-term (GTX102399) diluted at 1:500.
Blue: Hoechst 33343 staining.
AIF antibody [N1N2], N-term detects AIFM1 protein by Western blot analysis.
A. 30 μg 293T whole cell lysate/extract
B. 30 μg A431 whole cell lysate/extract
C. 30 μg HeLa whole cell lysate/extract
D. 30 μg HepG2 whole cell lysate/extract
E. 30 μg A375 whole cell lysate/extract
7.5 % SDS-PAGE
AIF antibody [N1N2], N-term (GTX102399) dilution: 1:1000
Immunohistochemical analysis of paraffin-embedded human gastric cancer, using AIF(GTX102399) antibody at 1:100 dilution.
Antigen Retrieval: Trilogy™ (EDTA based, pH 8.0) buffer, 15min
风险提示:丁香通仅作为第三方平台,为商家信息发布提供平台空间。用户咨询产品时请注意保护个人信息及财产安全,合理判断,谨慎选购商品,商家和用户对交易行为负责。对于医疗器械类产品,请先查证核实企业经营资质和医疗器械产品注册证情况。
文献和实验Adriaenssens E et al., Nat Cell Biol 2023 (PMID:36690850)
In the field of therapeutic recombinant proteins, monoclonal antibodies (mAbs) have achieved a rising success with more than 30 mAbs that have reached the market in the past 20 years. From a structural standpoint, one of the most important
to protect the antibody. These should be stored in smaller aliquots (about 1 ml) and frozen for long term storage though the protected solution is also stable for months at four degrees. Ascites fluid: This is a bit more problematic as it may contain
Materials 0.1M NaHC03 pH9 DMSO NHS-Biotin (N-Hydroxysuccinimidobiotin, Sigma #H-1759) PBS Procedure Dialyze the sample against carbonate buffer. After dialysis, adjust
技术资料暂无技术资料 索取技术资料








![Plasminogen antibody [11B5-B2]](https://img1.dxycdn.com/2022/0328/274/9547238574285500453-14.jpg!wh200)
![IKK epsilon antibody [C2C3], C-term](https://img1.dxycdn.com/2022/0328/124/8299543276888200453-14.jpg!wh200)

