相关产品推荐更多 >
万千商家帮你免费找货
0 人在求购买到急需产品
- 详细信息
- 文献和实验
- 技术资料
- 免疫原:
Purified recombinant fragment of human ABCG5 (AA: 306-367) expressed in E. Coli.
- 亚型:
IgG1
- 形态:
Liquid
- 保存条件:
Store as concentrated solution. Centrifuge briefly prior to opening vial. For short-term storage (1-2 weeks), store at 4ºC. For long-term storage, aliquot and store at -20ºC or below. Avoid multiple freeze-thaw cycles.
- 克隆性:
Monoclonal
- 标记物:
Unconjugated
- 适应物种:
Human
- 保质期:
12 months from the shipping date of the product.
- 抗原来源:
Human
- 目录编号:
GTX60788
- 级别:
Primary Antibodies
- 库存:
Available
- 供应商:
GeneTex
- 宿主:
Mouse
- 应用范围:
WB, IHC-P, FACS, ELISA
- 浓度:
1 mg/ml (Please refer to the vial label for the specific concentration.)
- 靶点:
ABCG5
- 抗体英文名:
ABCG5 antibody [1B5E10]
- 抗体名:
ABCG5 抗体 [1B5E10]
- 规格:
100 μg
FACS analysis of A549 cells using GTX60788 ABCG5 antibody [1B5E10].
Green : ABCG5
Red : negative control
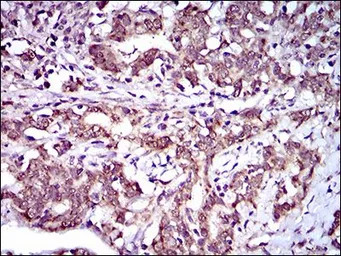
IHC-P analysis of rectum cancer tissue using GTX60788 ABCG5 antibody [1B5E10].
WB analysis of HEK293 (1) and ABCG5 (AA: 306-367)-hIgGFc transfected HEK293 (2) cell lysate using GTX60788 ABCG5 antibody [1B5E10].
WB analysis of HL7702 (1), RAJI (2) and Jurkat (3) cell lysate using GTX60788 ABCG5 antibody [1B5E10].
IHC-P analysis of cervical cancer tissue using GTX60788 ABCG5 antibody [1B5E10].
ELISA analysis of antigen using GTX60788 ABCG5 antibody [1B5E10].
Black : Control antigen 100ng
Purple : Antigen 10ng
Blue : Antigen 50ng
Red : Antigen 100ng
风险提示:丁香通仅作为第三方平台,为商家信息发布提供平台空间。用户咨询产品时请注意保护个人信息及财产安全,合理判断,谨慎选购商品,商家和用户对交易行为负责。对于医疗器械类产品,请先查证核实企业经营资质和医疗器械产品注册证情况。
文献和实验Wholemount Immuno-flurescentWholemount Immuno-flurescent
as much extraembryonic membranes as possible. Puncture the amnion and in older embryos (>E10) puncture the head with a syringe or tungsten needle. 2. Fix in 4% paraformaldehyde (PFA) in PBS at 4o C overnight. 3. Wash twice for 5-10 minutes in PBS. 4. Wash
membranes as possible. Puncture the amnion and in older embryos (>E10) puncture the head with a syringe or tungsten needle. 2. Fix in 4% paraformaldehyde (PFA) in PBS at 4oC overnight. 3. Wash twice for 5-10 minutes in PBS. 4. Wash with 50% MeOH/PBS
b-Gal Staining of Murine Embryos
to make 0.2% Glutaraldehyde fixative, eg: add 0.2ml 25% Glutaraldehyde (EM grade) into 24.8ml fixing buffer. (fresh make every time) For E10 - E12 embryo - fix the embryo on ice for 10 minutes (with at least 20ml fixative); - rinse with PBS
技术资料暂无技术资料 索取技术资料







![Calbindin antibody [MSVA-471M] HistoMAX](https://custom.dxycdn.com/trademd/upload/pic/2013/11/12/A1383891150.jpg!small.t.1)
![CD38 antibody [CD38/4247R]](https://img1.dxycdn.com/2022/0328/313/0655167478559700453-14.jpg!wh200)


