相关产品推荐更多 >
万千商家帮你免费找货
0 人在求购买到急需产品
- 详细信息
- 文献和实验
- 技术资料
- 免疫原:
Recombinant protein encompassing a sequence within the center region of human hnRNP H. The exact sequence is proprietary.
- 亚型:
IgG
- 形态:
Liquid
- 保存条件:
Store as concentrated solution. Centrifuge briefly prior to opening vial. For short-term storage (1-2 weeks), store at 4ºC. For long-term storage, aliquot and store at -20ºC or below. Avoid multiple freeze-thaw cycles.
- 克隆性:
Polyclonal
- 标记物:
Unconjugated
- 适应物种:
Human, Mouse
- 保质期:
12 months from the shipping date of the product.
- 抗原来源:
Human
- 目录编号:
GTX102061
- 级别:
Primary Antibodies
- 库存:
Available
- 供应商:
GeneTex
- 宿主:
Rabbit
- 应用范围:
WB, ICC/IF, IHC-P
- 浓度:
1 mg/ml (Please refer to the vial label for the specific concentration.)
- 靶点:
hnRNP H
- 抗体英文名:
hnRNP H antibody [N1C1]
- 抗体名:
hnRNP H 抗体 [N1C1]
- 规格:
100 μl/25 μl
| 规格: | 100 μl | 产品价格: | ¥4000.0 |
|---|---|---|---|
| 规格: | 25 μl | 产品价格: | ¥1700.0 |
Non-transfected (–) and transfected (+) 293T whole cell extracts (30 μg) were separated by 10% SDS-PAGE, and the membrane was blotted with hnRNP H antibody [N1C1] (GTX102061) diluted at 1:10000. The HRP-conjugated anti-rabbit IgG antibody (GTX213110-01) was used to detect the primary antibody.
hnRNP H antibody [N1C1] detects hnRNP H protein at nucleus by immunofluorescent analysis.
Sample: A431 cells were fixed in 4% PFA at RT for 15 min.
Green: hnRNP H protein stained by hnRNP H antibody [N1C1] (GTX102061) diluted at 1:500.
Red: alpha Tubulin, a cytoskeleton marker, stained by alpha Tubulin antibody [GT114] (GTX628802) diluted at 1:1000.
Blue: Hoechst 33342 staining.
hnRNP H antibody detects hnRNP H protein by western blot analysis. Various whole cell extracts (30 μg) were separated by 10% SDS-PAGE, and the membrane was blotted with hnRNP H antibody (GTX102061) diluted by 1:1000.
hnRNP H antibody [N1C1] detects hnRNP H protein at nucleus by immunofluorescent analysis.
Sample: HeLa cells were fixed in 4% PFA at RT for 15 min.
Green: hnRNP H protein stained by hnRNP H antibody [N1C1] (GTX102061) diluted at 1:200.
Red: alpha Tubulin, a cytoskeleton marker, stained by alpha Tubulin antibody [B-5-1-2] (GTX11304) diluted at 1:10000.
Blue: Hoechst 33342 staining.
Sample (50 ug of whole cell lysate)
A: Mouse brain
10% SDS PAGE
GTX102061 diluted at 1:1000
Sample (30 ug of whole cell lysate)
A: A431 (GTX27909)
B: H1299
C: Hela
D: Hep G2 (GTX27900)
10% SDS PAGE
GTX102061 diluted at 1:1000
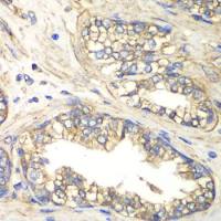
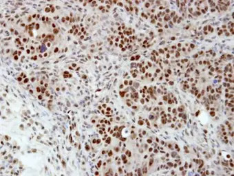
Immunohistochemical analysis of paraffin-embedded NCIN87 xenograft, using hnRNP H(GTX102061) antibody at 1:100 dilution.
Antigen Retrieval: Trilogy™ (EDTA based, pH 8.0) buffer, 15min
风险提示:丁香通仅作为第三方平台,为商家信息发布提供平台空间。用户咨询产品时请注意保护个人信息及财产安全,合理判断,谨慎选购商品,商家和用户对交易行为负责。对于医疗器械类产品,请先查证核实企业经营资质和医疗器械产品注册证情况。
文献和实验Cheng YC et al., Mol Neurobiol 2012 (PMID:22592270)
Generation of Antibody Molecules Through Antibody Engineering
been overcome to a large extent using genetic-engineering techniques to produce chimeric mouse/human and completely human antibodies. Such an approach is particularly suitable because of the domain structure of the antibody molecule ( 2 ), where functional
Materials 0.1M NaHC03 pH9 DMSO NHS-Biotin (N-Hydroxysuccinimidobiotin, Sigma #H-1759) PBS Procedure Dialyze the sample against carbonate buffer. After dialysis, adjust
Purification, Quantification, and Functional Analysis of Complement Factor H
Complement Factor H (FH) is an abundant, non-enzymic plasma/serum glycoprotein, which has a major role in regulating activation of the complement system. It can be purified from human plasma/serum by affinity chromatography, using
技术资料暂无技术资料 索取技术资料








![Grp75 antibody [4A1]](https://img1.dxycdn.com/2022/0328/953/4995621818048500453-14.jpg!wh200)


