相关产品推荐更多 >
万千商家帮你免费找货
0 人在求购买到急需产品
- 详细信息
- 文献和实验
- 技术资料
- 免疫原:
Recombinant protein encompassing a sequence within the center region of human Aspartyl aminopeptidase. The exact sequence is proprietary.
- 亚型:
IgG
- 形态:
Liquid
- 保存条件:
Store as concentrated solution. Centrifuge briefly prior to opening vial. For short-term storage (1-2 weeks), store at 4ºC. For long-term storage, aliquot and store at -20ºC or below. Avoid multiple freeze-thaw cycles.
- 克隆性:
Polyclonal
- 标记物:
Unconjugated
- 适应物种:
Human
- 保质期:
12 months from the shipping date of the product.
- 抗原来源:
Human
- 目录编号:
GTX101993
- 级别:
Primary Antibodies
- 库存:
Available
- 供应商:
GeneTex
- 宿主:
Rabbit
- 应用范围:
WB, IHC-P
- 浓度:
0.54 mg/ml (Please refer to the vial label for the specific concentration.)
- 靶点:
Aspartyl aminopeptidase
- 抗体英文名:
Aspartyl aminopeptidase antibody [N1N3]
- 抗体名:
Aspartyl aminopeptidase 抗体 [N1N3]
- 规格:
100 μl/25 μl
| 规格: | 100 μl | 产品价格: | ¥4000.0 |
|---|---|---|---|
| 规格: | 25 μl | 产品价格: | ¥1700.0 |
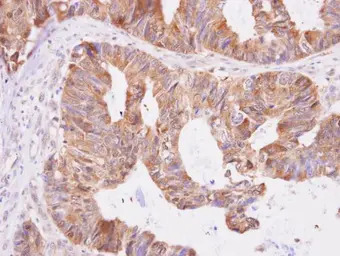
Aspartyl aminopeptidase antibody [N1N3] detects Aspartyl aminopeptidase protein at cytoplasm on human colon carcinoma by immunohistochemical analysis.
Sample: Paraffin-embedded colon carcinoma.
Aspartyl aminopeptidase antibody [N1N3] (GTX101993) dilutio
Antigen Retrieval: Trilogy™ (EDTA based, pH 8.0) buffer, 15min
Sample(30 μg of whole cell lysate)
A:H1299
7.5% SDS PAGE
GTX101993 diluted at 1:500
风险提示:丁香通仅作为第三方平台,为商家信息发布提供平台空间。用户咨询产品时请注意保护个人信息及财产安全,合理判断,谨慎选购商品,商家和用户对交易行为负责。对于医疗器械类产品,请先查证核实企业经营资质和医疗器械产品注册证情况。
文献和实验chemistry. The first is pyroglutamate aminopeptidase, a thiol exoprotease that cleaves N-terminal pyroglutamyl residues (pyrrolidone carboxylic acid) from peptides and proteins (6 –10 ). N-terminal glutamine residues can readily cyclize to the pyroglutamyl
一种蛋白酶。属于肽链端解酶,可使氨基酸从多肽链的 N-末端顺序逐个地游离出来。在许多生物中发现了各种性质的这种酶。具有代表性的是亮氨酸氨肽酶,特殊的有仅作用于 N末端为脯氨酸的脯氨酸亚氨肽酶以及只作用于三肽的氨基三肽酶等。
In the field of therapeutic recombinant proteins, monoclonal antibodies (mAbs) have achieved a rising success with more than 30 mAbs that have reached the market in the past 20 years. From a structural standpoint, one of the most important
技术资料暂无技术资料 索取技术资料








![Endothelin B Receptor antibody [C3], C-term](https://img1.dxycdn.com/2022/0328/122/4512998856617200453-14.jpg!wh200)


