相关产品推荐更多 >
万千商家帮你免费找货
0 人在求购买到急需产品
- 详细信息
- 文献和实验
- 技术资料
- 免疫原:
Recombinant protein encompassing a sequence within the N-terminus region of human Glucocorticoid Receptor. The exact sequence is proprietary.
- 亚型:
IgG
- 形态:
Liquid
- 保存条件:
Store as concentrated solution. Centrifuge briefly prior to opening vial. For short-term storage (1-2 weeks), store at 4ºC. For long-term storage, aliquot and store at -20ºC or below. Avoid multiple freeze-thaw cycles.
- 克隆性:
Polyclonal
- 标记物:
Unconjugated
- 适应物种:
Human, Mouse, Rat
- 保质期:
12 months from the shipping date of the product.
- 抗原来源:
Human
- 目录编号:
GTX101120
- 级别:
Primary Antibodies
- 库存:
Available
- 供应商:
GeneTex
- 宿主:
Rabbit
- 应用范围:
WB, ICC/IF, IHC-P, IP
- 浓度:
1 mg/ml (Please refer to the vial label for the specific concentration.)
- 靶点:
Glucocorticoid Receptor
- 抗体英文名:
Glucocorticoid Receptor antibody
- 抗体名:
Glucocorticoid Receptor 抗体
- 规格:
100 μl/25 μl
| 规格: | 100 μl | 产品价格: | ¥4000.0 |
|---|---|---|---|
| 规格: | 25 μl | 产品价格: | ¥1700.0 |
Wild-type (WT) and Glucocorticoid receptor knockout (KO) HeLa cell extracts (30 μg) were separated by 7.5% SDS-PAGE, and the membrane was blotted with Glucocorticoid receptor antibody (GTX101120) diluted at 1:500. The HRP-conjugated anti-rabbit IgG antibody (GTX213110-01) was used to detect the primary antibody.
Glucocorticoid receptor antibody immunoprecipitates Glucocorticoid receptor protein in IP experiments. IP Sample: 1000 μg HeLa whole cell lysate/extract A. 40 μg HeLa whole cell lysate/extract B. Control with 2.5 μg of preimmune rabbit IgG C. Immunoprecipitation of Glucocorticoid receptor protein by 2.5 μg of Glucocorticoid receptor antibody (GTX101120) 7.5% SDS-PAGE The immunoprecipitated Glucocorticoid receptor protein was detected by SCMH1 antibody (GTX101120) diluted at 1:1000. EasyBlot anti-rabbit IgG (GTX221666-01) was used as a secondary reagent.
Glucocorticoid receptor antibody detects Glucocorticoid receptor protein by western blot analysis. Rat tissue extracts (50 μg) was separated by 7.5% SDS-PAGE, and the membrane was blotted with Glucocorticoid receptor antibody (GTX101120) diluted at 1:1000.
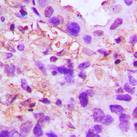
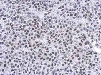
Immunohistochemical analysis of paraffin-embedded Hela xenograft, using Glucocorticoid receptor(GTX101120) antibody at 1:500 dilution.
Antigen Retrieval: Trilogy™ (EDTA based, pH 8.0) buffer, 15min
Sample (30 ug of whole cell lysate)
A: A431 (GTX27909)
7.5% SDS PAGE
GTX101120 diluted at 1:1000
Glucocorticoid receptor antibody detects Glucocorticoid receptor protein by western blot analysis. Mouse tissue extracts (50 μg) was separated by 7.5% SDS-PAGE, and the membrane was blotted with Glucocorticoid receptor antibody (GTX101120) diluted at 1:1000.
风险提示:丁香通仅作为第三方平台,为商家信息发布提供平台空间。用户咨询产品时请注意保护个人信息及财产安全,合理判断,谨慎选购商品,商家和用户对交易行为负责。对于医疗器械类产品,请先查证核实企业经营资质和医疗器械产品注册证情况。
文献和实验Sueyasu T et al., Eur Rev Med Pharmacol Sci 2020 (PMID:32141581)
Matsuzaki K et al., Int J Mol Sci 2020 (PMID:32012687)
Obradovi? MMS et al., Nature 2019 (PMID:30867597)
Kim SR et al., Antiviral Res 2018 (PMID:29407486)
Wu YL et al., Free Radic Biol Med 2018 (PMID:29247688)
Bolt MJ et al., Oncogene 2015 (PMID:24441042)
Choi EJ et al., Oncogene 2017 (PMID:28504720)
Yin Y et al., Neurobiol Dis 2013 (PMID:23906498)
Bolt MJ et al., Nucleic Acids Res 2013 (PMID:23444138)
Butz H et al., Cells 2023 (PMID:36899920)
Hsiu-Hui Yang et al., Front Physiol 2022 (PMID:35685285)
Shanyong Yi et al., Anal Cell Pathol (Amst) 2021 (PMID:33628710)
Ho CH et al., Front Physiol 2021 (PMID:34925053)
技术资料暂无技术资料 索取技术资料





![Her3 / ErbB3 antibody [RTJ2]](https://img1.dxycdn.com/2022/0328/257/0685811100738300453-14.jpg!wh200)

![Cav1.1 antibody [1A]](https://img1.dxycdn.com/2022/0328/736/3490010854619300453-14.jpg!wh200)
![Ku80 antibody [9403]](https://img1.dxycdn.com/2022/0328/408/3371091915073500453-14.jpg!wh200)

