相关产品推荐更多 >
万千商家帮你免费找货
0 人在求购买到急需产品
- 详细信息
- 文献和实验
- 技术资料
- 免疫原:
Recombinant protein encompassing a sequence within the N-terminus region of human POR. The exact sequence is proprietary.
- 亚型:
IgG
- 形态:
Liquid
- 保存条件:
Store as concentrated solution. Centrifuge briefly prior to opening vial. For short-term storage (1-2 weeks), store at 4ºC. For long-term storage, aliquot and store at -20ºC or below. Avoid multiple freeze-thaw cycles.
- 克隆性:
Polyclonal
- 标记物:
Unconjugated
- 适应物种:
Human, Mouse
- 保质期:
12 months from the shipping date of the product.
- 抗原来源:
Human
- 目录编号:
GTX101099
- 级别:
Primary Antibodies
- 库存:
Available
- 供应商:
GeneTex
- 宿主:
Rabbit
- 应用范围:
WB, ICC/IF, IHC-P
- 浓度:
0.45 mg/ml (Please refer to the vial label for the specific concentration.)
- 靶点:
POR
- 抗体英文名:
POR antibody [N1N3]
- 抗体名:
POR 抗体 [N1N3]
- 规格:
100 μl/25 μl
| 规格: | 100 μl | 产品价格: | ¥4000.0 |
|---|---|---|---|
| 规格: | 25 μl | 产品价格: | ¥1700.0 |
Wild-type (WT) and POR knockout (KO) HeLa cell extracts (30 μg) were separated by 7.5% SDS-PAGE, and the membrane was blotted with POR antibody [N1N3] (GTX101099) diluted at 1:500. The HRP-conjugated anti-rabbit IgG antibody (GTX213110-01) was used to detect the primary antibody.
POR antibody detects POR protein by western blot analysis.
A. 50 μg mouse lung lysate/extract
7.5% SDS-PAGE
POR antibody (GTX101099) dilution: 1:500
The HRP-conjugated anti-rabbit IgG antibody (GTX213110-01) was used to detect the primary antibody.
Immunofluorescence analysis of methanol-fixed HeLa, using Cytochrome P450 Reductase(GTX101099) antibody at 1:200 dilution.
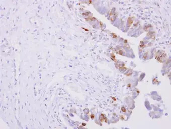
POR antibody detects POR protein at cytoplasm on human ovarian carcinoma by immunohistochemical analysis.
Sample: Paraffin-embedded ovarian carcinoma.
POR antibody (GTX101099) dilution: 1:500.
Antigen Retrieval: Trilogy™ (EDTA based, pH 8.0) buffer, 15min
风险提示:丁香通仅作为第三方平台,为商家信息发布提供平台空间。用户咨询产品时请注意保护个人信息及财产安全,合理判断,谨慎选购商品,商家和用户对交易行为负责。对于医疗器械类产品,请先查证核实企业经营资质和医疗器械产品注册证情况。
文献和实验Campelo D et al., Int J Mol Sci 2018 (PMID:30563285)
技术资料暂无技术资料 索取技术资料


![POR antibody [N1N3]](https://img1.dxycdn.com/2022/0328/109/5042300860673200453-14.jpg)




![TNF alpha antibody [SPM543]](https://img1.dxycdn.com/2022/0328/807/5586228244521700453-14.jpg!wh200)
![Histone H3.3 antibody [RM190]](https://img1.dxycdn.com/2022/0328/854/6816328909253500453-14.jpg!wh200)

