相关产品推荐更多 >
万千商家帮你免费找货
0 人在求购买到急需产品
- 详细信息
- 文献和实验
- 技术资料
- 免疫原:
Recombinant protein encompassing a sequence within the center region of human Von Hippel Lindau. The exact sequence is proprietary.
- 亚型:
IgG
- 形态:
Liquid
- 保存条件:
Store as concentrated solution. Centrifuge briefly prior to opening vial. For short-term storage (1-2 weeks), store at 4ºC. For long-term storage, aliquot and store at -20ºC or below. Avoid multiple freeze-thaw cycles.
- 克隆性:
Polyclonal
- 标记物:
Unconjugated
- 适应物种:
Human, Mouse, Rat
- 保质期:
12 months from the shipping date of the product.
- 抗原来源:
Human
- 目录编号:
GTX101087
- 级别:
Primary Antibodies
- 库存:
Available
- 供应商:
GeneTex
- 宿主:
Rabbit
- 应用范围:
WB, ICC/IF, IHC-P, IP
- 浓度:
1.27 mg/ml (Please refer to the vial label for the specific concentration.)
- 靶点:
Von Hippel Lindau
- 抗体英文名:
Von Hippel Lindau antibody
- 抗体名:
Von Hippel Lindau 抗体
- 规格:
100 μl/25 μl
| 规格: | 100 μl | 产品价格: | ¥4000.0 |
|---|---|---|---|
| 规格: | 25 μl | 产品价格: | ¥1700.0 |
Various whole cell extracts (30 μg) were separated by 12% SDS-PAGE, and the membrane was blotted with Von Hippel Lindau antibody (GTX101087) diluted at 1:500. The HRP-conjugated anti-rabbit IgG antibody (GTX213110-01) was used to detect the primary antibody.
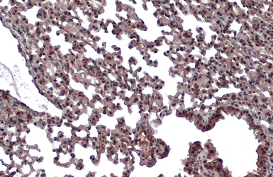
Von Hippel Lindau antibody detects Von Hippel Lindau protein at nucleus by immunohistochemical analysis.
Sample: Paraffin-embedded mouse lung.
Von Hippel Lindau stained by Von Hippel Lindau antibody (GTX101087) diluted at 1:500.
Antigen Retrieval: Citrate buffer, pH 6.0, 15 min
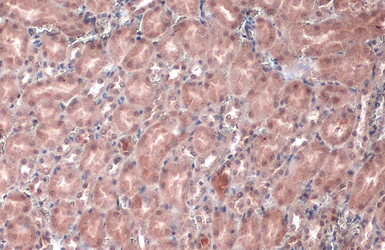
Von Hippel Lindau antibody detects Von Hippel Lindau protein at cytoplasm by immunohistochemical analysis.
Sample: Paraffin-embedded mouse kidney.
Von Hippel Lindau stained by Von Hippel Lindau antibody (GTX101087) diluted at 1:500.
Antigen Retrieval: Citrate buffer, pH 6.0, 15 min
Von Hippel Lindau antibody detects Von Hippel Lindau protein at cytoplasm and nucleus by immunofluorescent analysis.
Sample: HeLa cells were fixed in 4% PFA at RT for 15 min.
Green: Von Hippel Lindau stained by Von Hippel Lindau antibody (GTX101087) diluted at 1:500.
Red: alpha Tubulin, a cytoskeleton marker, stained by alpha Tubulin antibody [GT114] (GTX628802) diluted at 1:1000.
Blue: Fluoroshield with DAPI (GTX30920).
Scale bar= 10μm.
Non-transfected (–) and transfected (+) 293T whole cell extracts (30 μg) were separated by 12% SDS-PAGE, and the membrane was blotted with Von Hippel Lindau antibody (GTX101087) diluted at 1:5000. The HRP-conjugated anti-rabbit IgG antibody (GTX213110-01) was used to detect the primary antibody.
Von Hippel Lindau antibody detects Von Hippel Lindau protein at cytoplasm by immunohistochemical analysis.
Sample: Paraffin-embedded rat intestine.
Von Hippel Lindau stained by Von Hippel Lindau antibody (GTX101087) diluted at 1:500.
Antigen Retrieval: Citrate buffer, pH 6.0, 15 min
风险提示:丁香通仅作为第三方平台,为商家信息发布提供平台空间。用户咨询产品时请注意保护个人信息及财产安全,合理判断,谨慎选购商品,商家和用户对交易行为负责。对于医疗器械类产品,请先查证核实企业经营资质和医疗器械产品注册证情况。
文献和实验Li CH et al., Arch Toxicol 2014 (PMID:24292262)
Lin CH et al., Br J Pharmacol 2013 (PMID:23004355)
Li G et al., Exp Mol Med 2022 (PMID:35859119)
Tianli Chen et al., Mol Ther 2021 (PMID:33601056)
Shih HJ et al., Sci Rep 2021 (PMID:34824343)
Li G et al., Nat Commun 2021 (PMID:34099651)
Xu S et al., Cell Death Dis 2019 (PMID:30804329)
Lee SB et al., Nature 2016 (PMID:26735018)
Yao P et al., PLoS Biol 2013 (PMID:23976881)
Dukel M et al., J Biol Chem 2016 (PMID:27535224)
Molecular Analysis of the von Hippel-Lindau Disease Gene
Von Hippel-Lindau (VHL) disease is an autosomal dominant disorder that predisposes the affected individual to develop characteristic tumors. These include CNS hemangioblastoma, retinal angiomas, endolymphatic sac tumors, pancreatic cysts
Polymerase Chain Reaction Detection of DNA Sequence Deletions
to disable tumor suppression (1 ). As might be expected, the effect of “two hits” on tumor-suppressor gene integrity—e.g., deletion of one allele and mutation of the remaining allele—would disable the gene from encoding gene product. The von Hippel-Lindau
Transcriptional Regulation of Genes via Hypoxia-Inducible Factor
Hypoxia-inducible factor (HIF) is the principal transcription factor that regulates adaptive physiologic responses to compromised oxygen tension. von Hippel–Lindau (VHL) tumor-suppressor protein binds and ubiquitylates the catalytic α subunit
技术资料暂无技术资料 索取技术资料






![sarcomeric alpha Actinin antibody [EA-53]](https://img1.dxycdn.com/2022/0328/186/4140760210140400453-14.jpg!wh200)




