相关产品推荐更多 >
万千商家帮你免费找货
0 人在求购买到急需产品
- 详细信息
- 文献和实验
- 技术资料
- 免疫原:
Recombinant protein encompassing a sequence within the center region of human Pyruvate Kinase (liver/RBC). The exact sequence is proprietary.
- 亚型:
IgG
- 形态:
Liquid
- 保存条件:
Store as concentrated solution. Centrifuge briefly prior to opening vial. For short-term storage (1-2 weeks), store at 4ºC. For long-term storage, aliquot and store at -20ºC or below. Avoid multiple freeze-thaw cycles.
- 克隆性:
Polyclonal
- 标记物:
Unconjugated
- 适应物种:
Human, Rat
- 保质期:
12 months from the shipping date of the product.
- 抗原来源:
Human
- 目录编号:
GTX101033
- 级别:
Primary Antibodies
- 库存:
Available
- 供应商:
GeneTex
- 宿主:
Rabbit
- 应用范围:
WB, IHC-P
- 浓度:
1.01 mg/ml (Please refer to the vial label for the specific concentration.)
- 靶点:
This antibody is raised against the R-Type isoform. Based on a BLAST result, it may also react with the L-Type isoform.
- 抗体英文名:
Pyruvate Kinase (liver/RBC) antibody
- 抗体名:
Pyruvate Kinase (liver/RBC) 抗体
- 规格:
100 μl/25 μl
| 规格: | 100 μl | 产品价格: | ¥4000.0 |
|---|---|---|---|
| 规格: | 25 μl | 产品价格: | ¥1700.0 |
Pyruvate Kinase (liver/RBC) antibody detects Pyruvate Kinase (liver/RBC) protein by Western blot analysis.
A. 20 ug Rat liver lysate/extract
7.5% SDS-PAGE
Pyruvate Kinase (liver/RBC) antibody (GTX101033) dilution: 1:10000
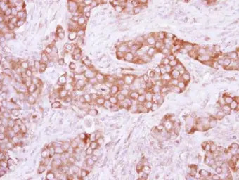
Immunohistochemical analysis of paraffin-embedded human breast cancer, using Pyruvate Kinase (liver/RBC)(GTX101033) antibody at 1:250 dilution.
Antigen Retrieval: Trilogy™ (EDTA based, pH 8.0) buffer, 15min
Non-transfected (–) and transfected (+) 293T whole cell extracts (30 μg) were separated by 7.5% SDS-PAGE, and the membrane was blotted with Pyruvate Kinase (liver/RBC) antibody (GTX101033) diluted at 1:1000. The HRP-conjugated anti-rabbit IgG antibody (GTX213110-01) was used to detect the primary antibody.
Sample (30 ug of whole cell lysate)
A: Jurkat
B: Raji
C: K562
7.5% SDS PAGE
GTX101033 diluted at 1:1000
风险提示:丁香通仅作为第三方平台,为商家信息发布提供平台空间。用户咨询产品时请注意保护个人信息及财产安全,合理判断,谨慎选购商品,商家和用户对交易行为负责。对于医疗器械类产品,请先查证核实企业经营资质和医疗器械产品注册证情况。
文献和实验缩写式为 ATP:丙酮酸 -2-O-磷酸转移酶。在糖酵解系统里,它是催化形成第二个 ATP反应的酶。 EC2. 7. 1. 40。能以磷酸烯醇( phosphoenolpyruv- ate)丙酮酸和 ADP生成丙酮酸和 ATP·Δ Go1 = -7. 5kcal。除需要二价金属离子外( Mg2 + 和 Mn2 + )外,还需要一价金属离子( K+ . Rb+ , Cs+ ),在生理上起作用的大概是 K+ 。分子量约 25万。
Antibody Techniques Used in the Study of Anaplastic Lymphoma Kinase-Positive ALCL
of leukemia and lymphoma pathology. The use of antibodies specific for anaplastic lymphoma kinase (ALK) protein has permitted the identification of the tumor entity ALK-positive from the poorly defined morphological category of anaplastic large cell lymphoma
Serum Creatine Kinase in Progressive Muscular Dystrophies
Several enzymes originating in muscle show increased activity in the serum of patients affected with different forms of muscular dystrophy (MD). These enzymes include creatine kinase (CK), aldolase, transaminase, and pyruvate kinase (PK
技术资料暂无技术资料 索取技术资料






![GOT1 antibody [AT3G11]](https://img1.dxycdn.com/2022/0328/719/1402194566750800453-14.jpg!wh200)




