相关产品推荐更多 >
万千商家帮你免费找货
0 人在求购买到急需产品
- 详细信息
- 文献和实验
- 技术资料
- 免疫原:
Recombinant protein encompassing a sequence within the center region of human PRX II. The exact sequence is proprietary.
- 亚型:
IgG
- 形态:
Liquid
- 保存条件:
Store as concentrated solution. Centrifuge briefly prior to opening vial. For short-term storage (1-2 weeks), store at 4ºC. For long-term storage, aliquot and store at -20ºC or below. Avoid multiple freeze-thaw cycles.
- 克隆性:
Polyclonal
- 标记物:
Unconjugated
- 适应物种:
Human, Rat
- 保质期:
12 months from the shipping date of the product.
- 抗原来源:
Human
- 目录编号:
GTX100747
- 级别:
Primary Antibodies
- 库存:
Available
- 供应商:
GeneTex
- 宿主:
Rabbit
- 应用范围:
WB, IHC-P, IHC-Fr, IP
- 浓度:
0.44 mg/ml (Please refer to the vial label for the specific concentration.)
- 靶点:
PRX II
- 抗体英文名:
PRX II antibody
- 抗体名:
PRX II 抗体
- 规格:
100 μl/25 μl
| 规格: | 100 μl | 产品价格: | ¥4000.0 |
|---|---|---|---|
| 规格: | 25 μl | 产品价格: | ¥1700.0 |
Various whole cell extracts (30 μg) were separated by 15% SDS-PAGE, and the membrane was blotted with PRX II antibody (GTX100747) diluted at 1:5000. The HRP-conjugated anti-rabbit IgG antibody (GTX213110-01) was used to detect the primary antibody.
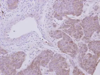
Immunohistochemical analysis of paraffin-embedded human breast cancer, using Peroxiredoxin 2(GTX100747) antibody at 1:500 dilution.
Antigen Retrieval: Trilogy™ (EDTA based, pH 8.0) buffer, 15min
Peroxiredoxin 2 antibody detects Peroxiredoxin 2 protein at cytoplasm in rat liver by immunohistochemical analysis.
Sample: Frozen section of rat liver.
Peroxiredoxin 2 antibody (GTX100747) diluted at 1:200.
风险提示:丁香通仅作为第三方平台,为商家信息发布提供平台空间。用户咨询产品时请注意保护个人信息及财产安全,合理判断,谨慎选购商品,商家和用户对交易行为负责。对于医疗器械类产品,请先查证核实企业经营资质和医疗器械产品注册证情况。
文献和实验Lin ST et al., J Proteomics 2012 (PMID:22889595)
Huang HJ et al., Mol Biosyst 2014 (PMID:25259860)
Chilla A et al., Mol Cell Proteomics 2013 (PMID:23572564)
Protein A Purification of Antibody
1. Reagents(1) Affi-gel Protein-A Agarose (BioRad #153-6153)(2) MAPS II Binding Buffer (BioRad # 153-6161)(3) 0.314 g/ml diH2O(4) MAPS II Elution Buffer (BioRad #153-6162)(5) 0.023 g/ml diH2O(6) MAPS II Regeneration Buffer (BioRad #153-6166(7) 1M
Identification of MHC Class II Binding Peptides: Microarray and Soluble MHC Class II Molecules
antibody (mAb). Positive events (MHC class II/peptide complexes) are normalized and available for pattern analysis.
上海西唐生物科技有限公司 021-55229872, 65333639 www.westang.com 大鼠 MHC II(MHC II)ELISA 试剂盒 ( 用于血清、血浆、细胞培养上清液和其它生物体液内 ) 原理 本实验采用双抗体夹心 ABC-ELISA 法。用抗大鼠 MHC II 单抗包被于酶标板上,标准品和样品中的 MHC II 与单抗结合,加入生物素化的抗大鼠 MHC II ,形成免疫复合
技术资料暂无技术资料 索取技术资料







![Cortactin antibody [4C6]](https://img1.dxycdn.com/2022/0328/400/0118272936392500453-14.jpg!wh200)



