相关产品推荐更多 >
万千商家帮你免费找货
0 人在求购买到急需产品
- 详细信息
- 文献和实验
- 技术资料
- 免疫原:
Carrier-protein conjugated synthetic peptide encompassing a sequence within the C-terminus region of human alpha 2c Adrenergic Receptor. The exact sequence is proprietary.
- 亚型:
IgG
- 形态:
Liquid
- 保存条件:
Store as concentrated solution. Centrifuge briefly prior to opening vial. For short-term storage (1-2 weeks), store at 4ºC. For long-term storage, aliquot and store at -20ºC or below. Avoid multiple freeze-thaw cycles.
- 克隆性:
Polyclonal
- 标记物:
Unconjugated
- 适应物种:
Human
- 保质期:
12 months from the shipping date of the product.
- 抗原来源:
Human
- 目录编号:
GTX100334
- 级别:
Primary Antibodies
- 库存:
Available
- 供应商:
GeneTex
- 宿主:
Rabbit
- 应用范围:
WB, IHC-P
- 浓度:
0.62 mg/ml (Please refer to the vial label for the specific concentration.)
- 靶点:
alpha 2c Adrenergic Receptor
- 抗体英文名:
alpha 2c Adrenergic Receptor antibody [C2C3], C-term
- 抗体名:
alpha 2c Adrenergic Receptor 抗体 [C2C3], C-term
- 规格:
100 μl/25 μl
| 规格: | 100 μl | 产品价格: | ¥4000.0 |
|---|---|---|---|
| 规格: | 25 μl | 产品价格: | ¥1700.0 |
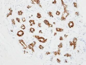
Immunohistochemical analysis of paraffin-embedded ES2 xenograft, using alpha 2c Adrenergic Receptor(GTX100334) antibody at 1:100 dilution.
Antigen Retrieval: Trilogy™ (EDTA based, pH 8.0) buffer, 15min
Sample (30 ug of whole cell lysate)
A: Hela
10% SDS PAGE
Alpha-2C adrenergic receptor antibody
GTX100334 diluted at 1:1000
风险提示:丁香通仅作为第三方平台,为商家信息发布提供平台空间。用户咨询产品时请注意保护个人信息及财产安全,合理判断,谨慎选购商品,商家和用户对交易行为负责。对于医疗器械类产品,请先查证核实企业经营资质和医疗器械产品注册证情况。
文献和实验adrenergic receptor/Arg389Gly MDR1/C3435T il-2 il-4 il-10 TNF alpha IFN gamma hOGG1 bcr\abl human serum albumin VEGF165 GalNacT agouti-related protein, AGRP PAI-1 MDR1 MRP1 OPN U6 Promoter GFP MDR1 exon7~11 MDR1 exon12/14/18/20/22
Characterization of Adrenoceptors
Literature Cited Brede, M., Philipp, M., Knaus, A., Muthig, V., and Hein, L. 2004. Alpha‐2 adrenergic receptor subtypes
PriCells: Introduction of Isolation and Culture of Human Alveolar Epithelial Cells
;2-adrenergic receptor, insulin-like growth factor receptor-2 (IGFR-2), γ-glutamyl transferase (γ-GT), AQP-4, and VAMP-2, a membrane protein associated with caveolae. Whether or not these molecules are expressed in ATI cells exclusively
技术资料暂无技术资料 索取技术资料







![HIF2 alpha antibody [ep190b]](https://img1.dxycdn.com/2022/0328/643/7880323422370400453-14.jpg!wh200)
![NCR3 antibody [AT38D9]](https://img1.dxycdn.com/2022/0328/437/9740582768150800453-14.jpg!wh200)


