相关产品推荐更多 >
万千商家帮你免费找货
0 人在求购买到急需产品
- 详细信息
- 文献和实验
- 技术资料
- 免疫原:
Carrier-protein conjugated synthetic peptide encompassing a sequence within the N-terminus region of human Androgen Receptor. The exact sequence is proprietary.
- 亚型:
IgG
- 形态:
Liquid
- 保存条件:
Store as concentrated solution. Centrifuge briefly prior to opening vial. For short-term storage (1-2 weeks), store at 4ºC. For long-term storage, aliquot and store at -20ºC or below. Avoid multiple freeze-thaw cycles.
- 克隆性:
Polyclonal
- 标记物:
Unconjugated
- 适应物种:
Human, Mouse
- 保质期:
12 months from the shipping date of the product.
- 抗原来源:
Human
- 目录编号:
GTX100056
- 级别:
Primary Antibodies
- 库存:
Available
- 供应商:
GeneTex
- 宿主:
Rabbit
- 应用范围:
WB, ICC/IF, IHC-P
- 浓度:
0.47 mg/ml (Please refer to the vial label for the specific concentration.)
- 靶点:
Androgen Receptor
- 抗体英文名:
Androgen Receptor antibody [N1], N-term
- 抗体名:
Androgen Receptor 抗体 [N1], N-term
- 规格:
100 μl/25 μl
| 规格: | 100 μl | 产品价格: | ¥4000.0 |
|---|---|---|---|
| 规格: | 25 μl | 产品价格: | ¥1700.0 |
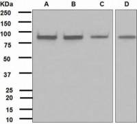
Various whole cell extracts (30 μg) were separated by 5% SDS-PAGE, and the membrane was blotted with Androgen Receptor antibody [N1], N-term (GTX100056) diluted at 1:500. The HRP-conjugated anti-rabbit IgG antibody (GTX213110-01) was used to detect the primary antibody.
Androgen Receptor antibody [N1], N-term detects Androgen Receptor protein at nucleus by immunofluorescent analysis.
Sample: LNCap cells were fixed in 4% PFA at RT for 15 min.
Green: Androgen Receptor stained by Androgen Receptor antibody [N1], N-term (GTX100056) diluted at 1:2000.
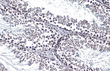
Androgen Receptor antibody [N1], N-term detects Androgen Receptor protein at cytoplasm and nucleus by immunohistochemical analysis.
Sample: Paraffin-embedded mouse testis.
Androgen Receptor stained by Androgen Receptor antibody [N1], N-term (GTX100056) diluted at 1:500.
Antigen Retrieval: Citrate buffer, pH 6.0, 15 min
Androgen Receptor antibody [N1], N-term detects Androgen Receptor protein at nucleus on mouse prostate by immunohistochemical analysis.
Sample: Paraffin-embedded mouse prostate.
Androgen Receptor antibody [N1], N-term (GTX100056) dilution: 1:500.
Antigen Retrieval: Trilogy™ (EDTA based, pH 8.0) buffer, 15min
风险提示:丁香通仅作为第三方平台,为商家信息发布提供平台空间。用户咨询产品时请注意保护个人信息及财产安全,合理判断,谨慎选购商品,商家和用户对交易行为负责。对于医疗器械类产品,请先查证核实企业经营资质和医疗器械产品注册证情况。
文献和实验Assoun EN et al., Oncotarget 2020 (PMID:32256979)
Yin et al., Biomedical Research 2017 (Epub)
Soave C et al., Biochem J 2022 (PMID:35781489)
Analysis of Androgen Receptor SUMOylation
Androgen receptor (AR) is a ligand-controlled transcription factor that is deregulated and therefore targeted in prostate cancer. In addition to androgens, AR is regulated by post-translational modifications (PTMs). SUMOylation, conjugation
Analysis of Interdomain Interactions of the Androgen Receptor
High-affinity binding of testosterone or dihydrotestosterone to the androgen receptor (AR) triggers the androgen-dependent AR NH2 - and carboxyl-terminal (N/C) interaction between the AR NH2 -terminal FXX LF motif and the activation function
The Androgen Receptor CAG Repeat and Prostate Cancer Risk
The androgen receptor (AR) gene comprises eight exons located at chromosome Xq11-12 and encodes an mRNA transcript of approx 11 kb (1 –5 ). Situated within exon 1 of the AR gene is a polymorphic CAG trinucleotide repeat, which encodes
技术资料暂无技术资料 索取技术资料






![p21 Cip1 antibody [WA-1]](https://img1.dxycdn.com/2022/0328/840/9792364421770700453-14.jpg!wh200)




