相关产品推荐更多 >
万千商家帮你免费找货
0 人在求购买到急需产品
- 详细信息
- 文献和实验
- 技术资料
- 库存:
42
- 供应商:
晶抗生物工程有限公司
- 肿瘤类型:
详见说明书
- 细胞类型:
复苏或冻存
- 品系:
细胞系
- 组织来源:
详见说明书
- 相关疾病:
详见说明书
- 物种来源:
人、大鼠、小鼠
- 免疫类型:
详见说明书
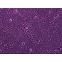
- 细胞形态:
多角形;上皮样
- 是否是肿瘤细胞:
详见说明书
- 器官来源:
详见说明书
- 运输方式:
干冰运输或活细胞运输
- 年限:
详见说明书
- 生长状态:
良好
- 规格:
详见说明书
RSC96大鼠雪旺细胞常见问题及解决方案:
1)对于生长缓慢的贴壁细胞:可采用适当的提高培养基中血清浓度,或隔日换液的方法来保证细胞的状态和生长速度。
2)对于生长不均的贴壁细胞:在培养过程中若出现细胞分布明显不均时(即某一区域细胞已重叠生长,而旁边则为一块空白),此时可将细胞进行消化,重新打散,贴壁,加入新培养基进行培养。
3)细胞漂浮:培养瓶不开封,瓶口酒精擦拭后平躺放置在培养箱。
次日观察RSC96大鼠雪旺细胞,如细胞大部分又贴回瓶底,表明细胞活力正常,剩余漂浮的细胞可以离心去掉,留10ml培养液培养观察,细胞生长至汇合度80%,进行消化传代;如细胞还是不贴壁,将细胞离心收集转到新培养瓶,原培养瓶加部分培养液继续培养,中间注意观察,我们的技术人员会一直跟踪指导,直到问题解决。
我司RSC96大鼠雪旺细胞信息齐全,产品数量众多,可满足客户大量需要。的货真价实。开团价,吸引许多老客户二次、三次购买以及对我们产品的肯定。我司保证细胞纯度在90%以上,质量有保障,欢迎选购!
风险提示:丁香通仅作为第三方平台,为商家信息发布提供平台空间。用户咨询产品时请注意保护个人信息及财产安全,合理判断,谨慎选购商品,商家和用户对交易行为负责。对于医疗器械类产品,请先查证核实企业经营资质和医疗器械产品注册证情况。
文献和实验也能改善中枢神经再生的微环境,因而近年来对雪旺细胞的研究,尤其是体外培养研究已成热点。 1. 材料和方法 雪旺细胞培养取材于各类哺乳动物的外周神经和背根神经节,取孵化8-12 d鸡胚、出生1-3 d 的小鼠或大鼠和人工流产的人胎儿,在无菌条件下用解剖镊分离出神经节,剥除神经节被膜, 用0.125%胰蛋白酶消化(37 ℃ 30min)后用培养液( 90% DMEM,10 % 胎牛血清,2 mM谷氨酰胺)吹打分散成细胞悬液,先接种于玻璃培养瓶中,于培养箱中孵育30 min后,翻转瓶子吸出细胞
节以及对隔-海马通路再生等。说明雪旺细胞也能改善中枢神经再生的微环境,因而近年来对雪旺细胞的研究,尤其是体外培养研究已成热点。 1、材料和方法 雪旺细胞培养取材于各类哺乳动物的外周神经和背根神经节,取孵化8-12d鸡胚、出生1-3d 的小鼠或大鼠和人工流产的人胎儿,在无菌条件下用解剖镊分离出神经节,剥除神经节被膜, 用0.125%胰蛋白酶消化(37℃ 30min)后用培养液( 90% DMEM,10 % 胎牛血清,2mM谷氨酰胺)吹打分散成细胞悬液,先接种于玻璃培养瓶中,于培养箱中孵育30 min
胶质细胞( astrocyte )、大胶质细胞( macroglia ) 纤维性星形胶质细胞、原浆性星形胶质细胞、少突胶质细胞( oligodendrocyte )、小胶质细胞( microglia )、管周膜细胞( ependymal cell )、脉络丛上皮细胞; Bergman 胶质细胞、米勒细胞、垂体细胞和伸展细胞等。 周围:神经膜细胞( Schwann cell ,雪旺细胞)、卫星细胞( satellite cell
技术资料暂无技术资料 索取技术资料










