相关产品推荐更多 >
万千商家帮你免费找货
0 人在求购买到急需产品
- 详细信息
- 询价记录
- 文献和实验
- 技术资料
- 免疫原:
Recombinant protein encompassing a sequence within the center region of human TET1. The exact sequence is proprietary.
- 亚型:
IgG2b
- 形态:
Liquid
- 保存条件:
Store as concentrated solution. Centrifuge briefly prior to opening vial. For short-term storage (1-2 weeks), store at 4ºC. For long-term storage, aliquot and store at -20ºC or below. Avoid multiple freeze-thaw cycles.
- 克隆性:
Monoclonal
- 标记物:
Unconjugated
- 适应物种:
Human, Mouse
- 保质期:
12 months from the shipping date of the product.
- 抗原来源:
Human
- 目录编号:
GTX627420
- 级别:
Primary Antibodies
- 库存:
Available
- 供应商:
GeneTex
- 宿主:
Mouse
- 应用范围:
WB, ICC/IF, IHC-P
- 浓度:
1 mg/ml (Please refer to the vial label for the specific concentration.)
- 靶点:
TET1
- 抗体英文名:
TET1 antibody [GT1462]
- 抗体名:
TET1 抗体 [GT1462]
- 规格:
100 μl
TET1 antibody [GT1462] detects TET1 protein by western blot analysis.
A. 50 μg whole cell lysate/extract from 293T cells transfected with scramble siRNA
B. 50 μg whole cell lysate/extract from TET1-knockdowned 293T cells
6% SDS-PAGE
TET1 antibody [GT1462] (GTX627420) dilution: 1:500
The HRP-conjugated anti-mouse IgG antibody (GTX213111-01) was used to detect the primary antibody.
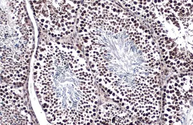
TET1 antibody [GT1462] detects TET1 protein at nucleus by immunohistochemical analysis.
Sample: Paraffin-embedded mouse testis.
TET1 stained by TET1 antibody [GT1462] (GTX627420) diluted at 1:500.
Antigen Retrieval: Citrate buffer, pH 6.0, 15 min
TET1 antibody [GT1462] detects TET1 protein at nucleus on HeLa xenograft by immunohistochemical analysis.
Sample: Paraffin-embedded HeLa xenograft.
TET1 antibody [GT1462] (GTX627420) dilution: 1:100.
Antigen Retrieval: Trilogy™ (EDTA based, pH 8.0) buffer, 15min
TET1 antibody [GT1462] detects TET1 protein at nucleus by immunofluorescent analysis. Sample: TET1-transfected (right) or untransfected (left) 293T cells were fixed in 4% PFA for 15 min. Green: TET1 protein stained by TET1 antibody (GTX627420) diluted at 1:1000. Blue: Hoechst 33342 staining. Scale bar = 10 μm.
TET1 antibody detects TET1 protein by Western blot analysis.
A. 30 μg 293T whole cell lysate/extract
B. 30 μg whole cell lysate/extract of DDDDK-human TET1-transfected 293T cells
5 % SDS-PAGE
TET1 antibody (GTX627420) dilution: 1:500
NT2D1 whole cell and nuclear extracts (30 μg) were separated by 5% SDS-PAGE, and the membrane was blotted with TET1 antibody [GT1462] (GTX627420) diluted at 1:500.
风险提示:丁香通仅作为第三方平台,为商家信息发布提供平台空间。用户咨询产品时请注意保护个人信息及财产安全,合理判断,谨慎选购商品,商家和用户对交易行为负责。对于医疗器械类产品,请先查证核实企业经营资质和医疗器械产品注册证情况。
- 作者
- 内容
- 询问日期
文献和实验Feng Wan et al., Am J Transl Res 2021 (PMID:33841652)
Lan Y et al., Cell Rep 2021 (PMID:34879277)
Chen W et al., Cell Rep 2021 (PMID:34731622)
Williamson SM et al., J Insect Physiol 2021 (PMID:34411584)
Kim H et al., Genome Biol 2021 (PMID:33926529)
Peng C et al., J Cell Physiol 2020 (PMID:32617965)
Skrajna A et al., Nucleic Acids Res 2020 (PMID:32658293)
Wang KC et al., Oncol Lett 2018 (PMID:29285192)
Feng W et al., Mol Cell Biol 2020 (PMID:32312884)
Chen LY et al., J Pathol 2019 (PMID:30883733)
Huang Y et al., Int J Mol Sci 2019 (PMID:31022963)
Su PH et al., Cancer Lett 2019 (PMID:30771438)
Li M et al., Oncogene 2019 (PMID:30651599)
Chatterjee B et al., Biochim Biophys Acta Gene Regul Mech 2018 (PMID:30300721)
Li Q et al., Cell Prolif 2017 (PMID:29277934)
Verma N et al., Nat Genet 2018 (PMID:29203910)
Jiang X et al., Nat Commun 2017 (PMID:29235481)
Loriot A et al., Epigenetics 2014 (PMID:25089631)
Pei YF et al., Biochim Biophys Acta 2016 (PMID:27555295)
Rao LJ et al., Int J Oral Sci 2016 (PMID:27357322)
Yang YA et al., Nucleic Acids Res. 2016 (PMID:27257062)
Naoko Irie et al., Cell 2014 (PMID:25543152)
Li Q et al., J Endod 2014 (PMID:25179935)
Mahaira LG et al., Stem Cells Dev 2014 (PMID:24915579)
Po-Hsuan Su et al., Sci Rep 2019 (PMID:31235851)
Roza Berhanu Lemma et al., Epigenetics Chromatin 2022 (PMID:35440061)
IMMUNOSCREENING OF LAMBDA-GT11 BACTERIOPHAGE LIBRARIES WITH ANTIBODY PROBES
dishes of lysed E. coli to reduce anti-E. coli antibody background. These antibodies are present in all human sera, rabbit sera, and rodent sera. For each Petri dish containing solidified LB agar, mix 0.6ml of the Y1090 overnight-saturated culture with 30
Antibody Screening of Bacteriophage gt11 DNA Expression Libraries
Much of our current understanding of the molecular details of the activity and interactions of proteins has stemmed from the ability to isolate cDNA encoding these proteins. Computer-based analysis of deduced amino acid sequence allows
Antibody Screening of Bacteriophage gt-11 DNA Expression Libraries
Much of our current understanding of the molecular details of the activity and interactions of proteins has stemmed from the ability to isolate cDNA encoding these proteins. Computer-based analysis of deduced amino acid sequence allows
技术资料暂无技术资料 索取技术资料











