相关产品推荐更多 >
万千商家帮你免费找货
0 人在求购买到急需产品
- 详细信息
- 文献和实验
- 技术资料
- 免疫原:
Purified recombinant fragment of human CARM1 expressed in E. Coli.
- 亚型:
IgG1
- 形态:
Liquid
- 保存条件:
Store as concentrated solution. Centrifuge briefly prior to opening vial. For short-term storage (1-2 weeks), store at 4ºC. For long-term storage, aliquot and store at -20ºC or below. Avoid multiple freeze-thaw cycles.
- 克隆性:
Monoclonal
- 标记物:
Unconjugated
- 适应物种:
Human, Mouse, Rat, Monkey
- 保质期:
12 months from the shipping date of the product.
- 抗原来源:
Human
- 目录编号:
GTX80395
- 级别:
Primary Antibodies
- 库存:
Available
- 供应商:
GeneTex
- 宿主:
Mouse
- 应用范围:
WB, ICC/IF, IHC-P, FACS, ELISA
- 靶点:
CARM1
- 抗体英文名:
CARM1 antibody [3H2]
- 抗体名:
CARM1 抗体 [3H2]
- 规格:
100 μl
FACS analysis of Lovo cells using GTX80395 CARM1 antibody [3H2].
Green : CARM1
Purple : negative control
WB analysis of MCF-7 (1), HeLa (2), NIH3T3 (3), HL-60 (4), LNcap (5), Jurkat (6), PC-3 (7), Cos7 (8), and PC-12 (9) cell lysate using GTX80395 CARM1 antibody [3H2].
ICC/IF analysis of HeLa cells using GTX80395 CARM1 antibody [3H2].
Green : CARM1
Red: Actin filaments
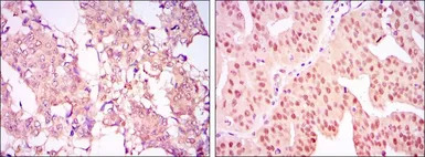
IHC-P analysis of breast cancer tissue (left) and ovarian cancer tissue (right) using GTX80395 CARM1 antibody [3H2].
风险提示:丁香通仅作为第三方平台,为商家信息发布提供平台空间。用户咨询产品时请注意保护个人信息及财产安全,合理判断,谨慎选购商品,商家和用户对交易行为负责。对于医疗器械类产品,请先查证核实企业经营资质和医疗器械产品注册证情况。
文献和实验3, mouse CARM1 (PRMT4), human JBP1 (PRMT5). Substrates of PRMTs: In mammalian cells hnRNPs contain about 65% of the total NG,NG-dimethylarginine found in the cell nucleus. Additionally, functionally diverse proteins are substrates for PRMT family
b-Gal Staining of Murine Embryos
Solutions 500mM K4Fe(CN)6.3H2O (Potassium Ferrocyanide) (Sigma: P9387) in DDW 500mM K3Fe(CN)6 (Potassium Ferricyanide) in DDW Solution A : 0.2M NaH2PO4.H2O (27.6g/l) Solution B : 0.2M Na2HPO4 (28,4g/l) Phosphate buffer : 23ml of 0.2M NaH2
SDS-PAGE,蛋白转印,western Blot试剂配制
DTT (20 ml)1.称取3.09 g DTT,加入到50 ml塑料离心管中。2.加20 ml的0.01 M NaOAc (pH5.2),溶解后使用0.22μm滤器过滤除菌。3.分装后-20oC保存。(参照《分子克隆》二版P884) 3 M 醋酸钠(NaOAc)(100 ml)1.称取40.8 g NaOAc•3H2O置于100~200ml烧杯中,加入约40ml的去离子水后搅拌溶解。2.加冰醋酸调节pH值至5.2。3.定容至100 ml,高压灭菌后室温保存。(参照《分子克隆》二版P884
技术资料暂无技术资料 索取技术资料





![HCA67 antibody [C3], C-term](https://custom.dxycdn.com/trademd/upload/pic/2011/12/20/1324016002.jpg!small.t.1)
![KIAA0494 antibody [N3C3]](https://img1.dxycdn.com/2023/0711/255/2344116916935858761-14.jpg!wh200)

![IL4 antibody [MP4-25D2] (APC)](https://img1.dxycdn.com/2023/0711/451/6106825198874858761-14.jpg!wh200)


