相关产品推荐更多 >
万千商家帮你免费找货
0 人在求购买到急需产品
- 详细信息
- 文献和实验
- 技术资料
- 免疫原:
Purified recombinant fragment of human EGFR mutant (AA: 693-893) expressed in E. Coli.
- 亚型:
IgG1
- 形态:
Liquid
- 保存条件:
Store as concentrated solution. Centrifuge briefly prior to opening vial. For short-term storage (1-2 weeks), store at 4ºC. For long-term storage, aliquot and store at -20ºC or below. Avoid multiple freeze-thaw cycles.
- 克隆性:
Monoclonal
- 标记物:
Unconjugated
- 适应物种:
Human
- 保质期:
12 months from the shipping date of the product.
- 抗原来源:
Human
- 目录编号:
GTX60766
- 级别:
Primary Antibodies
- 库存:
Available
- 供应商:
GeneTex
- 宿主:
Mouse
- 应用范围:
WB, IHC-P, FACS, ELISA
- 浓度:
1 mg/ml (Please refer to the vial label for the specific concentration.)
- 靶点:
EGFR (mutant)
- 抗体英文名:
EGFR (mutant) antibody [5G9B5]
- 抗体名:
EGFR (mutant) 抗体 [5G9B5]
- 规格:
100 μg
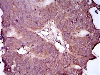
IHC-P analysis of rectum cancer tissue using GTX60766 EGFR (mutant) antibody [5G9B5].
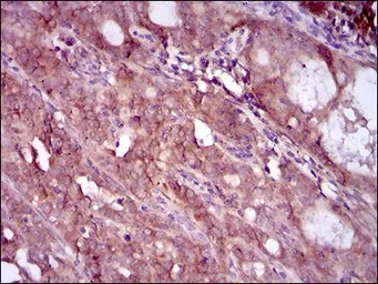
IHC-P analysis of cervical cancer tissue using GTX60766 EGFR (mutant) antibody [5G9B5].
FACS analysis of HepG2 cells using GTX60766 EGFR (mutant) antibody [5G9B5].
Green : EGFR (mutant)
Purple : negative control
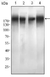
WB analysis of SPC-A-1 (1), A549 (2), HepG2 (3) and MCF-7 (4) cell lysate using GTX60766 EGFR (mutant) antibody [5G9B5].
ELISA analysis of antigen using GTX60766 EGFR (mutant) antibody [5G9B5].
Black : Control antigen 100ng
Purple : Antigen 10ng
Blue : Antigen 50ng
Red : Antigen 100ng
WB analysis of HEK293 (1) and EGFR mutant (AA: 693-893)-hIgGFc transfected HEK293 (2) cell lysate using GTX60766 EGFR (mutant) antibody [5G9B5].
风险提示:丁香通仅作为第三方平台,为商家信息发布提供平台空间。用户咨询产品时请注意保护个人信息及财产安全,合理判断,谨慎选购商品,商家和用户对交易行为负责。对于医疗器械类产品,请先查证核实企业经营资质和医疗器械产品注册证情况。
文献和实验EGFR and Tumor Suppressor Function in Brain Cancer Development
interventions. Using cutting edge Cre/Lox technologies, we created compound conditional transgenic strains based on a Cre-induced expression of mutant EGFRvIII with the concomitant loss of the Cdkn2a and PTEN tumor suppressor genes. The introduction
antibody and progression in tumor therapy【abstract】EGFR is encoded by the c-erb-B1 proto-oncngene. it is reported that the over-expressed and mutant EGFR have good relationship with tumor.Now it has become a new field in tumor therapy.This text
Antibody Staining of Imaginal Discs
Antibody Staining of Imaginal Discs From DIS- Thom Kaufman's lab 1. Dissect tissues in Tri-PBS, gather in a 1.5 ml tube of Tri-PBS on ice(at least 10 animals can be processed in one tube). Tear larvae
技术资料暂无技术资料 索取技术资料





![Factor XI antibody [C1C3]](https://img1.dxycdn.com/2023/0711/255/2344116916935858761-14.jpg!wh200)

![Lamin A + C antibody [GT1137]](https://img1.dxycdn.com/2023/0711/451/6106825198874858761-14.jpg!wh200)

