相关产品推荐更多 >
万千商家帮你免费找货
0 人在求购买到急需产品
- 详细信息
- 文献和实验
- 技术资料
- 免疫原:
Purified recombinant fragment of human NOS2 expressed in E. Coli.
- 亚型:
IgG1
- 形态:
Liquid
- 保存条件:
Store as concentrated solution. Centrifuge briefly prior to opening vial. For short-term storage (1-2 weeks), store at 4ºC. For long-term storage, aliquot and store at -20ºC or below. Avoid multiple freeze-thaw cycles.
- 克隆性:
Monoclonal
- 标记物:
Unconjugated
- 适应物种:
Human, Mouse, Rat
- 保质期:
12 months from the shipping date of the product.
- 抗原来源:
Human
- 目录编号:
GTX60599
- 级别:
Primary Antibodies
- 库存:
Available
- 供应商:
GeneTex
- 宿主:
Mouse
- 应用范围:
WB, IHC-P, IHC-Fr, FACS, ELISA
- 浓度:
1 mg/ml (Please refer to the vial label for the specific concentration.)
- 靶点:
iNOS
- 抗体英文名:
iNOS antibody [4E5]
- 抗体名:
iNOS 抗体 [4E5]
- 规格:
100 μg
FACS analysis of MCF-7 cells using GTX60599 iNOS antibody [4E5].
Green : iNOS
Red : negative control
IHC-P analysis of breast cancer tissue using GTX60599 iNOS antibody [4E5].
WB analysis of human iNOS (AA: 997-1058) recombinant protein using GTX60599 iNOS antibody [4E5].
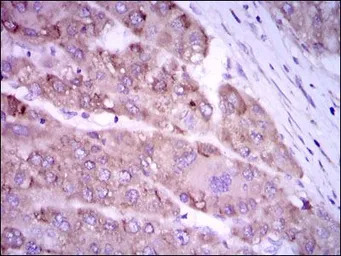
IHC-P analysis of liver cancer tissue using GTX60599 iNOS antibody [4E5].
ELISA analysis of antigen using GTX60599 iNOS antibody [4E5].
Black : Control antigen 100ng
Purple : Antigen 10ng
Blue : Antigen 50ng
Red : Antigen 100ng
风险提示:丁香通仅作为第三方平台,为商家信息发布提供平台空间。用户咨询产品时请注意保护个人信息及财产安全,合理判断,谨慎选购商品,商家和用户对交易行为负责。对于医疗器械类产品,请先查证核实企业经营资质和医疗器械产品注册证情况。
文献和实验Hsueh YH et al., J Orthop Translat 2023 (PMID:36381245)
Li J et al., Ann Transl Med 2021 (PMID:34790740)
Liang X et al., Mol Cell Biochem 2018 (PMID:30178273)
Liu MC et al., PLoS One 2017 (PMID:28558037)
Akan M et al., Eur Rev Med Pharmacol Sci 2016 (PMID:27160141)
上海西唐生物科技有限公司 021-55229872, 65333639 www.westang.com 人诱导型一氧化氮合酶 ( iNOS )ELISA 试剂盒 ( 用于血清、血浆、细胞培养上清液和其它生物体液内 ) 原理 本实验采用双抗体夹心 ABC-ELISA 法。用抗人 iNOS 单抗包被于酶标板上,标准品和样品中的 iNOS与单抗结合,加入生物素化的抗人
上海西唐生物科技有限公司 021-55229872, 65333639 www.westang.com 大鼠诱导型一氧化氮合酶 (iNOS)ELISA 试剂盒 ( 用于血清、血浆、细胞培养上清液和其它生物体液内 ) 原理 本实验采用双抗体夹心 ABC-ELISA 法。用抗大鼠 iNOS 单抗包被于酶标板上,标准品和样品中的 iNOS 与单抗结合,加入生物素化的抗大鼠 iNOS ,形成免疫复合物连接在板上
Detection of NOS Isoforms by Western-Blot Analysis
sulfate (SDS) polyacrylamide-gel electrophoresis (PAGE) and transfer of the proteins to a membrane to allow immunodetection of the iNOS. In order to detect the enzyme on the immunoblot, the blotted-cellular proteins are incubated with a primary antibody
技术资料暂无技术资料 索取技术资料





![MMP10 antibody [9G10]](https://img1.dxycdn.com/2023/0711/451/6106825198874858761-14.jpg!wh200)

![CD36 antibody [SM0] (FITC)](https://custom.dxycdn.com/trademd/upload/pic/2011/12/14/1323695851.jpg!small.t.1)


