相关产品推荐更多 >
万千商家帮你免费找货
0 人在求购买到急需产品
- 详细信息
- 文献和实验
- 技术资料
- 免疫原:
Purified recombinant fragment of human AIF expressed in E. Coli.
- 亚型:
IgG2b
- 形态:
Liquid
- 保存条件:
Store as concentrated solution. Centrifuge briefly prior to opening vial. For short-term storage (1-2 weeks), store at 4ºC. For long-term storage, aliquot and store at -20ºC or below. Avoid multiple freeze-thaw cycles.
- 克隆性:
Monoclonal
- 标记物:
Unconjugated
- 适应物种:
Human, Mouse, Rat, Monkey
- 保质期:
12 months from the shipping date of the product.
- 抗原来源:
Human
- 目录编号:
GTX60476
- 级别:
Primary Antibodies
- 库存:
Available
- 供应商:
GeneTex
- 宿主:
Mouse
- 应用范围:
WB, ICC/IF, IHC-P, FACS, ELISA
- 靶点:
AIF
- 抗体英文名:
AIF antibody [4E7]
- 抗体名:
AIF 抗体 [4E7]
- 规格:
100 μl
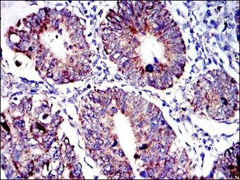
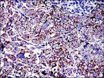
IHC-P analysis of human rectum cancer tissue using GTX60476 AIF antibody [4E7].
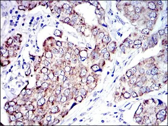
IHC-P analysis of human cervical cancer tissue using GTX60476 AIF antibody [4E7].
FACS analysis of HepG2 cells using GTX60476 AIF antibody [4E7].
Blue : AIF
Red : negative control
ELISA analysis of antigen using GTX60476 AIF antibody [4E7].
Red : Control antigen 100ng
Purple : Antigen 10ng
Green : Antigen 50ng
Blue : Antigen 100ng
ICC/IF analysis of NIH3T3 cells using GTX60476 AIF antibody [4E7].
Green : AIF
Blue: DRAQ5 fluorescent DNA dye
Red: Actin filaments
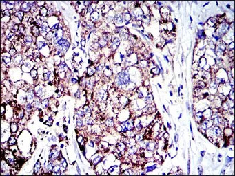
IHC-P analysis of human lung cancer tissue using GTX60476 AIF antibody [4E7].
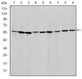
WB analysis of NIH3T3 (1), Jurkat (2), HeLa (3), HepG2 (4), MOLT4 (5), C6 (6), RAJI (7), Cos7 (8) and PC-12 (9) cell lysate using GTX60476 AIF antibody [4E7].
IHC-P analysis of human breast cancer tissue using GTX60476 AIF antibody [4E7].
风险提示:丁香通仅作为第三方平台,为商家信息发布提供平台空间。用户咨询产品时请注意保护个人信息及财产安全,合理判断,谨慎选购商品,商家和用户对交易行为负责。对于医疗器械类产品,请先查证核实企业经营资质和医疗器械产品注册证情况。
文献和实验Shen H et al., Front Aging Neurosci 2018 (PMID:30459593)
Polyclonal and Monoclonal Antibodies
Polyclonal Antibody Immunization of Mice: Injections should be made at intervals of at least two weeks.. We have been using either of the two following adjuvants with success: Freund adjuvant and MPL+TDM adjuvant ( RIBI ImmunoChem
【共享】Methods in molecular biology 下载
Protocols http://3.mihd.net/dl/7908abc9edc3ff616d1e24b7aeb83c2e/46c92e7d/3-lkytdq-14359732/gene_transfer_and_expression_protocols.www.forumakademi.org.rar j1234561整理 rapidshare password: www.bioboss.com Vol 8 Practical Molecular Virology http
指出不同的看家基因,让您用来确保质量。Moehlenbrock表示:“在某些情况下,我们会提供分析的建议。”例如,Sigma-Aldrich Mitochondria Isolation Kit的技术指南建议检查细胞色素c氧化酶活性和柠檬酸合酶活性,以确认外膜和内膜的完整性。 Cell Signaling Technology也提供Cell Fractionation Antibody Sampler Kit,作为分级分离试剂盒的伴随产品。生产科学家Jim Cormier介绍,当您在运行
技术资料暂无技术资料 索取技术资料






![CD44 antibody [OX-50] (Azide free)](https://img1.dxycdn.com/2023/0711/451/6106825198874858761-14.jpg!wh200)


