相关产品推荐更多 >
万千商家帮你免费找货
0 人在求购买到急需产品
- 详细信息
- 文献和实验
- 技术资料
- 免疫原:
Recombinant fusion protein containing a sequence corresponding to amino acids 1-280 of human ERG (NP_891548.1).
- 亚型:
IgG
- 形态:
Liquid
- 保存条件:
Store as concentrated solution. Centrifuge briefly prior to opening vial. For short-term storage (1-2 weeks), store at 4ºC. For long-term storage, aliquot and store at -20ºC or below. Avoid multiple freeze-thaw cycles.
- 克隆性:
Polyclonal
- 标记物:
Unconjugated
- 适应物种:
Human
- 保质期:
12 months from the shipping date of the product.
- 抗原来源:
Human
- 目录编号:
GTX54015
- 级别:
Primary Antibodies
- 库存:
Available
- 供应商:
GeneTex
- 宿主:
Rabbit
- 应用范围:
WB, ICC/IF
- 浓度:
Batch dependent (Please refer to the vial label for the specific concentration.)
- 靶点:
ERG
- 抗体英文名:
ERG antibody
- 抗体名:
ERG 抗体
- 规格:
100 μl
ICC/IF analysis of HeLa cells using GTX54015 ERG antibody.
Blue : DAPI
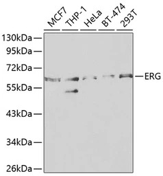
WB analysis of various sample lysates using GTX54015 ERG antibody.
Dilution : 1:1000
Loading : 25μg per lane
风险提示:丁香通仅作为第三方平台,为商家信息发布提供平台空间。用户咨询产品时请注意保护个人信息及财产安全,合理判断,谨慎选购商品,商家和用户对交易行为负责。对于医疗器械类产品,请先查证核实企业经营资质和医疗器械产品注册证情况。
文献和实验为一个复合的电反应。引导的方法是将一个引导电极与角膜接触,将另一个面积较大的参照电极放在额部,当给视网膜以光刺激时,可在示波器上记录到一系列电变化,即视网膜电图。视网膜电图可分成几个部分,一个典型的视网膜电图如附图中的粗线所示。光刺激下,开始有一个小的负波(角膜为负),称 a波,然后出现一个正(角膜为正)的 b波。如刺激强度较大,则在 b波之后,还有一个上升较缓慢的正波(角膜为正),称 c波。在光刺激结束时,还会有一个角膜为正的向上突起,称 d波。据分析, a波主要
Functional Phenotyping of Mouse Models with ERG
processing, and during the follow-up of therapeutic interventions. Full-field electroretinography (ERG), yielding a sum response of event-related transient electrical activity of the entire retina to light stimulation, is widely applied in human
Generation of Antibody Molecules Through Antibody Engineering
been overcome to a large extent using genetic-engineering techniques to produce chimeric mouse/human and completely human antibodies. Such an approach is particularly suitable because of the domain structure of the antibody molecule ( 2 ), where functional
技术资料暂无技术资料 索取技术资料





![alpha 3 Catenin antibody [N1N3]](https://img1.dxycdn.com/2023/0711/255/2344116916935858761-14.jpg!wh200)
![ZNF512B antibody [N2C1], Internal](https://custom.dxycdn.com/trademd/upload/pic/2011/12/14/1323695848.jpg!small.t.1)


