相关产品推荐更多 >
万千商家帮你免费找货
0 人在求购买到急需产品
- 详细信息
- 文献和实验
- 技术资料
- 免疫原:
Human recombinant NKp46
- 亚型:
IgG2
- 形态:
Liquid
- 保存条件:
Store as concentrated solution. Centrifuge briefly prior to opening vial. For short-term storage (1-2 weeks), store at 4ºC. For long-term storage, aliquot and store at -20ºC or below. Avoid multiple freeze-thaw cycles.
- 克隆性:
Monoclonal
- 标记物:
Unconjugated
- 适应物种:
Human
- 保质期:
12 months from the shipping date of the product.
- 抗原来源:
Human
- 目录编号:
GTX52945
- 级别:
Primary Antibodies
- 库存:
Available
- 供应商:
GeneTex
- 宿主:
Mouse
- 应用范围:
WB, IHC-Fr, FACS
- 浓度:
500 μg/ml (Please refer to the vial label for the specific concentration.)
- 靶点:
NKp46
- 抗体英文名:
NKp46 antibody [8F24]
- 抗体名:
NKp46 抗体 [8F24]
- 规格:
100 μg
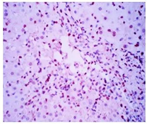
IHC-Fr analysis of diseased human liver tissue using GTX52945 NKp46 antibody [8F24].
风险提示:丁香通仅作为第三方平台,为商家信息发布提供平台空间。用户咨询产品时请注意保护个人信息及财产安全,合理判断,谨慎选购商品,商家和用户对交易行为负责。对于医疗器械类产品,请先查证核实企业经营资质和医疗器械产品注册证情况。
文献和实验secondary antibody review -- data from 99 publications
cytometry used as a control to detect cell responses targeted antigen 7 Alexa Fluor 488 7 Cy3 8 goat IgG Alexa Fluor 488 1:2000 detect antibody binding in human embryonic kidney 293T cells Invitrogen 9 donkey
【讨论】Innate immunity: 'Natural helper' cells identified
, natural killer cells, lymphoid-tissue inducer cells and IL-22-producing NKp46+ cells. Stem cell factor and IL-7 were shown to support the survival of FALC KIT+SCA1+ cells, and IL-2 induced cell proliferation and the production of the TH2-type cytokines
Hybrid clones will appear within 2–3 wk after fusion (see Chapter 46 ). It is of utmost importance that a newly established hybridoma is cloned thoroughly to ensure that the cells growing in the tissue culture are of monoclonal origin
技术资料暂无技术资料 索取技术资料





![Apolipoprotein A1 antibody [532]](https://img1.dxycdn.com/2023/0711/451/6106825198874858761-14.jpg!wh200)
![CD169 antibody [7-239] (FITC)](https://custom.dxycdn.com/trademd/upload/pic/2011/12/14/1323695851.jpg!small.t.1)




