相关产品推荐更多 >
万千商家帮你免费找货
0 人在求购买到急需产品
- 详细信息
- 文献和实验
- 技术资料
- 免疫原:
A synthetic peptide corresponding to a sequence at the C-terminus of rat Kallikrein 1(243-261aa YTKLIKFTPWIKEVMKENP).
- 亚型:
IgG
- 形态:
Liquid
- 保存条件:
Store as concentrated solution. Centrifuge briefly prior to opening vial. For short-term storage (1-2 weeks), store at 4ºC. For long-term storage, aliquot and store at -20ºC or below. Avoid multiple freeze-thaw cycles.
- 克隆性:
Polyclonal
- 标记物:
Unconjugated
- 适应物种:
Rat
- 保质期:
12 months from the shipping date of the product.
- 抗原来源:
Rat
- 目录编号:
GTX12017
- 级别:
Primary Antibodies
- 库存:
Available
- 供应商:
GeneTex
- 宿主:
Rabbit
- 应用范围:
WB, IHC-P
- 浓度:
500 μg/ml (Please refer to the vial label for the specific concentration.)
- 靶点:
Kallikrein 1
- 抗体英文名:
Kallikrein 1 antibody
- 抗体名:
Kallikrein 1 抗体
- 规格:
100 μg
WB analysis of various samples using GTX12017 Kallikrein 1 antibody.
Lane 1 : rat pancreas tissue lysate
Lane 2 : rat kidney tissue lysate
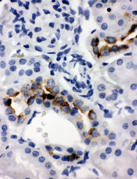
IHC-P analysis of rat kidney tissue using GTX12017 Kallikrein 1 antibody.
风险提示:丁香通仅作为第三方平台,为商家信息发布提供平台空间。用户咨询产品时请注意保护个人信息及财产安全,合理判断,谨慎选购商品,商家和用户对交易行为负责。对于医疗器械类产品,请先查证核实企业经营资质和医疗器械产品注册证情况。
文献和实验【Jounal club】NATURE MEDICINE: 利用蛋白组技术发现糖尿病眼底病变新机制
contribute to the diabetic vitreous proteome. Intravitreous injection of CA-I in rats increased retinal vessel leakage and caused intraretinal edema. CA-I–induced alkalinization of vitreous increased kallikrein activity and its generation of factor XIIa
. The inter-alpha-inhibitor family: from structure to regulation. Biochem. J. 315:1–9. 44. Nishimura, H., et al. 1995. cDNA and deduced amino acid sequence of human PK-120, a plasma kallikrein-sensitive glycoprotein. FEBS Lett. 357:207–211. 45
技术资料暂无技术资料 索取技术资料










