相关产品推荐更多 >
万千商家帮你免费找货
0 人在求购买到急需产品
- 详细信息
- 技术资料
- 免疫原:
KLH conjugated synthetic peptide derived from human/mouse/Rat
- 亚型:
IgG
- 形态:
液态/冻干粉
- 保存条件:
-20℃
- 克隆性:
Polyclonal
- 标记物:
PE HRP Gold Cy5.5 Cy7 RBITC PE-CY5.5 PE-CY7 APC FITC Cy3 Cy297
- 适应物种:
Human,Mouse,Rat,Chicken,Dog,Cow,Rabbit,Sheep
- 宿主:
Rabbit
- 应用范围:
科学研究
- 浓度:
1mg/ml
- 规格:
200 ul
上海康朗生物科技有限公司是一家集研发、生产、销售、服务于一体的国际领先生物高新技术企业,专营基因、蛋白、抗体、Elisa试剂盒、细胞生物学,分子生物学等高质量生物产品。并代理Millipore、Abcam,Serva、Pharmacia、eBioscience,Santa,Abnova,GenWay等国外知名品牌抗体:
抗体纯化/标记/免疫检测
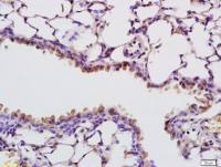
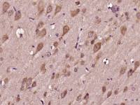
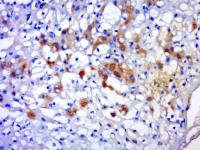
免疫分析检测是一项应用广泛的技术,利用抗原和抗体的特异性反应进行检测的一种手段,广泛用于医学病理学、免疫组织化学、分子生物学、生物制药等领域的分析研究与技术测定。制备高特异性、高效价的抗体是实验免疫学技术的基础,抗体质量的高低将直接影响试验的成败。抗体纯化能降低非特异性本底,抗体标记能通过标记物的增强放大效应提高检测灵敏度,采用ELISA、WB、IP、IHC等不同免疫分析技术检测各种样品中特定的目的蛋白。 我公司拥有国内领先的抗体服务技术、先进的仪器设备和专业的抗体技术人员,可为客户提供:(1)多种抗体纯化服务,如硫酸铵纯化、Protein A/G纯化、抗原亲和纯化等,帮助客户解决各种抗体纯化问题;(2)一流的抗体标记服务,包括生物素标记、荧光素标记、酶标记等;(3)多种免疫检测分析 技术服务:酶联免疫吸附实验(ELISA),免疫印迹(WB),免疫沉淀(IP)和免疫组化(IHC)等。
服务内容 简要说明 周期 抗体纯化
(硫酸铵沉淀法) 1.硫酸铵沉淀法纯化血清(≤50 ml)
2.紫外吸收法测定抗体浓度
3.纯化抗体Elisa 7天 1.Protein A/G 纯化(≤50 ml)
2.紫外吸收法测定抗体浓度
3.纯化抗体Elisa 7 天 < a href="http://www.chinapeptides.com/qy3003.php">抗体纯化</
抗体纯化/标记/免疫检测
免疫分析检测是一项应用广泛的技术,利用抗原和抗体的特异性反应进行检测的一种手段,广泛用于医学病理学、免疫组织化学、分子生物学、生物制药等领域的分析研究与技术测定。制备高特异性、高效价的抗体是实验免疫学技术的基础,抗体质量的高低将直接影响试验的成败。抗体纯化能降低非特异性本底,抗体标记能通过标记物的增强放大效应提高检测灵敏度,采用ELISA、WB、IP、IHC等不同免疫分析技术检测各种样品中特定的目的蛋白。 我公司拥有国内领先的抗体服务技术、先进的仪器设备和专业的抗体技术人员,可为客户提供:(1)多种抗体纯化服务,如硫酸铵纯化、Protein A/G纯化、抗原亲和纯化等,帮助客户解决各种抗体纯化问题;(2)一流的抗体标记服务,包括生物素标记、荧光素标记、酶标记等;(3)多种免疫检测分析 技术服务:酶联免疫吸附实验(ELISA),免疫印迹(WB),免疫沉淀(IP)和免疫组化(IHC)等。
服务内容 简要说明 周期 抗体纯化
(硫酸铵沉淀法) 1.硫酸铵沉淀法纯化血清(≤50 ml)
2.紫外吸收法测定抗体浓度
3.纯化抗体Elisa 7天 1.Protein A/G 纯化(≤50 ml)
2.紫外吸收法测定抗体浓度
3.纯化抗体Elisa 7 天 < a href="http://www.chinapeptides.com/qy3003.php">抗体纯化</
风险提示:丁香通仅作为第三方平台,为商家信息发布提供平台空间。用户咨询产品时请注意保护个人信息及财产安全,合理判断,谨慎选购商品,商家和用户对交易行为负责。对于医疗器械类产品,请先查证核实企业经营资质和医疗器械产品注册证情况。
技术资料暂无技术资料 索取技术资料
Anti-Ubiquitin
¥1 - 3998









