万千商家帮你免费找货
0 人在求购买到急需产品
- 详细信息
- 用户评价
- 文献和实验
- 技术资料
- 服务名称:
哺乳动物细胞表达系
- 提供商:
普健生物
- 规格:
重组蛋白定制服务
服务简介
1.载体构建
(1)可将cDNA克隆至客户或者普健生物提供的哺乳细胞的表达载体中
(2)可在表达载体中添加分泌信号肽和纯化标签,促进蛋白分泌表达及满足一步亲和纯化的需求
(3)能生产并鉴定高效稳定细胞系,适合大规模发酵生产
2.稳定基因表达符合长期生产需求,整个实验操作流程提供长期稳定及规模可调的蛋白生产
3.瞬时表达(TGE)
(1)与稳定基因表达相比,TGE主要适用于短期内制备重组蛋白,一般在10天内即可快速转染,无需质粒DNA的遗传性选择
(2)普健生物的瞬时表达使用悬浮细胞,能够完成毫升到100L的体积的蛋白表达
4.工艺过程开发及扩大规模。普健生物能够优化表达过程以及表达产物,预测细胞表达量,摸索发酵罐发酵条件,适合大规模发酵生产
5.纯化:普健生物拥有完善的蛋白纯化系统,亲和纯化,凝胶过滤,离子交换及疏水层析等纯化方法,能够完成各类型蛋白的纯化,以及纯化工艺的摸索
普健生物提供表达载体构建、瞬时转染、表达测试及大规模动物细胞发酵和蛋白纯化等一站式蛋白技术服务。
相关阅读:大肠重组蛋白表达http://www.biomart.cn/infosupply/27475422.htm
相关阅读:枯草芽孢杆菌重组蛋白表达http://www.biomart.cn/infosupply/27475435.htm
相关阅读:酵母重组蛋白表达http://www.biomart.cn/infosupply/27475477.htm
相关阅读:昆虫杆状病毒重组蛋白表达http://www.biomart.cn/infosupply/27475493.htm
1.载体构建
(1)可将cDNA克隆至客户或者普健生物提供的哺乳细胞的表达载体中
(2)可在表达载体中添加分泌信号肽和纯化标签,促进蛋白分泌表达及满足一步亲和纯化的需求
(3)能生产并鉴定高效稳定细胞系,适合大规模发酵生产
2.稳定基因表达符合长期生产需求,整个实验操作流程提供长期稳定及规模可调的蛋白生产
3.瞬时表达(TGE)
(1)与稳定基因表达相比,TGE主要适用于短期内制备重组蛋白,一般在10天内即可快速转染,无需质粒DNA的遗传性选择
(2)普健生物的瞬时表达使用悬浮细胞,能够完成毫升到100L的体积的蛋白表达
4.工艺过程开发及扩大规模。普健生物能够优化表达过程以及表达产物,预测细胞表达量,摸索发酵罐发酵条件,适合大规模发酵生产
5.纯化:普健生物拥有完善的蛋白纯化系统,亲和纯化,凝胶过滤,离子交换及疏水层析等纯化方法,能够完成各类型蛋白的纯化,以及纯化工艺的摸索
普健生物提供表达载体构建、瞬时转染、表达测试及大规模动物细胞发酵和蛋白纯化等一站式蛋白技术服务。
| 表达方式 | 细胞 |
| 瞬时表达 | HEK293,HEK293细胞来源于293细胞系,采用无血清悬浮培养CHO-S,CHO-S细胞是来自中国仓鼠卵巢细胞的克隆分离株,被驯化为无血清悬浮培养 |
| 稳定表达 | CHO-K1,CHO-K1由CHO衍生而来,该细胞株培养条件简单、贴壁强度适中,比较容易转染 |
| 稳定细胞株构建 | DG44,DG44 细胞(二氢叶酸还原酶缺陷型 , DHFR-)由中国仓鼠卵巢(CHO)细胞衍生而来,常用于构建适合重组蛋白生产的细胞系。DG44细胞筛选和共扩增标记是DHFR基因(dhfr) |
表达载体:pcDNA3.1, pIRES, pTT3, pCEP4,pATX1等
服务优势
经验丰富:团队具有十多年丰富的蛋白表达经验,累计完成5000+哺乳表达项目,200+稳转细胞株构建项目
可提供多种表达服务: 瞬时转染表达,重组抗体表达生产,稳定细胞株构建服务
1.瞬时转染表达:无血清悬浮培养的多种哺乳细胞表达系统,自主研发高产表达体系,大幅度提高表达量(3-6倍),同时提供商业化转染体系为广大客户提供多种选择
2.重组抗体表达:拥有一套经过反复验证的载体-细胞-转染高效表达体系,轻松获得抗体的稳定性克级生产
3.稳定细胞株构建:拥有的自主知识产权的CHO-K1改造细胞系可提供蛋白及抗体药物研发生产服务
4.十万级洁净细胞房:可提供<0.1EU/ml级别的低内毒蛋白表达服务/产品
5.大规模生产:无血清悬浮细胞培养每批次200L+生产
6.一站式服务:基因优化、蛋白结构分析与表达方案设计,瞬时转染,稳定细胞株构建,重组抗体生产、数据分析
服务内容
案例展示
服务优势
经验丰富:团队具有十多年丰富的蛋白表达经验,累计完成5000+哺乳表达项目,200+稳转细胞株构建项目
可提供多种表达服务: 瞬时转染表达,重组抗体表达生产,稳定细胞株构建服务
1.瞬时转染表达:无血清悬浮培养的多种哺乳细胞表达系统,自主研发高产表达体系,大幅度提高表达量(3-6倍),同时提供商业化转染体系为广大客户提供多种选择
2.重组抗体表达:拥有一套经过反复验证的载体-细胞-转染高效表达体系,轻松获得抗体的稳定性克级生产
3.稳定细胞株构建:拥有的自主知识产权的CHO-K1改造细胞系可提供蛋白及抗体药物研发生产服务
4.十万级洁净细胞房:可提供<0.1EU/ml级别的低内毒蛋白表达服务/产品
5.大规模生产:无血清悬浮细胞培养每批次200L+生产
6.一站式服务:基因优化、蛋白结构分析与表达方案设计,瞬时转染,稳定细胞株构建,重组抗体生产、数据分析
服务内容
| 服务内容 | 客户提供 | 服务步骤 | 服务周期 | 交付内容 |
| 哺乳动物细胞表达系统 | 基因序列 载体 |
基因合成 | 2-4周 | |
| 表达及纯化测试 | 2周 | 提供表达及纯化测试报告决定是否进行下一步放大 | ||
| 1L表达及纯化 | 2周 | 提供蛋白样品及报告 | ||
| 摇瓶或发酵罐放大 | 2-4周 | 提供蛋白样品及报告 |
案例展示
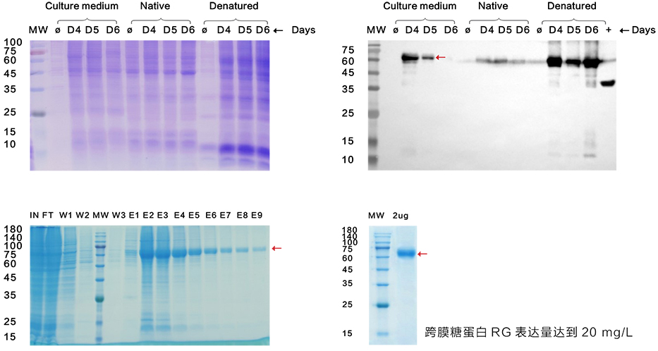
HEK293细胞瞬转表达病毒跨膜糖蛋白RG
相关阅读:大肠重组蛋白表达http://www.biomart.cn/infosupply/27475422.htm
相关阅读:枯草芽孢杆菌重组蛋白表达http://www.biomart.cn/infosupply/27475435.htm
相关阅读:酵母重组蛋白表达http://www.biomart.cn/infosupply/27475477.htm
相关阅读:昆虫杆状病毒重组蛋白表达http://www.biomart.cn/infosupply/27475493.htm
普健生物(武汉)科技有限公司于2012年在武汉成立,作为武汉国家生物产业基地指定的光谷抗体发现与筛选公共服务平台,具备优越的技术实力和国际化发展的战略格局,专注于重组蛋白、抗体、诊断原料、抗体药物发现等自主技术平台的建设和下游生物医药产品的战略合作。

公司大楼坐落于东湖新技术开发区神墩四路, 这里绿叶繁茂,道路宽敞,周围有一众生物科技型高新企业。普健生物作为一员加入此处,为周遭增添了一抹亮丽的色彩。

公司立足于生命科学领域,自主建立三大完善的技术服务平台:生命科学研究平台、诊断原料开发平台、抗体药物研发平台。生命科学平台:拥有五大成熟高效的蛋白表达系统(枯草芽孢杆菌、大肠杆菌、酵母、昆虫细胞、哺乳动物细胞),鼠/兔单克隆抗体平台,可提供蛋白表达、分子构建-蛋白表达纯化-结构解析、抗体重组表达、鼠/兔单克隆抗体制备以及相关检测服务。诊断原料开发平台:拥有开放式化学发光自动平台,可缩短研发周期、降低开发成本与技术风险,为广大客户提供各种诊断核心原料开发。抗体药物发现平台以杂交瘤筛选与噬菌体展示技术为主,目前已完成构建并对外提供抗体筛选技术服务的文库有:新冠特异性抗体噬菌体文库、羊驼天然纳米抗体噬菌体文库、兔源天然抗体噬菌体文库、小鼠天然抗体噬菌体文库。同时也开发了大量的重组蛋白、抗体、工具酶、药物对照抗体、工业酶、诊断原料等相关产品。

目前已拥有的自主技术包括:哺乳动物细胞重组蛋白表达系统、稳定细胞株构建、噬菌体文库的构建以及淘选、DNA免疫技术、化学发光免疫诊断抗体筛选技术等等。截止目前已成功交付数万例与重组蛋白、抗体相关的技术委托研发,客户以及合作伙伴涵盖了国内外优秀的学术研究机构以及制药公司;并且与FIND(创新诊断基金会)、BAYER(拜耳作物科学)、广州呼吸健康研究院建立合作关系;与青岛大学附属医院医学研究转化中心,苏州系统医学研究所,广州再生医学与健康广东省实验室建立战略合作关系。

公司大楼坐落于东湖新技术开发区神墩四路, 这里绿叶繁茂,道路宽敞,周围有一众生物科技型高新企业。普健生物作为一员加入此处,为周遭增添了一抹亮丽的色彩。

公司立足于生命科学领域,自主建立三大完善的技术服务平台:生命科学研究平台、诊断原料开发平台、抗体药物研发平台。生命科学平台:拥有五大成熟高效的蛋白表达系统(枯草芽孢杆菌、大肠杆菌、酵母、昆虫细胞、哺乳动物细胞),鼠/兔单克隆抗体平台,可提供蛋白表达、分子构建-蛋白表达纯化-结构解析、抗体重组表达、鼠/兔单克隆抗体制备以及相关检测服务。诊断原料开发平台:拥有开放式化学发光自动平台,可缩短研发周期、降低开发成本与技术风险,为广大客户提供各种诊断核心原料开发。抗体药物发现平台以杂交瘤筛选与噬菌体展示技术为主,目前已完成构建并对外提供抗体筛选技术服务的文库有:新冠特异性抗体噬菌体文库、羊驼天然纳米抗体噬菌体文库、兔源天然抗体噬菌体文库、小鼠天然抗体噬菌体文库。同时也开发了大量的重组蛋白、抗体、工具酶、药物对照抗体、工业酶、诊断原料等相关产品。

目前已拥有的自主技术包括:哺乳动物细胞重组蛋白表达系统、稳定细胞株构建、噬菌体文库的构建以及淘选、DNA免疫技术、化学发光免疫诊断抗体筛选技术等等。截止目前已成功交付数万例与重组蛋白、抗体相关的技术委托研发,客户以及合作伙伴涵盖了国内外优秀的学术研究机构以及制药公司;并且与FIND(创新诊断基金会)、BAYER(拜耳作物科学)、广州呼吸健康研究院建立合作关系;与青岛大学附属医院医学研究转化中心,苏州系统医学研究所,广州再生医学与健康广东省实验室建立战略合作关系。
风险提示:丁香通仅作为第三方平台,为商家信息发布提供平台空间。用户咨询产品时请注意保护个人信息及财产安全,合理判断,谨慎选购商品,商家和用户对交易行为负责。对于医疗器械类产品,请先查证核实企业经营资质和医疗器械产品注册证情况。
用户评价
暂无用户评价
文献和实验该产品被引用文献
- N-(9-Fluorenylmethoxycarbonyl)-L-Phenylalanine/nano-hydroxyapatite hybrid supramolecular hydrogels as drug delivery vehicles with antibacterial property and cytocompatibility
- Preparation and characterization of a high-affinity monoclonal antibody against nerve growth factor
- An injectable supramolecular nanofiber-reinforced chitosan hydrogel with antibacterial and anti-inflammatory properties as potential carriers for drug delivery
技术资料需要更多技术资料 索取更多技术资料
研选
哺乳动物细胞表达系统(重组蛋白表达)
询价










