相关产品推荐更多 >
万千商家帮你免费找货
0 人在求购买到急需产品
- 详细信息
- 询价记录
- 文献和实验
- 技术资料
- 供应商:
翌圣生物科技(上海)股份有限公司
- 库存:
大量
- 保质期:
有效期1年
- 免疫原:
人 β-actin
- 保存条件:
-20℃保存
- 克隆性:
多克隆
- 靶点:
β-actin
- 抗体英文名:
β-actin,Rabbit pAb
- 抗体名:
兔抗β-actin多克隆抗体
- 规格:
40μl(30102ES40)/100 μL(30102ES60)/1mL(30102ES80)
| 规格: | 40μl(30102ES40) | 产品价格: | ¥608.0 |
|---|---|---|---|
| 规格: | 100 μL(30102ES60) | 产品价格: | ¥1068.0 |
| 规格: | 1mL(30102ES80) | 产品价格: | ¥6068.0 |
β-actin(β-肌动蛋白)是已知的肌动蛋白六种异构体中的一种,是由 375 个氨基酸组成的细胞骨架蛋白,分子量大小为 42 kDa 左右。广泛分布于细胞浆中,表达量非常丰富。β-actin 作为一种管家基因编码表达的蛋白(Housekeeping Protein),在不同物种之间高度保守。因此,在大多数组织和细胞中常被用作内参,即内部参照(Intern Control)。普遍应用于 Western Blot 实验来校正蛋白质定量、上样过程中存在的误差,确保实验的准确性。
|
Conjugation
|
Unconjugated
|
|
Clonality
|
Monoclonal Antibody
|
|
SwissProt ID
|
P60709
|
|
基因ID
|
60
|
|
MW(kDa)
|
42 kDa
|
|
Host
|
Rabbit
|
|
同工型
|
IgG
|
|
免疫原
|
A synthesized peptide derived from human beta Actin
|
|
Reactivity
|
Human,Mouse,Rat
|
|
Application
|
WB,IHC-P,ICC/IF
|
|
蛋白定位
|
细胞质,细胞骨架
|
|
研究领域
|
细胞生物学,发育生物学
|
稀释比 WB:1/5000-1/10000; IHC:1/50-1/200; IF:1/100-1/200
![]() |
Western blot analysis of beta Actin in (1)HeLa lysates; (2) Human fetal kidney lysates; (3) NIH/3T3 lysates; (4) PC12 lysates using beta Actin antibody. |
![]() |
Immunofluorescence analysis of beta Actin in Hela using beta Actin antibody. |
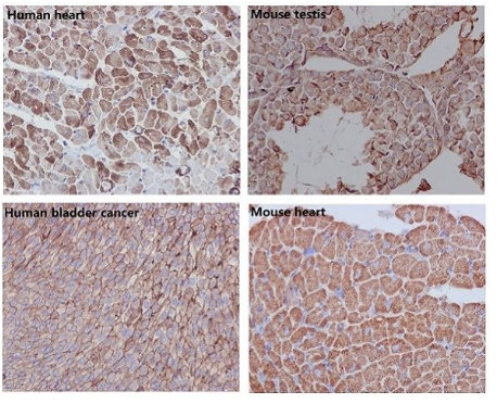
![]() |
Immunohistochemistry analysis of paraffinembedded (1) Human heart; (2) Mouse testis; (3) Human bladder cancer; (4) Mouse heart using beta Actin antibody. |
-25~-15℃保存。
风险提示:丁香通仅作为第三方平台,为商家信息发布提供平台空间。用户咨询产品时请注意保护个人信息及财产安全,合理判断,谨慎选购商品,商家和用户对交易行为负责。对于医疗器械类产品,请先查证核实企业经营资质和医疗器械产品注册证情况。
- 作者
- 内容
- 询问日期
文献和实验mnidr 我想做拟南芥基因和烟草基因的NORTHERN,想选择β-actin作为内参,请问,在拟南芥和烟草中β-actin的序列是一样的吗?如果在更远的物种里呢,比如动物???? freecell 脊椎动物中不同物种的β-actin基因氨基酸之间的序列同源性超过98%。其它种属不清楚,你可以在NCBI里面blast一下。 sherwing2009 可以在NCBI中,blast一下,相似
小鼠β-肌动蛋白(β-actin)酶联免疫分析(ELISA)
小鼠β- 肌动蛋白 ( β -actin) 酶联免疫 分析( ELISA ) 试剂 盒使用说明书 本试剂仅供研究使用 目的:本试剂盒用于测定小鼠血清,血浆及相关液体样本中 β-肌动蛋白(β-actin) 含量。 实验原理 : 本试剂盒应用双抗体夹心法测定 标本 中 小鼠β- 肌动蛋白 ( β -actin) 水平。用纯化的 小鼠β- 肌动蛋白 ( β -actin) 抗体包被微孔板,制成固相抗体,往包被单抗的微孔
Q1: 要做real-time pcr,而该种的β-actin未确定,我知道一般用持家基因作内参,但似乎其他基因各有缺点,有的作者用他们做内参时被SCI杂志要求用两个内参以证实,我想知道的是除了β-actin,哪个基因是SCI公认的内参基因(不用作两个内参了)? A1: 28S和18S rRNA 甘油醛-3-磷酸脱氢酶 还有α-tublin,ubiquitin,GAPDH,histone Q2: 做相对定量real
技术资料暂无技术资料 索取技术资料














