相关产品推荐更多 >
万千商家帮你免费找货
0 人在求购买到急需产品
- 详细信息
- 文献和实验
- 技术资料
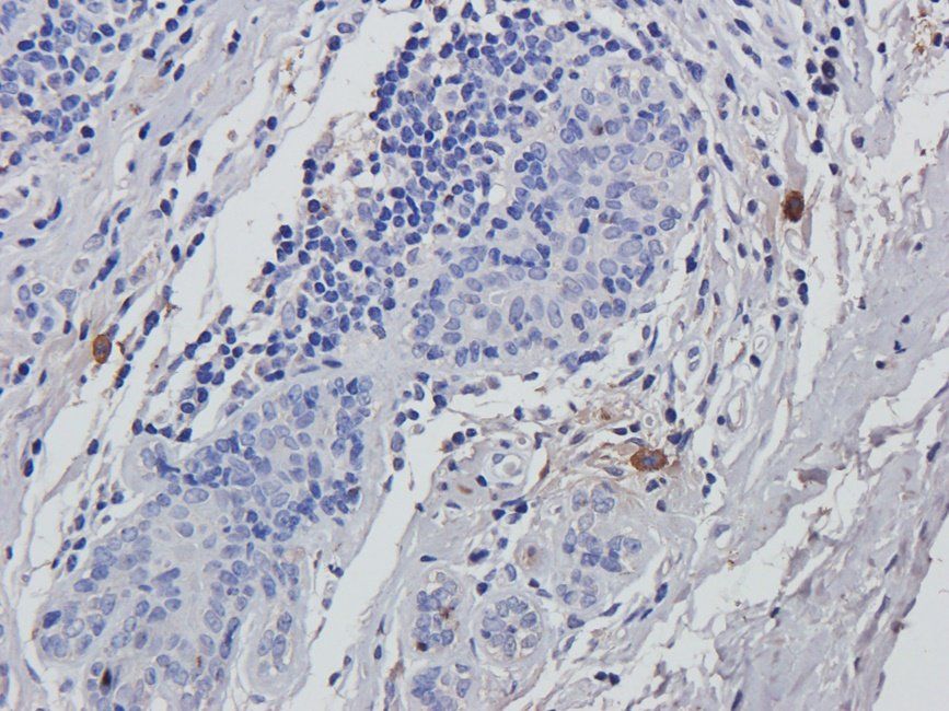
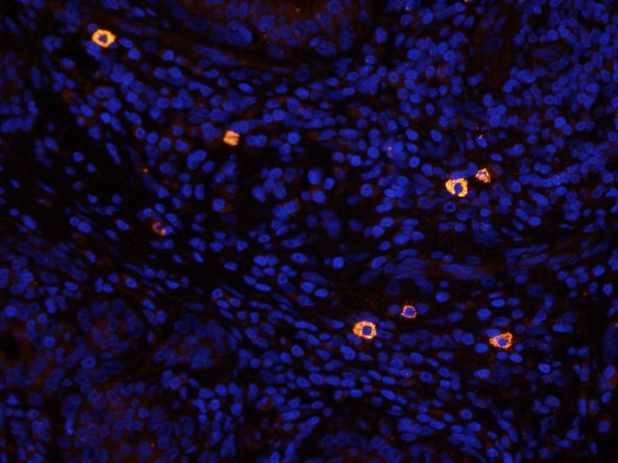
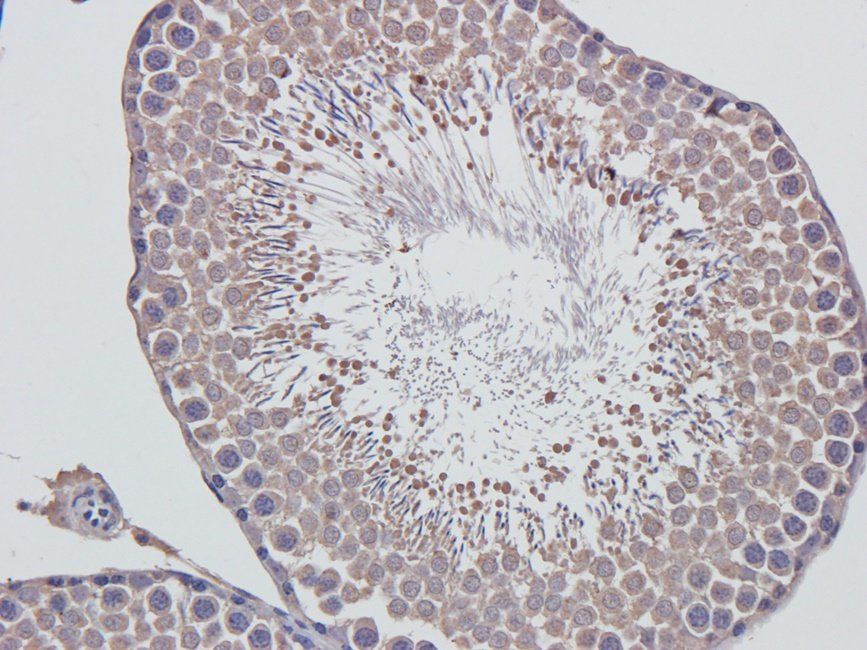
- 抗体名:
Acrosin antibody抗体
- 抗体英文名:
Acrosin antibody
- 靶点:
Acrosin
- 浓度:
- 100 μg (in 200 μl): 0.5 mg/ml- 200 μg (in 400 μl): 0.5 mg/ml
- 应用范围:
ICC, IF, IHC-P, WB
- 宿主:
Rabbit
- 适应物种:
Human, Rat
- 保质期:
6-12个月
- 抗原来源:
详询
- 目录编号:
orb1478
- 级别:
科研级
- 库存:
88
- 供应商:
biorbyt
- 标记物:
Unconjugated
- 克隆性:
Polyclonal
- 形态:
10 mM PBS, 0.02% sodium azide
- 亚型:
IgG
- 免疫原:
KLH conjugated synthetic peptide derived from human Acrosin. Please contact us for the exact immunogen sequence. The peptide is available as orb393925.
- 规格:
100 ug
别名:anti-Acr antibody, anti- ACRO_HUMAN antibody, anti- Acrosin heavy chain antibody, anti- Acrosin precursor antibody, anti- ACRS antibody, anti- Preproacrosin antibody, anti- Proacrosin antibody
免疫原:KLH conjugated synthetic peptide derived from human Acrosin. Please contact us for the exact 免疫原 sequence. The peptide is available as orb393925.
分子量:45 kDa
应用稀释比例:IF/ICC: 1:50-300, IHC-P: 1:50-300, WB: 1:200-1:800
纯度:Polyclonal antibodies are purified by peptide affinity chromatography
保存说明:Maintain refrigerated at 2-8°C for up to 2 weeks. For long term storage store at -20°C in small aliquots to prevent freeze-thaw cycles.
NCBI:001097, 001088
Entrez:49
UniProt ID:P29293, P10323
Note:For research use only.





风险提示:丁香通仅作为第三方平台,为商家信息发布提供平台空间。用户咨询产品时请注意保护个人信息及财产安全,合理判断,谨慎选购商品,商家和用户对交易行为负责。对于医疗器械类产品,请先查证核实企业经营资质和医疗器械产品注册证情况。
文献和实验在哺乳类动物的精虫头粒中存在的特殊的蛋白质分解酶,由 Zaneveld等( 1972)由兔的附睾中的精子中提出的。在人、猪和羊等其他哺乳类动物的精子中也有。射出的精液中,由于与某种抑制物结合而降低活性,在酸性液中则抑制物分离从而活化。与胰蛋白酶一样 Ca2 可使其活化和稳定。是丝氨酸蛋白酶,分子量约 3万,从对各种抑制剂的性质来看,是与胰蛋白酶有区别的。从生理功能来看,认为由于此酶能溶解卵膜(透明带),从而使精子能够达到卵的表面,但对溶解卵膜的机理还不清楚,似乎至少是此酶
Acrosin Activity Assay for the Evaluation of Mammalian Sperm Acrosome Reaction
The sperm acrosome reaction (AR) is an exocytotic event that involves multiple fusions between the outer acrosomal membrane and the overlying plasma membrane. It must occur before the spermatozoon penetrates the zona pellucida (ZP
Cryopreservation of Human Gametes
in the distribution of acrosin (3 , 4 ), and an overall decrease in fertility (5 ). Sublethal cryodamage is apparent in postthaw analysis of donor sperm. Spermatozoa may be initially intact and motile, however, viability postthaw is lost rapidly over time
技术资料暂无技术资料 索取技术资料









![PDL1 Antibody [5H6]抗体,orb1239852,biorbyt](https://img1.dxycdn.com/p/s14/2025/1204/083/6393812890632146991.jpg!wh200)
