相关产品推荐更多 >
万千商家帮你免费找货
0 人在求购买到急需产品
- 详细信息
- 文献和实验
- 技术资料
- 抗体名:
Tyrosine Hydroxylase Rabbit Polyclonal Antibody抗体
- 抗体英文名:
Tyrosine Hydroxylase Rabbit Polyclonal Antibody
- 靶点:
TH
- 浓度:
1mg/ml
- 应用范围:
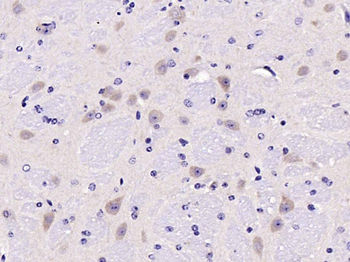
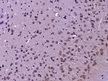
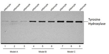
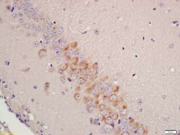
IF, IHC-Fr, IHC-P, WB
- 宿主:
Rabbit
- 适应物种:
Mouse, Rat
- 保质期:
6-12个月
- 抗原来源:
详询
- 目录编号:
orb11539
- 级别:
科研级
- 库存:
88
- 供应商:
biorbyt
- 标记物:
Unconjugated
- 克隆性:
Polyclonal
- 保存条件:
参考产品说明书
- 形态:
Liquid
- 亚型:
IgG
- 免疫原:
KLH conjugated synthetic peptide derived from mouse TH (101-165/528aa)
- 规格:
50 ul
别名:DYT14; DYT5b; ple; Protein Pale; c; The; TYH; Tyrosine 3 hydroxylase; Tyrosine 3 monooxygenase; Tyk2; TY3H_HUMAN; Tyrosine 3-monooxygenase; Tyrosine 3-hydroxylase; TH.
免疫原:KLH conjugated synthetic peptide derived from mouse TH (101-165/528aa)
预测反应性:Bovine, Canine
分子量:60 kDa
应用稀释比例:WB=1:500-2000, IHC-P=1:100-500, IHC-F=1:100-500, IF=1:100-500
防腐剂:0.01M TBS (pH7.4) with 1% rAlbumin, 0.02% Proclin300 and 50% Glycerol.
纯化:Affinity purified by Protein A
保存说明:Maintain refrigerated at 2-8°C for up to 2 weeks. For long term storage store at -20°C in small aliquots to prevent freeze-thaw cycles.
UniProt ID:P24529
Note:For research use only.







风险提示:丁香通仅作为第三方平台,为商家信息发布提供平台空间。用户咨询产品时请注意保护个人信息及财产安全,合理判断,谨慎选购商品,商家和用户对交易行为负责。对于医疗器械类产品,请先查证核实企业经营资质和医疗器械产品注册证情况。
文献和实验protein depends upon the species that the antibody was raised in. Protein A binds well to rabbit, cat, human, pig and guinea pig IgG as well as mouse IgG2a and IgG2b. Protein G binds strongly to IgG from cow, goat, sheep, cow, horse, rabbit and guinea pig
祝贺〖雅裕睿安〗成为Signalway Antibody(SAB)独家
货号T501,产品描述:HA-Tag Rabbit Polyclonal Antibody;规格 50 ul / 100 ul; 货号T503,产品描述:Anti-DYKDDDDK Polyclonal Antibody;规格 50 ul / 100 ul; 货号T504,产品描述:Myc-Tag Mouse Monoclonal Antibody;规格 50 ul / 100 ul; 货号
ANALYSIS OF PROTEINS BY IMMUNOPRECIPITATION
although other techniques can be used. The choice of immobilized antibody binding protein depends upon the species that the antibody was raised in. Protein A binds well to rabbit, cat, human, pig and guinea pig IgG as well as mouse IgG2a and IgG2b . Protein G binds
技术资料暂无技术资料 索取技术资料










