相关产品推荐更多 >
万千商家帮你免费找货
0 人在求购买到急需产品
- 详细信息
- 文献和实验
- 技术资料
- 抗体名:
CD14 antibody抗体
- 抗体英文名:
CD14 antibody
- 靶点:
CD14. CD14 antibody detects endogenous levels of total CD14
- 浓度:
- 100 μg (in 200 μl): 0.5 mg/ml- 200 μg (in 400 μl): 0.5 mg/ml
- 应用范围:
ELISA, IHC-P, WB
- 宿主:
Rabbit
- 保质期:
6-12个月
- 抗原来源:
详询
- 目录编号:
orb10294
- 级别:
科研级
- 库存:
88
- 供应商:
biorbyt
- 标记物:
Unconjugated
- 克隆性:
Polyclonal
- 形态:
10 mM PBS, 0.02% sodium azide
- 亚型:
IgG
- 免疫原:
KLH conjugated synthetic peptide derived from human CD14. Please contact us for the exact immunogen sequence. The peptide is available as orb374708.
- 规格:
500 ug
产品描述:CD14 antibody
别名:anti-Cluster Of Differentiation 14 antibody, anti-CD 14 antibody, anti-CD14gen antibody, anti-CD14 molecule antibody, anti-Lipopolysaccharide receptor antibody, anti-LPSR antibody, anti-Monocyte Differentiationgen 14 antibody, anti-Monocyte differentiationgen CD14 antibody, anti-Myeloid cell specific leucine rich glycoprote antibody, anti-Myeloid cell specific leucine rich glycoprotein antibody
免疫原:KLH conjugated synthetic peptide derived from human CD14. Please contact us for the exact 免疫原 sequence. The peptide is available as orb374708.
分子量:40 kDa
应用稀释比例:IHC-P: 1:100-500, WB: 1:100-2000
纯度:Polyclonal antibodies are purified by peptide affinity chromatography
保存说明:Maintain refrigerated at 2-8°C for up to 2 weeks. For long term storage store at -20°C in small aliquots to prevent freeze-thaw cycles.
Pubmed:31918642, 32622430
NCBI:000582, 000591
Entrez:929
UniProt ID:Q63691, P08571, P10810
Note:For research use only.







别名:anti-Cluster Of Differentiation 14 antibody, anti-CD 14 antibody, anti-CD14gen antibody, anti-CD14 molecule antibody, anti-Lipopolysaccharide receptor antibody, anti-LPSR antibody, anti-Monocyte Differentiationgen 14 antibody, anti-Monocyte differentiationgen CD14 antibody, anti-Myeloid cell specific leucine rich glycoprote antibody, anti-Myeloid cell specific leucine rich glycoprotein antibody
免疫原:KLH conjugated synthetic peptide derived from human CD14. Please contact us for the exact 免疫原 sequence. The peptide is available as orb374708.
分子量:40 kDa
应用稀释比例:IHC-P: 1:100-500, WB: 1:100-2000
纯度:Polyclonal antibodies are purified by peptide affinity chromatography
保存说明:Maintain refrigerated at 2-8°C for up to 2 weeks. For long term storage store at -20°C in small aliquots to prevent freeze-thaw cycles.
Pubmed:31918642, 32622430
NCBI:000582, 000591
Entrez:929
UniProt ID:Q63691, P08571, P10810
Note:For research use only.

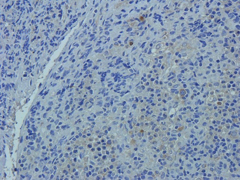
IHC-P image of rat lymph node tissue using anti-CD14 (2.5 ug/ml)

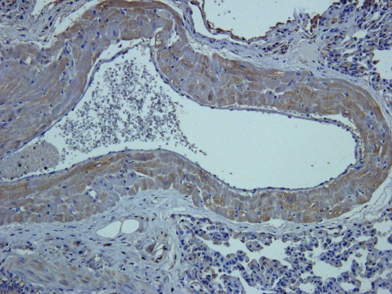
IHC-P staining of rat lung tissue using anti-CD14 (2.5 ug/ml)

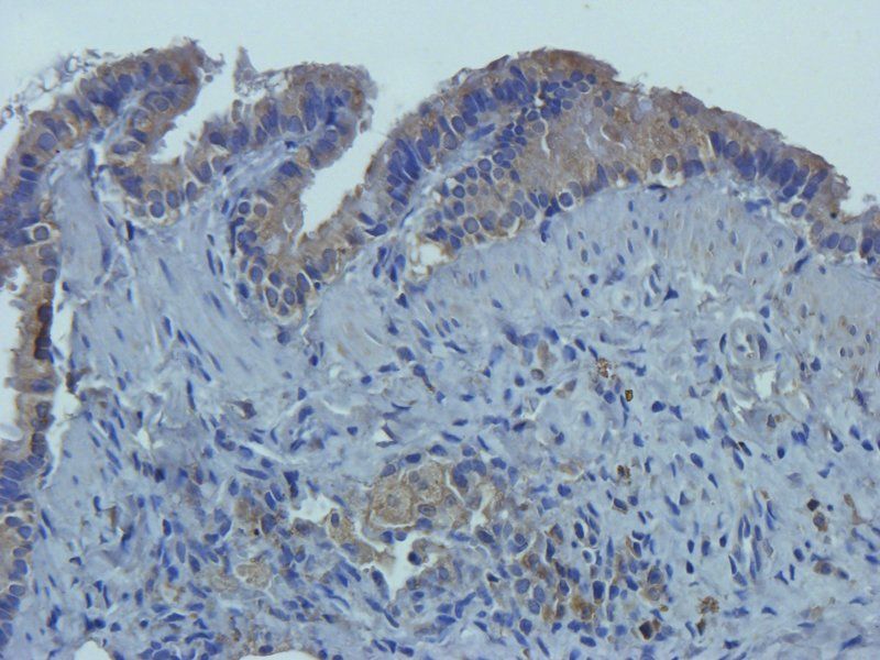
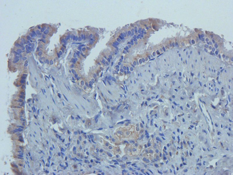
Immunohistochemical staining of paraffin embedded rat stomach tissue using CD14 antibody (2.5 ug/ml)

Immunohistochemical staining of rat lung tissue using CD14 antibody (2.5 ug/ml)

IHC-P staining of rat thymus tissue using anti-CD14 (2.5 ug/ml)

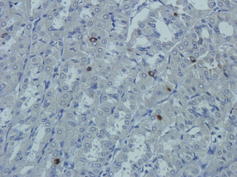
Western blot analysis of rat lymph node (lane 1), mouse spleen (lane 2), rat lung (lane 3), rat colon (lane 4), rat stomach (lane 5), rat thymus (lane 6) using CD14 antibody (1 ug/ml)

IHC-P staining of rat lung tissue using anti-CD14 (2.5 ug/ml)
风险提示:丁香通仅作为第三方平台,为商家信息发布提供平台空间。用户咨询产品时请注意保护个人信息及财产安全,合理判断,谨慎选购商品,商家和用户对交易行为负责。对于医疗器械类产品,请先查证核实企业经营资质和医疗器械产品注册证情况。
文献和实验该产品被引用文献
Kakiuchi-Kiyota, Satoko et al. Expression of Hematopoietic Stem and Endothelial Cell Markers in Canine Hemangiosarcoma Toxicol Pathol, 48, 481-493 (2020), Tibaldi, Eva et al. Identification of aspartame-induced haematopoietic and lymphoid tumours in rats after lifetime treatment Acta Histochem, 122, 151548 (2020)
技术资料暂无技术资料 索取技术资料
文献支持
CD14 antibody抗体,orb10294,biorbyt
¥0










