相关产品推荐更多 >
万千商家帮你免费找货
0 人在求购买到急需产品
- 详细信息
- 询价记录
- 文献和实验
- 技术资料
- 抗体名:
HE4 antibody抗体
- 抗体英文名:
HE4 antibody
- 靶点:
HE4
- 浓度:
- 100 μg (in 200 μl): 0.5 mg/ml- 200 μg (in 400 μl): 0.5 mg/ml
- 应用范围:
ELISA, ICC, IF, IHC-P, WB
- 宿主:
Rabbit
- 适应物种:
Human, Mouse, Rat
- 保质期:
6-12个月
- 抗原来源:
详询
- 目录编号:
orb101171
- 级别:
科研级
- 库存:
88
- 供应商:
biorbyt
- 标记物:
Unconjugated
- 克隆性:
Polyclonal
- 形态:
10 mM PBS, 0.02% sodium azide
- 亚型:
IgG
- 免疫原:
KLH conjugated synthetic peptide derived from human HE4. Please contact us for the exact immunogen sequence. The peptide is available as orb374802.
- 规格:
100 ug
产品描述:HE4 antibody
别名:anti EDDM4 antibody, anti epididymal protein 4 antibody, anti Epididymal secretory protein E4 antibody, anti Epididymis specific whey acidic protein type four disulfide core antibody, anti HE 4 antibody, anti HE-4 antibody, anti HE4 antibody, anti Major epididymis specific protein E4 antibody, anti Major epididymis-specific protein E4 antibody, anti Putative protease inhibitor WAP5 antibody, anti WAP 5 antibody, anti WAP domain containing protein HE4 antibody, anti WAP domain containing protein HE4 V4 antibody, anti WAP four disulfide core domain 2 antibody, anti WAP four disulfide core domain protein 2 antibody, anti WAP four-disulfide core domain protein 2 antibody, anti WAP5 antibody, anti WFDC 2 antibody, anti WFDC2 antibody
免疫原:KLH conjugated synthetic peptide derived from human HE4. Please contact us for the exact 免疫原 sequence. The peptide is available as orb374802.
分子量:15 kDa
应用稀释比例:IF/ICC: 1:100, WB: 2 μg/ml, IHC-P: 1:100
应用注释:This antibody against Human, Mouse, Rat
纯度:Polyclonal antibodies are purified by peptide affinity chromatography
保存说明:Maintain refrigerated at 2-8°C for up to 2 weeks. For long term storage store at -20°C in small aliquots to prevent freeze-thaw cycles.
Pubmed:39833358
NCBI:026323, 080599
Entrez:67701
UniProt ID:A8K2M3, Q9DAU7, Q8CHN3
Note:For research use only.
别名:anti EDDM4 antibody, anti epididymal protein 4 antibody, anti Epididymal secretory protein E4 antibody, anti Epididymis specific whey acidic protein type four disulfide core antibody, anti HE 4 antibody, anti HE-4 antibody, anti HE4 antibody, anti Major epididymis specific protein E4 antibody, anti Major epididymis-specific protein E4 antibody, anti Putative protease inhibitor WAP5 antibody, anti WAP 5 antibody, anti WAP domain containing protein HE4 antibody, anti WAP domain containing protein HE4 V4 antibody, anti WAP four disulfide core domain 2 antibody, anti WAP four disulfide core domain protein 2 antibody, anti WAP four-disulfide core domain protein 2 antibody, anti WAP5 antibody, anti WFDC 2 antibody, anti WFDC2 antibody
免疫原:KLH conjugated synthetic peptide derived from human HE4. Please contact us for the exact 免疫原 sequence. The peptide is available as orb374802.
分子量:15 kDa
应用稀释比例:IF/ICC: 1:100, WB: 2 μg/ml, IHC-P: 1:100
应用注释:This antibody against Human, Mouse, Rat
纯度:Polyclonal antibodies are purified by peptide affinity chromatography
保存说明:Maintain refrigerated at 2-8°C for up to 2 weeks. For long term storage store at -20°C in small aliquots to prevent freeze-thaw cycles.
Pubmed:39833358
NCBI:026323, 080599
Entrez:67701
UniProt ID:A8K2M3, Q9DAU7, Q8CHN3
Note:For research use only.
Western blot analysis of rat endometrium (Lane 1) using HE4 antibody (dilution at: 2 ug/ml)
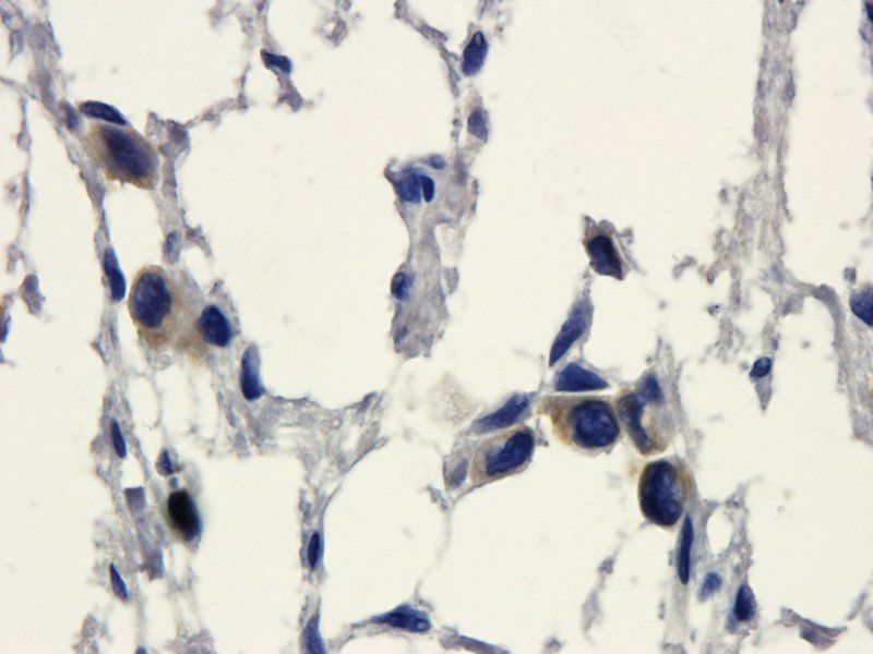
IHC-P of human lung cancer using HE4 antibody.
IF image of human endometrial cancer tissue using anti-HE4 (primary antibody at 1:100)
Immunofluorescence analysis of human ovarian cancer tissue using HE4 antibody (dilution of primary antibody - 1:100)
Immunohistochemical staining of human endometrial cancer tissue using HE4 antibody (dilution of primary antibody - 1:100)
Immunofluorescence analysis of human ovarian cancer tissue using anti-HE4 (dilution of primary antibody - 1:100)
Immunofluorescence analysis of human endometrial cancer tissue using HE4 antibody (dilution of primary antibody - 1:100)
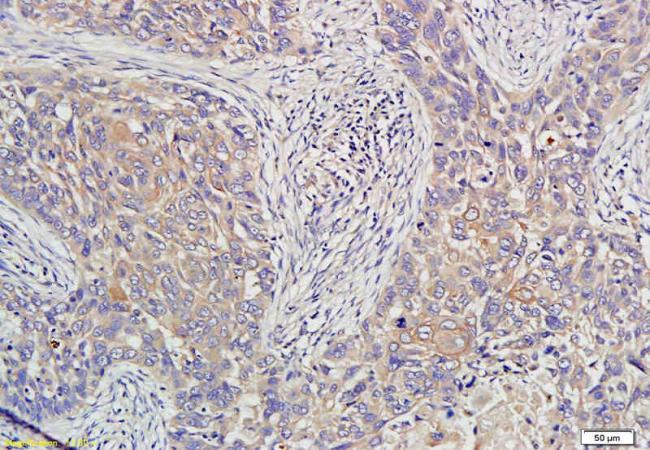
IHC-P image of human ovarian cancer tissue using HE4 antibody (dilution of primary antibody at 1:100)
IHC-P image of human endometrial cancer tissue using anti-HE4 (dilution of primary antibody at 1:100)
Immunofluorescence image of human ovarian cancer tissue using anti-HE4 (dilution at 1:100)
风险提示:丁香通仅作为第三方平台,为商家信息发布提供平台空间。用户咨询产品时请注意保护个人信息及财产安全,合理判断,谨慎选购商品,商家和用户对交易行为负责。对于医疗器械类产品,请先查证核实企业经营资质和医疗器械产品注册证情况。
- 作者
- 内容
- 询问日期
文献和实验该产品被引用文献
Weishuai Zheng # 1 2, Menglin Zou # 3, Xingxing Hu # 1, Han Gao 1, Weiwei Song 1, Qinhui Hou 1, Yuan Liu 4, Zhenshun Cheng Human epididymis protein 4-annexin II binding promotes aberrant epithelial-fibroblast crosstalk in pulmonary fibrosis Commun Biol, (2025)
技术资料暂无技术资料 索取技术资料
文献支持
HE4 antibody抗体,orb101171,biorbyt
¥3640










