- 详细信息
- 技术资料
- 服务名称:
HE染色

1.服务介绍:
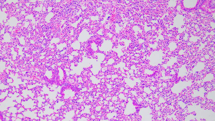
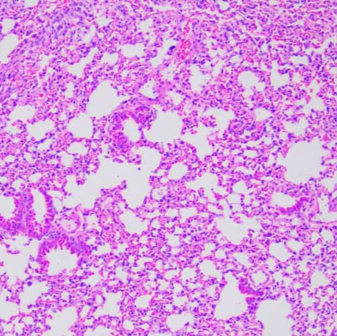
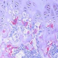
简称HE染色法 ,石蜡切片技术里常用的染色法之一 。染液为碱性 ,主要使细胞核内的染色质与胞质内的核糖体着紫蓝色 ;伊红为酸性染料 ,主要使细胞质和细胞外基质中的成分着红色 。HE染色法是组织学、胚胎学、病理学教学与科研中最基本、使用最广泛的技术方法。
结果判读:细胞核被染成深蓝黑色;细胞浆被染成粉红色;软骨及钙盐被染成蓝色;胶原纤维染成淡粉红色,嗜酸性细胞及嗜酸性颗粒呈鲜红色;弹力纤维呈淡粉红色;某些蛋白性物呈粉红色等。
风险提示:丁香通仅作为第三方平台,为商家信息发布提供平台空间。用户咨询产品时请注意保护个人信息及财产安全,合理判断,谨慎选购商品,商家和用户对交易行为负责。对于医疗器械类产品,请先查证核实企业经营资质和医疗器械产品注册证情况。
技术资料暂无技术资料 索取技术资料
HE染色
¥35









