相关产品推荐更多 >

SRC Antibody抗体,orb1261172,biorbyt
¥10400
Leptin receptor Antibody (Cy7) 抗体,orb1581491,Biorbyt
¥4796
TTF-1 / NKX2.1 (Thyroid & Lung Epithelial Marker) Antibody抗体,orb388722,biorbyt
¥4420
TARDBP Antibody (Biotin) 抗体,orb1814773,Biorbyt
¥4796
SC5DL Antibody - N-terminal region : Biotin 抗体,orb2118793,Biorbyt
¥8216
万千商家帮你免费找货
0 人在求购买到急需产品
- 详细信息
- 技术资料
- 抗体名:
Rabbit anti-LAG3 Recombinant Monoclonal Antibody抗体
- 抗体英文名:
Rabbit anti-LAG3 Recombinant Monoclonal Antibody
- 靶点:
LAG3
- 浓度:
500 µg/ml
- 应用范围:
FC, ICC, IF, IHC, IP, WB
- 宿主:
Rabbit
- 适应物种:
Human
- 保质期:
6-12个月
- 抗原来源:
详询
- 目录编号:
orb1519933
- 级别:
科研级
- 库存:
88
- 供应商:
biorbyt
- 标记物:
Unconjugated
- 克隆性:
Recombinant
- 保存条件:
参考说明书
- 形态:
Whole IgG
- 免疫原:
Between 475 and C-terminus
- 规格:
100 ul
产品描述:LAG3 Antibody
别名:lymphocyte-activation gene 3; Protein FDC; lymphocyte activation gene 3 protein; LAG-3; CD223; CD antigen CD223
免疫原:Between 475 and C-terminus
克隆性:BLR027F
应用稀释比例:Flow-Cyt Fixed in 4% formaldehyde and permeabilized with 90% methanol. 1 µl per 1 x 10^6 cells. Immunocytochemistry (ICC) 1:100 to 1:500. Epitope retrieval with citrate buffer pH6.0 is recommended for FFPE cell sections. Immunohistochemistry (IHC) 1:100 to 1:500. Epitope retrieval with citrate buffer pH6.0 is recommended for FFPE tissue sections. IHC-IF 1:100 to 1:500. Epitope retrieval with citrate buffer pH6.0 is recommended for FFPE tissue sections. Immunoprecipitation (IP) 12 µl/mg lysate. Multiplex Immunofluorescence (mIF) 1:250. Western Blot (WB) 1:1000
应用注释:All western blot analysis is performed using 5% Milk-TBST for blocking and as antibody diluent. Primary antibody is incubated overnight
纯度:Recombinant antibody was purified from cell culture supernatant
防腐剂:Borate Buffered Saline (BBS) pH 8.2 with 0.1% rAlbumin and 0.09% Sodium Azide
保存说明:2 - 8°C
NCBI:NP_002277.4
UniProt ID:P18627
Note:For research use only.





别名:lymphocyte-activation gene 3; Protein FDC; lymphocyte activation gene 3 protein; LAG-3; CD223; CD antigen CD223
免疫原:Between 475 and C-terminus
克隆性:BLR027F
应用稀释比例:Flow-Cyt Fixed in 4% formaldehyde and permeabilized with 90% methanol. 1 µl per 1 x 10^6 cells. Immunocytochemistry (ICC) 1:100 to 1:500. Epitope retrieval with citrate buffer pH6.0 is recommended for FFPE cell sections. Immunohistochemistry (IHC) 1:100 to 1:500. Epitope retrieval with citrate buffer pH6.0 is recommended for FFPE tissue sections. IHC-IF 1:100 to 1:500. Epitope retrieval with citrate buffer pH6.0 is recommended for FFPE tissue sections. Immunoprecipitation (IP) 12 µl/mg lysate. Multiplex Immunofluorescence (mIF) 1:250. Western Blot (WB) 1:1000
应用注释:All western blot analysis is performed using 5% Milk-TBST for blocking and as antibody diluent. Primary antibody is incubated overnight
纯度:Recombinant antibody was purified from cell culture supernatant
防腐剂:Borate Buffered Saline (BBS) pH 8.2 with 0.1% rAlbumin and 0.09% Sodium Azide
保存说明:2 - 8°C
NCBI:NP_002277.4
UniProt ID:P18627
Note:For research use only.

Detection of human LAG3 by western blot of immunoprecipitates. Samples: Whole cell lysate (1.0 mg per IP reaction; 20% of IP loaded) from HDLM-2 cells prepared using NETN lysis buffer. Antibodies: Rabbit anti-LAG3 recombinant monoclonal antibody (orb1519933) used for IP at 12 µl per reaction.

Detection of human LAG3 (red) by immunohistochemistry. Sample: FFPE section of human tonsil. Antibody: Rabbit anti-LAG3 recombinant monoclonal antibody (orb1519933) used at 1:250. Secondary: HRP-conjugated goat anti-rabbit IgG. Substrate: Opal™. Counterstain: DAPI (blue).

Rabbit anti-CD3E recombinant monoclonal, Rabbit anti-CD4 recombinant monoclonal, rabbit anti-CD8 alpha recombinant monoclonal, mouse anti-cytokeratin monoclonal, rabbit anti-FOXP3 recombinant monoclonal, and rabbit anti-LAG3 recombinant monoclonal. Secondary: HRP-conjugated goat anti-rabbit IgG and HRP-conjugated goat anti-mouse IgG. Substrate: Opal™ 480, 520, 570, 620, 690 and 780. Counterstain: DAPI (blue)

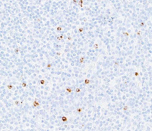
Detection of human LAG3 in FFPE tonsil by immunohistochemistry. Antibody: Rabbit anti-LAG3 recombinant monoclonal antibody. Secondary: HRP-conjugated goat anti-rabbit IgG. Substrate: DAB.

Detection of human LAG3 in FFPE HDLM-2 by immunocytochemistry. Antibody: Rabbit anti-LAG3 recombinant monoclonal antibody. Secondary: HRP-conjugated goat anti-rabbit IgG. Substrate: DAB
风险提示:丁香通仅作为第三方平台,为商家信息发布提供平台空间。用户咨询产品时请注意保护个人信息及财产安全,合理判断,谨慎选购商品,商家和用户对交易行为负责。对于医疗器械类产品,请先查证核实企业经营资质和医疗器械产品注册证情况。
技术资料暂无技术资料 索取技术资料
Rabbit anti-LAG3 Recombinant Monoclonal Antibody抗体,orb1519933,biorbyt
¥8710





