相关产品推荐更多 >
万千商家帮你免费找货
0 人在求购买到急需产品
- 详细信息
- 技术资料
- 抗体名:
GFR alpha 3 Antibody抗体
- 抗体英文名:
GFR alpha 3 Antibody
- 靶点:
Gfra3
- 浓度:
1 mg/ml
- 应用范围:
ELISA, IF, IHC-P, WB
- 适应物种:
Human, Mouse, Rat
- 保质期:
6-12个月
- 抗原来源:
详询
- 目录编号:
orb1238921
- 级别:
科研级
- 库存:
88
- 供应商:
biorbyt
- 标记物:
Unconjugated
- 克隆性:
Polyclonal
- 形态:
Liquid
- 亚型:
IgG
- 免疫原:
GFR alpha 3 antibody was raised against a 14 amino acid peptide near the center of murine GFR alpha 3.The immunogen is located within the last 50 amino acids of GFR alpha 3.
- 规格:
0.02 mg
产品描述:GFR alpha 3 Antibody
别名:GFR alpha 3 Antibody: Y15110, GFRalpha3, GDNF family receptor alpha-3, GDNF receptor alpha-3
免疫原:GFR alpha 3 antibody was raised against a 14 amino acid peptide near the center of murine GFR alpha 3.The 免疫原 is located within the last 50 amino acids of GFR alpha 3.
分子量:Predicted: 44 kDa Observed: 43 kDa
应用注释:GFR alpha 3 antibody can be used for detection of GFR alpha 3 expression by Western blot at 0.5 μg/mL. Antibody can also be used for immunohistochemistry starting at 5 μg/mL. For immunofluorescence start at 5 μg/mL.Antibody validated: Western Blot in mouse samples; Immunohistochemistry in mouse samples and Immunofluorescence in mouse samples. All other applications and species not yet tested.
防腐剂:GFR alpha 3 Antibody is supplied in PBS containing 0.02% sodium azide.
纯化:GFR alpha 3 Antibody is DEAE purified.
保存说明:Maintain refrigerated at 2-8°C for up to 2 weeks. For long term storage store at -20°C in small aliquots to prevent freeze-thaw cycles.
NCBI:NP_034410
UniProt ID:O35118
Note:For research use only.




别名:GFR alpha 3 Antibody: Y15110, GFRalpha3, GDNF family receptor alpha-3, GDNF receptor alpha-3
免疫原:GFR alpha 3 antibody was raised against a 14 amino acid peptide near the center of murine GFR alpha 3.The 免疫原 is located within the last 50 amino acids of GFR alpha 3.
分子量:Predicted: 44 kDa Observed: 43 kDa
应用注释:GFR alpha 3 antibody can be used for detection of GFR alpha 3 expression by Western blot at 0.5 μg/mL. Antibody can also be used for immunohistochemistry starting at 5 μg/mL. For immunofluorescence start at 5 μg/mL.Antibody validated: Western Blot in mouse samples; Immunohistochemistry in mouse samples and Immunofluorescence in mouse samples. All other applications and species not yet tested.
防腐剂:GFR alpha 3 Antibody is supplied in PBS containing 0.02% sodium azide.
纯化:GFR alpha 3 Antibody is DEAE purified.
保存说明:Maintain refrigerated at 2-8°C for up to 2 weeks. For long term storage store at -20°C in small aliquots to prevent freeze-thaw cycles.
NCBI:NP_034410
UniProt ID:O35118
Note:For research use only.

Western blot analysis of GFR alpha 3 in crude cell membrane fractions of mouse heart (H), spleen (S), kidney (K), liver (L), and brain (B), respectively, with GFR alpha 3 antibody at 1 2 µg/mL.

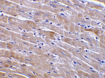
Immunohistochemistry of GFR alpha 3 in mouse heart tissue with GFR alpha 3 antibody at 10 µg/mL.

Immunofluorescence of GFR alpha 3 in mouse kidney tissue with GFR alpha 3 antibody at 5 µg/ml. Green: GFR alpha 3 antibody (orb1238921) Red: Phylloidin staining Blue: DAPI staining.

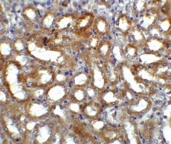
Immunohistochemistry of GFR alpha 3 in mouse kidney tissue with GFR alpha 3 antibody at 5 µg/ml.
风险提示:丁香通仅作为第三方平台,为商家信息发布提供平台空间。用户咨询产品时请注意保护个人信息及财产安全,合理判断,谨慎选购商品,商家和用户对交易行为负责。对于医疗器械类产品,请先查证核实企业经营资质和医疗器械产品注册证情况。
技术资料暂无技术资料 索取技术资料
GFR alpha 3 Antibody抗体,orb1238921,biorbyt
¥3770






![DCTN1 antibody [C3], C-term抗体,orb555890,biorbyt](https://img1.dxycdn.com/p/s14/2025/1204/381/8001351760443146991.jpg!wh200)



